Добавить в корзинуПозвонить
Найти в Дзене
Radiology Hub

Раздбор случая #18

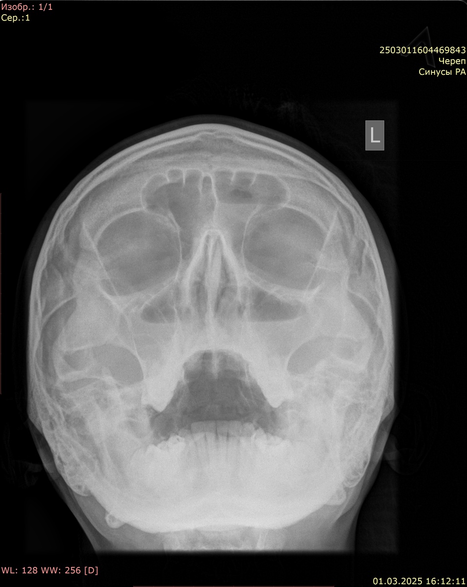
Обзорная рентгенография придаточных пазух носа:
Визуализируются придаточные пазухи носа: верхнечелюстные, лобная, ячейки решетчатого лабиринта, клиновидная. Контуры пазух четкие, ровные. В обеих в/ч пазухах определяется горизонтальный уровень жидкости до 1/2 с утолщением стенок. В левой лобной пазухе также горизонтальный уровень жидкости до 1/2. Носовая перегородка по средней линии.
Заключение: картина двустороннего экссудативного в/ч синусита с уровнями жидкости до 1/2. Левосторонний фронтит с уровнем жидкости

Обзорная рентгенография придаточных пазух носа:

Визуализируются придаточные пазухи носа: верхнечелюстные, лобная, ячейки решетчатого лабиринта, клиновидная. Контуры пазух четкие, ровные. В обеих в/ч пазухах определяется горизонтальный уровень жидкости до 1/2 с утолщением стенок. В левой лобной пазухе также горизонтальный уровень жидкости до 1/2. Носовая перегородка по средней линии.

Заключение: картина двустороннего экссудативного в/ч синусита с уровнями жидкости до 1/2. Левосторонний фронтит с уровнем жидкости