Добавить в корзинуПозвонить
Найти в Дзене
Хроники разума

БРОСЬ ЭТУ ГАДОСТЬ: смертельные случаи после курения электронных сигарет

Электронные сигареты в последние годы стали популярным «альтернативным» способом курения, поскольку считается, что они менее вредны, чем обычные сигареты. Однако статистика и научные исследования всё чаще доказывают, что это не так. На самом деле электронные сигареты могут привести к летальному исходу, и это не пустые слова. Электронные сигареты начали набирать популярность в середине 2000-х годов. Первая электронная сигарета была изобретена в 2003 году китайским фармацевтом Хон Ликом. Он разработал устройство, которое позволило имитировать процесс курения без сжигания табака, что дало возможность доставить никотин в организм через пар, а не дым. Это изобретение имело большое значение для развития индустрии вейпинга. Однако широкое распространение электронных сигарет началось несколько лет спустя. В 2006–2007 годах электронные сигареты начали активно поступать на международный рынок. В 2007 году они впервые появились в Европе и США, и уже в 2009–2010 годах стали популярными среди людей
Оглавление

Электронные сигареты в последние годы стали популярным «альтернативным» способом курения, поскольку считается, что они менее вредны, чем обычные сигареты. Однако статистика и научные исследования всё чаще доказывают, что это не так. На самом деле электронные сигареты могут привести к летальному исходу, и это не пустые слова.

Как это было?

Электронные сигареты начали набирать популярность в середине 2000-х годов. Первая электронная сигарета была изобретена в 2003 году китайским фармацевтом Хон Ликом. Он разработал устройство, которое позволило имитировать процесс курения без сжигания табака, что дало возможность доставить никотин в организм через пар, а не дым. Это изобретение имело большое значение для развития индустрии вейпинга.

Однако широкое распространение электронных сигарет началось несколько лет спустя. В 2006–2007 годах электронные сигареты начали активно поступать на международный рынок. В 2007 году они впервые появились в Европе и США, и уже в 2009–2010 годах стали популярными среди людей, пытающихся бросить курить. В то время их рекламировали как безопасную альтернативу традиционным сигаретам, что привлекло внимание многих курильщиков.

С начала 2010-х годов вейпинг стал модным среди молодежи, что способствовало росту популярности электронных сигарет. Бренды, такие как JUUL, стали ведущими игроками на рынке, и они также сыграли ключевую роль в популяризации электронных сигарет, особенно среди подростков и молодых людей.

Что мы знаем о вреде электронных сигарет?

Многие считали, что курение с помощью электронных устройств — это не более чем модная фишка. Однако эксперты забили тревогу (тыц), когда начали появляться данные о том, что электронные сигареты наносят серьёзный вред здоровью.

Совсем недавно учёные подтвердили, что пар, который человек выдыхает при курении электронной сигареты, содержит множество токсичных веществ, включая никотин, формальдегид, ацетальдегид и другие химические соединения, которые могут вызывать различные заболевания. И хотя они не выделяют тот же дым, что и обычные сигареты, они оказывают схожее воздействие на организм.

Летальные случаи и болезнь EVALI: как это связано с электронными сигаретами?

За последние несколько лет было зафиксировано несколько трагических случаев, когда люди умирали после курения электронных сигарет. Причины летальных исходов различаются, но все они связаны с тем, что в составе жидкости для электронных сигарет могут присутствовать вредные вещества, вызывающие острые отравления, респираторные заболевания и даже проблемы с сердцем.

  • 1. Острая токсическая реакция

Некоторые жидкости для электронных сигарет могут содержать вещества, которые при нагревании распадаются на ядовитые компоненты. Например, некоторые жидкости с ароматизаторами содержат диацетил — химическое вещество, вдыхание которого может привести к тяжелым заболеваниям легких, таким как «легкие попкорна», которые могут быть смертельно опасными.

  • 2. Легочные болезни и дыхательная недостаточность

Исследования показали, что пары электронных сигарет могут вызывать воспаление лёгких и ухудшать дыхательную функцию. В некоторых случаях это приводит к лёгочной недостаточности, а в особо тяжёлых — к летальному исходу. Заболевания, связанные с повреждением лёгочной ткани из-за паров, можно считать началом цепочки, которая заканчивается летальным исходом, если вовремя не начать лечение.

  • 3. Никотиновая зависимость и кардиопроблемы

Не стоит забывать, что основным компонентом большинства электронных сигарет является никотин — сильный наркотик, вызывающий зависимость и влияющий на сердце. При длительном и чрезмерном употреблении никотина могут развиться сердечно-сосудистые заболевания, которые также могут привести к смерти, например, из-за инфаркта миокарда или инсульта.

