Найти в Дзене

Временная коронка, зачем она нужна?

Оглавление
Временные коронки изготавливаются из специальной пластмассы в лаборатории по индиыидуальным слепкам и полностью повторяют рельеф и форму родной коронки.
Временные коронки изготавливаются из специальной пластмассы в лаборатории по индиыидуальным слепкам и полностью повторяют рельеф и форму родной коронки.

Что такое временная коронка и зачем нам ее предлагают в стоматологии? Если носить ее недолго и придется менять на новую дорогостоящую конструкцию из керамики или циркона? Почему нельзя сразу поставить постоянную коронку?

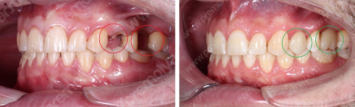
Слева отсутствуют 2 зуба, справа установлены 2 временные коронки из полимера на месте отсутствующих зубов.
Слева отсутствуют 2 зуба, справа установлены 2 временные коронки из полимера на месте отсутствующих зубов.

Отсутствие зубов слева уже длительное время, десна подсела, нет полноценного объема для обрамления коронки. Коронки ПММА справа, появилась форма десны, подобрана высота и форма, было несколько корректировок, прежде чем пришли к идеальному виду.

Очень часто мы сталкиваемся с таким вопросом от наших пациентов и с радостью расскажем, в чем суть и значимость временной коронки.

В первую очередь, временная коронка отличается от постоянной материалом, из которого она изготовлена и, следуя из названия конструкции, временем ношения.

Так зачем же она нужна?

Слева зубы отсутствуют. Справа вид коронки после установки. Были установлены импланты Штрауман. Отверстия - шахты, через которые доктор фиксирует коронку к имплантату с помощью винта. Их закрывают герметичным материалом и композитом цвет зубов
Слева зубы отсутствуют. Справа вид коронки после установки. Были установлены импланты Штрауман. Отверстия - шахты, через которые доктор фиксирует коронку к имплантату с помощью винта. Их закрывают герметичным материалом и композитом цвет зубов

Протезирование зубов.

Ответ очень прост- временная коронка прототип будущей конструкции, на которой мы можем отточить все нюансы: высоту, форму, контактный пункт между зубами и сформировать десну - 4 очень важных момента при постановке коронки, от которых в дальнейшем будет зависеть комфорт пациента на ближайшие 10 лет минимум.

Временная коронка изготавливается из лабораторной пластмассы или керамокомпозита. Такой материал позволяет корректировать нюансы в процессе лечения и не требует дополнительных затрат.

Такие конструкции могут быть установлены на свои зубы, в которых было проведено сложное лечение и нам необходимо проверить, выдержит ли зуб нагрузку. Таким образом в случае неблагоприятного исхода, финансовая нагрузка сильно меньше, чем если бы мы поставили сразу керамическую или циркониевую коронку.

Ортодонтическая металлическая коронка с встроенным литым брекетом.
Ортодонтическая металлическая коронка с встроенным литым брекетом.

Ортодонтическое лечение.

Так же временные коронки или накладки фиксируются на период ортодонтического лечения, если необходимо изменить форму и высоту зубов для правильного сопоставления верхней и нижней челюстей. В ортодонтии особенно важна высота зуба, так как часто пациенты с неправильным прикусом приходят с уже стертыми зубами из-за неправильной нагрузки, либо из-за активного бруксизма. При исправлении прикуса и правильном постановлении соотношений челюстей, часто нахватает высоты зубов, высоту необходимо компенсировать, но сразу делать керамику или циркон нерационально, поэтому идеально подходит временная конструкция в виде накладки из лабораторного полимера. Они достаточно прочные, чтобы продержаться период ортодонтического лечения. После окончания ортодонтического лечения необходимо будет временную конструкцию заменить на постоянную.

Еще одна необходимость возникает в случае, если у пациента сильно разрушенный зуб, пролечен и вместо стандартной керамической коронки изготавливается специальная металлическая с брекетом. Так как брекет на керамику или циркон плохо фиксируется, на время ношения брекетов мы используем специальную коронку с брекетом.

Срок службы и какой материал используется?

Срок службы временных конструкций в среднем до 2х лет, потому что пластик не дает необходимой прочности, может отклеиваться от зуба, впитывать в себя пигменты и бактерии, как любая пластмасса

На период ортодонтического лечения лучше всего подойдут коронки и накладки из керамокомпозита, потому что они обладают лучшими свойствами для фиксации к зубу и реже отклеивается в процессе лечения. Необходимость временного протезирования в том, чтобы сильно разрушенные зубы не скололись под давлением брекетов, чтобы ортодонт выстроил правильные контакты и мог установить необходимое положение нижней челюсти относительно верхней.

Пластик или PMMA хорошо работает при временном протезирование на имплантатах, позволяя сформировать десну, выстроить будущую анатомию и контактные пункты, чтобы постоянная конструкция идеально вписывалась в зубной ряд.

Для каждого пациента разрабатывается индивидуальный проект формы и цвета будущей ортопедической реставрации. Прежде чем попасть на место отсутствующего зуба, коронка проходит несколько этапов согласования с врачом по форме, цвету, контактам и пр. Этот проект остаётся в зуботехнической лаборатории до момента замены временных конструкций на постоянные.

Премоляр
Премоляр

Ждем вас в нашей клинике на консультацию. Записаться к нам можно через сайт или по номеру телефона 8 999 550 36 26.