Найти в Дзене
Здоровье Mail

Подмосковные врачи спасли мужчину, которому рыбья кость проткнула кишечник

Врачи Луховицкой больницы спасли 64-летнего мужчину, которому кость от рыбы проткнула стенку кишечника. Об этом сообщает пресс-служба подмосковного Минздрава.

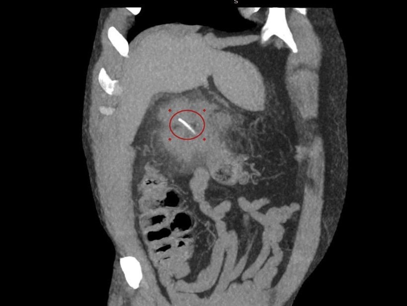
Мужчина обратился в медучреждение с жалобами на боли в правом подреберье. В результате врачи обнаружили у него инородный предмет костной плотности в проекции правого фланга толстой кишки.

Врачи выяснили, что пациент месяц назад проглотил кость и только через некоторое время стал ощущать боли в подреберье. Но даже после этого он не стал обращаться за медпомощью.

Во время обследования было выявлено, что кость длиной примерно в 3 сантиметра проделала отверстие в стенке толстой кишки в районе печени. Именно поэтому пациенту экстренно сделали операцию, которая прошла успешно.

В министерстве уточнили, что сейчас мужчина чувствует себя хорошо и готовится к выписке.

Несколькими днями ранее врачи Долгопрудненской больницы извлекли из носа 22-летнего молодого человека молочный зуб. Пациент поступил в медучреждение с жалобами на продолжительный насморк.

В результате врачи извлекли неизвестно как попавший и неизвестно сколько пролежавший в носовой полости покрытый грибковым содержимым молочный зуб. Молодой человек уже выписан домой.