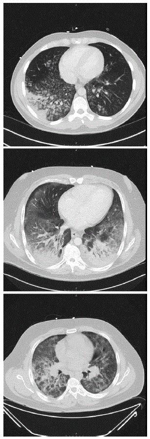
Изображения компьютерной томографии, показывающие диффузные инфильтраты в лёгких у трёх пациентов, 2019 год
Изображения компьютерной томографии, показывающие диффузные инфильтраты в лёгких у трёх пациентов, 2019 год

Болезнь EVALI: новый смертельный синдром

Одной из самых опасных и недавно выявленных проблем, связанных с курением электронных сигарет, является болезнь EVALI (электронная сигарета или вейпинг-индуцированная лёгочная травма). Это тяжёлое заболевание лёгких, которое связано с использованием электронных сигарет, особенно жидкостей, содержащих ТГК (тетрагидроканнабинол) — активный компонент марихуаны.

Симптомы болезни EVALI включают затруднённое дыхание, кашель, боли в груди, жар и тошноту. В особо тяжёлых случаях заболевание может привести к дыхательной недостаточности, требующей госпитализации, а иногда и к летальному исходу. По данным Центров по контролю и профилактике заболеваний (CDC) в США, в 2019 году было 1479 сообщений о случаях EVALI, а число зарегистрированных смертей также выросло с 26 до 33 за тот же период. Эта цифра продолжает расти, и врачи бьют тревогу, что в будущем болезнь может стать настоящей эпидемией.

Болезнь EVALI привлекла к себе внимание, потому что она напрямую связана с вейпингом и электронными сигаретами. Жидкости, которые используются в этих устройствах, часто содержат вредные вещества, такие как ацетат витамина E, вдыхание которого может вызвать острое воспаление лёгких. Вред, наносимый лёгким, может быть настолько серьёзным, что в некоторых случаях пациенты попадают в реанимацию, и даже с этим заболеванием не удаётся справиться.

Кто в группе риска?

Сейчас уже неоспоримым фактом является то, что курение электронных сигарет может привести к летальному исходу, однако это касается не всех. Особенно в группе риска находятся следующие категории:

  • Молодежь и подростки, которые начинают курить, не осознавая всех опасностей.
  • Люди с заболеваниями дыхательной системы — астмой, хроническим бронхитом и другими проблемами.
  • Сердечно-сосудистые пациенты, которым может быть сложно справляться с воздействием никотина и других токсичных веществ.
  • Беременные женщины, для которых электронные сигареты могут представлять угрозу как для их здоровья, так и для здоровья ребёнка.

А что там на Родине?

В России в 2025 году наблюдаются различные факторы, влияющие на не хорошие показатели. Так Lenta.ru пишет, что у одного из подростков в Томске врачи нашли новое опасное заболевание, также называемую «попкорновой болезнью». Об этом сообщается в официальном Telegram-канале регионального управления.

Защитите детей: Боритесь с ароматизированными электронными сигаретами

«Защитим детей: боремся с ароматизированными электронными сигаретами» — это программа, реализуемая Bloomberg Philanthropies и Кампанией за детей, свободных от табака, которая направлена на борьбу с этой эпидемией и побуждение лидеров к действию. В рамках этой инициативы разрабатываются законы, запрещающие все ароматизированные электронные сигареты, препятствующие их продаже детям, ограничивающие онлайн-продажи и помогающие обеспокоенным родителям заявить о себе. Инициатива также финансирует рекламные кампании для повышения осведомлённости и противодействия нечестному маркетингу табачных компаний и их попыткам влиять на государственную политику.

Инициатива, запущенная в сентябре 2019 года, появилась в то время, когда органы здравоохранения в десятках штатов расследовали сотни случаев респираторных заболеваний, связанных с вейпингом, причём во многих случаях пострадали подростки.

Эта инициатива поддерживает усилия по:

  • Уберите ароматизированные электронные сигареты с прилавков. Исследования показали, что некоторые ароматизаторы сами по себе могут быть опасны для здоровья.
  • Убедитесь, что все продукты для электронных сигарет проходят научную экспертизу, желательно до того, как они попадут на рынок.
  • Прекратите продавать напрямую детям. Исследования показали, что маркетинговые практики Juul, например, были «явно ориентированы на молодёжь».
  • Прекратите онлайн-продажи электронных сигарет до тех пор, пока не удастся предотвратить их продажу детям.

Популярная мифология

Многие курильщики продолжают верить в миф о том, что электронные сигареты безопасны. Этот миф настолько устойчив, что даже стал частью маркетинговых стратегий производителей. Однако на самом деле их последствия для здоровья могут быть даже более серьёзными, чем у традиционных сигарет, потому что многие ещё не знают о вреде и не могут предсказать долгосрочные последствия.

В заключение стоит добавить

Действительно ли стоит продолжать использовать то, что потенциально может стоить вам жизни? Проблемы со здоровьем могут проявиться не сразу, но последствия могут быть фатальными. Задумайтесь — может, пришло время расстаться с этой привычкой, которая казалась безобидной, но на самом деле лишь разрушает ваше тело? Иногда лучший способ избежать беды — это сделать правильный выбор и изменить свой образ жизни до того, как станет слишком поздно.

Брось электронные сигареты сейчас — здоровье не стоит откладывать на завтра.