Добавить в корзинуПозвонить
Найти в Дзене
Radiology Hub

Разбор случая #17

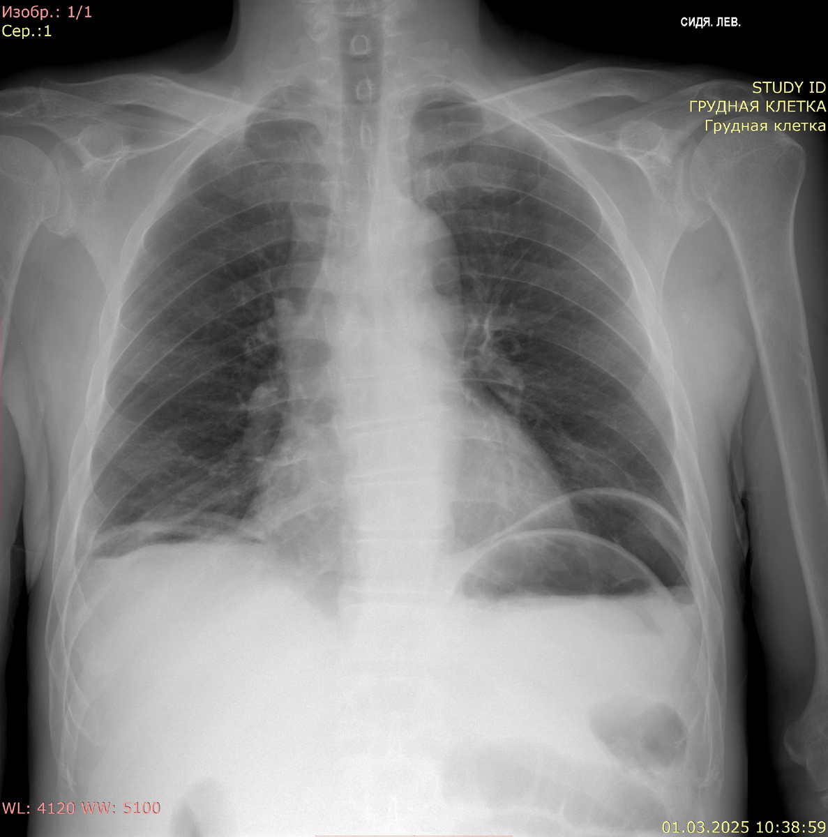
Рентгенография органов грудной клетки в прямой проекции:
Видимые дыхательные пути проходимы. Тень средостения не смещена, не расширена. Корни легких четкие, структурные, не расширены. Очаговых и инфильтративных изменений в легких нет. Синусы скрыты гомогенными горизонтальными тенями. Костно-деструктивных изменений нет. Свободный газ под куполами диафрагмы
Заключение: свободный газ в брюшной полости. Двусторонний минимальный плевральный выпот. Данных за очаговые или инфильтративные изменения не выявлено.

Рентгенография органов грудной клетки в прямой проекции:

Видимые дыхательные пути проходимы. Тень средостения не смещена, не расширена. Корни легких четкие, структурные, не расширены. Очаговых и инфильтративных изменений в легких нет. Синусы скрыты гомогенными горизонтальными тенями. Костно-деструктивных изменений нет. Свободный газ под куполами диафрагмы

Заключение: свободный газ в брюшной полости. Двусторонний минимальный плевральный выпот. Данных за очаговые или инфильтративные изменения не выявлено.