Найти в Дзене
N + 1

Исследование близнецов подтвердило связь татуировок с лимфомой и раком кожи

Сине Бестед Клеменсен (Signe Bedsted Clemmensen) из Университета Южной Дании с коллегами из Дании и Финляндии провела исследование среди близнецов и получила новые подтверждения связи татуировок с лимфомами и раком кожи. В части работы с когортным дизайном были проанализированные данные 2367 близнецов из датских национальных регистров, в исследовании типа «случай — контроль» приняли участие 316 близнецов. Все они родились в 1960–1996 годах, так что на момент сбора данных им было не менее 20 лет. Результаты анализа опубликованы в журнале BMC Public Health. В работе типа «случай — контроль» риск любого кожного онкозаболевания, за исключением базальноклеточной карциномы, был в 1,62 раза выше у людей с татуировками. Для любого рака кожи и лимфомы увеличение риска (более чем вдвое) наблюдалось только при площади татуировок, превышающей площадь ладони. В когортной части исследования отношение рисков у участников с татуировками по сравнению с их отсутствием составило 3,91 для рака кожи и 2,83

Сине Бестед Клеменсен (Signe Bedsted Clemmensen) из Университета Южной Дании с коллегами из Дании и Финляндии провела исследование среди близнецов и получила новые подтверждения связи татуировок с лимфомами и раком кожи. В части работы с когортным дизайном были проанализированные данные 2367 близнецов из датских национальных регистров, в исследовании типа «случай — контроль» приняли участие 316 близнецов. Все они родились в 1960–1996 годах, так что на момент сбора данных им было не менее 20 лет. Результаты анализа опубликованы в журнале BMC Public Health.

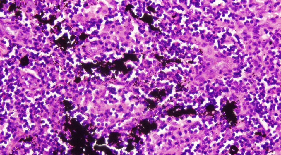
  CM Jack et al. / International Seminars in Surgical Oncology, 2005
CM Jack et al. / International Seminars in Surgical Oncology, 2005

В работе типа «случай — контроль» риск любого кожного онкозаболевания, за исключением базальноклеточной карциномы, был в 1,62 раза выше у людей с татуировками. Для любого рака кожи и лимфомы увеличение риска (более чем вдвое) наблюдалось только при площади татуировок, превышающей площадь ладони. В когортной части исследования отношение рисков у участников с татуировками по сравнению с их отсутствием составило 3,91 для рака кожи и 2,83 для базальноклеточной карциномы (комбинированный показатель 3,28). Ранее положительную корреляцию татуировок с риском развития лимфомы обнаружили шведские исследователи.