Найти в Дзене
Микроскопия

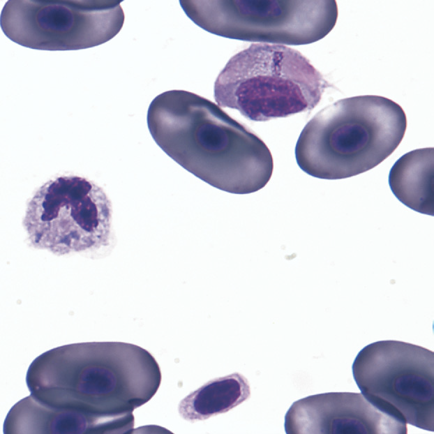
Амебовидные движения лейкоцитов лягушки

Вырезают из фильтровальной бумаги квадратик, размером не превышающий предметное стекло. В середине квадратика вырезают отверстие несколько меньше покровного стекла. Полученную рамочку смачивают физиологическим раствором для хладнокровных (0,6 % NaCI), накладывают на предметное стекло и сверху на рамочку кладут покровное стекло, на нижнюю поверхность которого помещают маленькую каплю крови лягушки, взятую из сердца. На препарате увидим массу зеленовато-розовых овальных клеток (красные кровяные тельца), среди которых кое-где будут заметны бледные, слегка зернистые клетки разнообразной формы со слабо заметным ядром — лейкоциты. Амёбовидные движения лейкоцитов происходят довольно медленно. Поэтому, выбрав один из них, нужно понаблюдать за ним некоторое время. Рекомендуется зарисовка контуров одного и того же лейкоцита через 5, 10, 15 и т. д. минут (препарат по сдвигать).

Вырезают из фильтровальной бумаги квадратик, размером не превышающий предметное стекло. В середине квадратика вырезают отверстие несколько меньше покровного стекла. Полученную рамочку смачивают физиологическим раствором для хладнокровных (0,6 % NaCI), накладывают на предметное стекло и сверху на рамочку кладут покровное стекло, на нижнюю поверхность которого помещают маленькую каплю крови лягушки, взятую из сердца.

На препарате увидим массу зеленовато-розовых овальных клеток (красные кровяные тельца), среди которых кое-где будут заметны бледные, слегка зернистые клетки разнообразной формы со слабо заметным ядром — лейкоциты.

Амёбовидные движения лейкоцитов происходят довольно медленно. Поэтому, выбрав один из них, нужно понаблюдать за ним некоторое время. Рекомендуется зарисовка контуров одного и того же лейкоцита через 5, 10, 15 и т. д. минут (препарат по сдвигать).

-2
-3