Добавить в корзинуПозвонить
Найти в Дзене
MY ORT

Как я восстановила зубы в 40+

Каждый день в своей практике я, как стоматолог – терапевт, сталкиваюсь со случаями, которые заставляют меня использовать все свои навыки и знания. Иногда пациенты приходят с такими проблемами, что даже у опытного стоматолога могут возникнуть трудности. Но именно эти сложные ситуации делают мою работу такой интересной и увлекательной. Сегодня я хочу рассказать вам интересный клинический случай, как я справляюсь с тяжёлыми пациентами и какие методы использую для лечения. Надеюсь, мой рассказ поможет вам лучше понять, насколько важна роль стоматолога в сохранении здоровья зубов и полости рта. Пациентка из Ленинградской области, обратилась ко мне с жалобами на отсутствие зубов, старые коронки, дискомфорт в виде болевой реакции на холодное и горячее, застревание пищи в кариозных полостях и на неприятный запах. У неё наблюдались отсутствующие зубы, старые коронки, которые уже отходили и было значительное разрушение зубов. До моего посещения пациентке уже удалили достаточно много зубов и пос
Оглавление

Каждый день в своей практике я, как стоматолог – терапевт, сталкиваюсь со случаями, которые заставляют меня использовать все свои навыки и знания. Иногда пациенты приходят с такими проблемами, что даже у опытного стоматолога могут возникнуть трудности. Но именно эти сложные ситуации делают мою работу такой интересной и увлекательной.

Сегодня я хочу рассказать вам интересный клинический случай, как я справляюсь с тяжёлыми пациентами и какие методы использую для лечения. Надеюсь, мой рассказ поможет вам лучше понять, насколько важна роль стоматолога в сохранении здоровья зубов и полости рта.

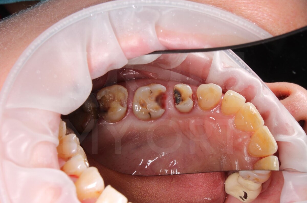
Исходная ситуация
Исходная ситуация

Жалобы пациентки и консультация

Пациентка из Ленинградской области, обратилась ко мне с жалобами на отсутствие зубов, старые коронки, дискомфорт в виде болевой реакции на холодное и горячее, застревание пищи в кариозных полостях и на неприятный запах. У неё наблюдались отсутствующие зубы, старые коронки, которые уже отходили и было значительное разрушение зубов.

До моего посещения пациентке уже удалили достаточно много зубов и поставили небольшой протез.

План лечения

Комплексный план лечения был составлен мной - стоматологом - терапевтом и ортопедом дистанционно на основе компьютерной томографии (КТ) и фотопротокола.

Основной моей задачей было восстановление разрушенных зубов и подготовка их к последующему ортопедическому лечению.

Поскольку полости у пациентки были достаточно глубокие мы сразу обсудили возможность, что в этих зубах будем лечить пульпиты.

Лечение

1 этап - анестезия и изоляция

Первым делом я сделала анестезию и поставила изоляцию оптрагейт. Кстати, самое сложное в этом клиническом случае было то, что зубы находились на расстоянии друг от друга. Провела черновое препарирование: были удалены старые пломбы и кариозные ткани. А также был установлен коффердам, для изоляции зубов и предотвращения инфицирования.

2 этап - восстановление зубов

На втором этапе я столкнулась с отсутствием соседних опорных структур, но смогла восстановить зубы. Я обработала и запломбировала полости, несмотря на сложные условия работы. Провела шлифование и полировку реставраций чашечками, щеточками и резиночками.

3 этап - пломбирование зубов

В одном зубе я вскрыла пульпу, к счастью, симптомов воспаления там не наблюдалось, поэтому канал был просто запломбирован.Так же я использовала тефлон для дополнительной защиты при работе с десной.

Тефлон нужен для изоляции десны при пломбировании. Он эффективен для временного заполнения, когда нет возможности немедленно реставрировать эндодонтически леченый зуб.

Мои рекомендации

После завершения нашего лечения пациентка получила все необходимые рекомендации по уходу за зубами от меня:

1. Гигиена полости рта 2 раза в год.

2. Использование ополаскивателей для полости рта.

3. Чистка зубов дважды в день с использованием мягкой щетки, например CURAPROX и нити для межзубных промежутков, либо межзубных ершиков.

4. Исключение сладкого и кислого в большом количестве, избегать горячей или холодной пищи после лечения, включить в рацион продукты, богатые кальцием и фосфором (творог, рыбу).

5. Продолжить лечение у стоматолога-ортопеда и стоматолога-хирурга, имплантолога.

6.Проходить регулярный осмотр у стоматолога (каждые 6 месяцев) для поддержания здоровья полости рта и не упускать развитие кариеса, чтобы предотвратить повторные ситуации.

Результат

Просто посмотрите какой результат у нас получился, все жалобы по терапевтической части пациентки я смогла убрать.

Результат лечения
Результат лечения

Хочу отметить, что пациентке еще предстоит восстановление здоровья зубов, а именно - ортопедическое и хирургическое лечение (установка имплантатов и протезирование для восстановления функциональности зубного ряда).

Пишите в комментарии, как проходило терапевтическое лечение в вашем случае, какие были результаты, довольны ли вы ими. Отправляйте свои истории, будет интересно почитать.

Автор статьи: Посудневская Елизавета Владиславовна - врач-стоматолог хирург, терапевт.