Добавить в корзинуПозвонить
Найти в Дзене

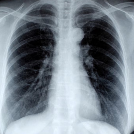
Флюорография: как часто нужно делать и зачем?

Флюорография - это рентгенологическое исследование легких. "Фотографировать" легкие нужно раз в год обязательно, даже в том случае, если никаких симптомов нет.
Почему? Потому что это исследование позволяет выявить туберкулез, пневмонию, онкологические заболевания легких, патологические процессы в легочной системе на самых ранних стадиях, тогда, когда никаких симптомов еще нет.
Свежая флюорография обязательно входит в пакет документов для госпитализации (в том числе, с ребенком), для устройства на работу в учреждения пищевой промышленности, торговли и общественного питания; медицинские и детские учреждения; предприятия, где работают с атомной энергией; водопроводные сооружения. Также свежие снимки могут попросить у учащихся ВУЗов, при заселениях в общежития.
Сделать цифровую флюорографию быстро можно в "РЖД-Медицине" в Петрозаводске. Записаться легко по телефону+7(8142) 26-43-40 по будням с 8:00 до 19:00 или через форму по ссылке vk.com/app5708398_-142199366.
freepic.com
freepic.com

Флюорография - это рентгенологическое исследование легких. "Фотографировать" легкие нужно раз в год обязательно, даже в том случае, если никаких симптомов нет.

Почему? Потому что это исследование позволяет выявить туберкулез, пневмонию, онкологические заболевания легких, патологические процессы в легочной системе на самых ранних стадиях, тогда, когда никаких симптомов еще нет.

Свежая флюорография обязательно входит в пакет документов для госпитализации (в том числе, с ребенком), для устройства на работу в учреждения пищевой промышленности, торговли и общественного питания; медицинские и детские учреждения; предприятия, где работают с атомной энергией; водопроводные сооружения. Также свежие снимки могут попросить у учащихся ВУЗов, при заселениях в общежития.

Сделать цифровую флюорографию быстро можно в "РЖД-Медицине" в Петрозаводске. Записаться легко по телефону+7(8142) 26-43-40 по будням с 8:00 до 19:00 или через форму по ссылке
vk.com/app5708398_-142199366.