Добавить в корзинуПозвонить
Найти в Дзене

Попкорновая EVALI болезнь: что это такое и как с ней бороться?

В России впервые выявили «попкорновую болезнь» В Томске двое подростков-вейперов слегли с серьёзными поражениями лёгких: у одного подтвердили EVALI, у второго — токсическое отравление нервной системы. Это заболевание разрушает бронхиолы, а его главный симптом — треск в лёгких, похожий на звук лопающегося попкорна. Лечения нет, а в тяжёлых случаях развивается дыхательная недостаточность, которая может привести к смерти. Попкорновая EVALI болезнь (или E-cigarette or Vaping Product Use-Associated Lung Injury) представляет собой серию легочных заболеваний, связанных с использованием электронных сигарет и вейпов. Этот термин стал известен после вспышки заболеваний в 2019 году, когда врачи начали замечать увеличение случаев пневмонии и других легочных расстройств у пользователей вейпов. Несмотря на название, попкорновая EVALI болезнь не связана с попкорном как продуктом питания, а скорее с веществами, используемыми в некоторых вейпах. ### Причины возникновения Основная причина EVALI з

В России впервые выявили «попкорновую болезнь»

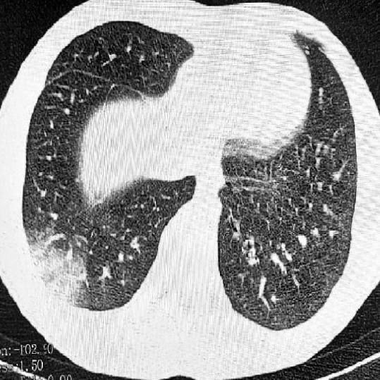
В Томске двое подростков-вейперов слегли с серьёзными поражениями лёгких: у одного подтвердили EVALI, у второго — токсическое отравление нервной системы.

-2

Это заболевание разрушает бронхиолы, а его главный симптом — треск в лёгких, похожий на звук лопающегося попкорна. Лечения нет, а в тяжёлых случаях развивается дыхательная недостаточность, которая может привести к смерти.

Попкорновая EVALI болезнь (или E-cigarette or Vaping Product Use-Associated Lung Injury) представляет собой серию легочных заболеваний, связанных с использованием электронных сигарет и вейпов. Этот термин стал известен после вспышки заболеваний в 2019 году, когда врачи начали замечать увеличение случаев пневмонии и других легочных расстройств у пользователей вейпов. Несмотря на название, попкорновая EVALI болезнь не связана с попкорном как продуктом питания, а скорее с веществами, используемыми в некоторых вейпах.

-3

### Причины возникновения

Основная причина EVALI заключается в использовании вейпов и электронных сигарет, содержащих THC (психоактивное вещество каннабиса) или никотин. Наиболее опасными являются продукты, содержащие добавленные вещества, такие как:

1. **Витамин Е ацетат**: Этот ингредиент, часто используемый в качестве загустителя в жидкостях для вейпов, был связан с большинством случаев EVALI. При вдыхании он может вызвать серьезные повреждения легких.

2. **Некачественные жидкости**: Использование несертифицированных или контрафактных продуктов увеличивает риск возникновения легочных заболеваний.

3. **Чрезмерное употребление**: Как и с любым другим продуктом, чрезмерное использование вейпов может привести к негативным последствиям для здоровья.

### Симптомы

-4

Симптомы попкорновой EVALI болезни могут варьироваться, но чаще всего они включают:

- Одышку и затрудненное дыхание

- Кашель

- Боль в груди

- Лихорадку и озноб

- Усталость

- Тошноту и рвоту

При появлении этих симптомов важно обратиться к врачу, особенно если вы использовали вейпы или электронные сигареты.

### Профилактика и лечение

-5

Чтобы избежать попкорновой EVALI болезни, следует придерживаться нескольких рекомендаций:

1. **Избегайте вейпов и электронных сигарет**: Лучший способ предотвратить EVALI – это полностью отказаться от использования этих продуктов.

2. **Выбор сертифицированных продуктов**: Если вы все же используете вейпы, выбирайте только сертифицированные и проверенные жидкости. Избегайте продуктов с добавлением витамин Е ацетата и других неизвестных веществ.

3. **Регулярные медицинские осмотры**: Если вы использовали вейпы, стоит регулярного проходить медицинские осмотры для контроля состояния легких.

-6

Попкорновая EVALI болезнь является серьезным и потенциально опасным состоянием, связанным с использованием электронных сигарет. Понимание рисков и симптомов этого заболевания, а также применение профилактических мер помогут сохранить здоровье и избежать негативных последствий. Если у вас есть сомнения или вопросы, всегда лучше проконсультироваться с врачом.