Добавить в корзинуПозвонить
Найти в Дзене

Гнатология и ВНЧС: важность комплексного подхода к зубочелюстной системе

Гнатология анализирует взаимосвязи между функциональными и анатомическими аспектами зубочелюстной системы (ЗЧС). Центральным элементом этой системы является височно-нижнечелюстной сустав (ВНЧС), который играет ключевую роль в жевании, разговоре и многих других действиях, связанных с нижней челюстью. Височно-нижнечелюстной сустав представляет собой сложный сустав, соединяющий нижнюю челюсть (мандибулу) с височной костью черепа. Он отвечает за движения нижней челюсти, такие как открытие и закрытие рта, а также боковые движения. Зубочелюстная система выполняет несколько основных функций: - Жевание: обработка пищи для облегчения ее переваривания.
- Речь: взаимодействие зубов, губ и языка необходимо для правильного произнесения звуков.
- Эстетика: правильная форма и положение зубов влияют на внешний вид лица и улыбки.
- Поддержка структур: зубы помогают поддерживать состояние челюсти и предотвратить ее атрофию. Заботиться о здоровье зубов недостаточно, если не обратить внимания на состояни
Оглавление


Гнатология анализирует взаимосвязи между функциональными и анатомическими аспектами зубочелюстной системы (ЗЧС). Центральным элементом этой системы является височно-нижнечелюстной сустав (ВНЧС), который играет ключевую роль в жевании, разговоре и многих других действиях, связанных с нижней челюстью.

Что такое ВНЧС?

Височно-нижнечелюстной сустав представляет собой сложный сустав, соединяющий нижнюю челюсть (мандибулу) с височной костью черепа. Он отвечает за движения нижней челюсти, такие как открытие и закрытие рта, а также боковые движения.

Функции зубочелюстной системы

Зубочелюстная система выполняет несколько основных функций:

- Жевание: обработка пищи для облегчения ее переваривания.
- Речь: взаимодействие зубов, губ и языка необходимо для правильного произнесения звуков.
- Эстетика: правильная форма и положение зубов влияют на внешний вид лица и улыбки.
- Поддержка структур: зубы помогают поддерживать состояние челюсти и предотвратить ее атрофию.

Почему важен комплексный подход к лечению

Заботиться о здоровье зубов недостаточно, если не обратить внимания на состояние ЗЧС и ВНЧС. Проблемы с ВНЧС могут влиять на прикус, вызывая нарушения. Постоянное перенапряжение может привести к болям в челюсти и головным болям. Повышенное давление на зубы и суставы может вызвать их износ и повреждение.

Перед проведением ортодонтического лечения или имплантации важно оценить состояние ВНЧС, так как его проблемы могут осложнить лечение. Например, неправильный прикус, вызванный дисфункцией ВНЧС, может привести к неэффективному фиксированию имплантов и возникновению болей. А установка брекетов или элайнеров без исследования функции сустава - к перекосу челюсти или даже ассиметрии лица.

Этапы лечения ВНЧС


1. Диагностика:

- Визуальный осмотр.
- Рентгенографические исследования (например, ОПТГ и РКГ).
- Компьютерная томография для более детального анализа.

2. Оценка функциональности:

- Анализ движений: оценка открывания и закрывания рта, боковых движений.
- Электромиография: изучение активности жевательных мышц.

3. Лечение:

- Консервативные методы: массаж, физиотерапия, ношение специальной капы для снятия напряжения.
- Медикаментозное лечение: обезболивающие и противовоспалительные препараты.
- Ортодонтическое вмешательство: в случае неправильного прикуса или нарушения расположения зубов.
- Хирургическое лечение: при серьезных патологиях, таких как остеоартрит.

4. Реабилитация:

- Наблюдение за состоянием ВНЧС.
- Упражнения для поддержания подвижности и функции сустава.

Способы исследования ВНЧС

Для подробного изучения состояния ВНЧС используются следующие методы:

- Рентгенография: позволяет оценить состояние суставных поверхностей и выявить возможные повреждения.
- Магнитно-резонансная томография (МРТ): специализированный метод для более глубокой оценки мягких тканей сустава.
- Ультразвуковая диагностика: используется для оценки состояния мягкотканевых структур.
- Триггерные тесты: оценка боли и функциональности через физическое обследование.

Кейс по гнатологическому лечению в цифровой функциональной стоматологии S-LINE DENTAL г.Казань


Пациент обратился клинику с жалобами на щелчок и хруст в левом ВНЧС.

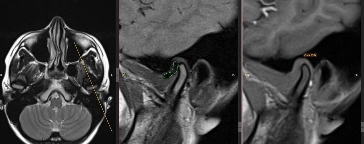
фото 1 - дистальное смещение суставной головки и неполная вентральная дислокация суставного диска с репозицией
фото 1 - дистальное смещение суставной головки и неполная вентральная дислокация суставного диска с репозицией

По МРТ исследованию (фото 1) мы видим дистальное смещение суставной головки и неполную вентральную дислокацию суставного диска с репозицией.

фото 2 - данные аксиографии
фото 2 - данные аксиографии

По данным аксиографии на треке движения мы видим репозицию суставного диска (фото 2).

сбор диагностик и поиск нового терапевтического положения
сбор диагностик и поиск нового терапевтического положения

Сбор диагностик и поиск нового терапевтического положения (фото 3).

новое положение ВНЧС
новое положение ВНЧС

Через 1,5 месяца - отсутствие жалоб, повторное МРТ исследование - центрированное положение суставной головки, суставной диск на 12 часах условного циферблата. Пациент передан на дальнейшее ортодонтическое лечение.

Заключение

Забота о состоянии ВНЧС имеет критическое значение для здоровья зубочелюстной системы и всего организма. Корректная диагностика и комплексный подход к лечению помогут избежать серьезных осложнений и обеспечат здоровье и комфорт в повседневной жизни.