Добавить в корзинуПозвонить
Найти в Дзене
ЖКТолог

"Тихие" образования в желчном пузыре. Что о них известно?

Приветствую всех интересующихся здоровьем! Сегодня речь пойдет о полипах желчного пузыря. Они представляют собой вырост слизистой (внутренней) оболочки в просвет органа. Полипы желчного пузыря часто обнаруживаются случайно во время выполнения УЗИ органов брюшной полости по каким-либо другим причинам. ⮚ На какие группы можно разделить полипы? Для упрощения понимания разделим полипы на: - псевдоопухоли (псевдополипы – холестериновые, холестероз ЖП, воспалительные полипы ЖП (как вторичные изменения на фоне ЖКБ или на фоне хронического воспаления), гамартомы, смешанные полипы; гиперплазия – аденоматозные полипы, аденомиоматоз, лимфоидные; гетеротопия – желудочная, кишечная, панкреатическая, печеночная; паразитарные и гранулематозные полипы); - опухоли (мезенхимальные – гемангиомы, липомы, лейомиомы, фибромы, нейрофибромы, зернистоклеточные опухоли, аденомы – папиллярные, непапиллярные) 2. Злокачественные: аденокарцинома, метастатические и др. ⮚ Какой самый распространенный вид полипов? С

Приветствую всех интересующихся здоровьем!

Сегодня речь пойдет о полипах желчного пузыря.

Они представляют собой вырост слизистой (внутренней) оболочки в просвет органа.

Полипы желчного пузыря часто обнаруживаются случайно во время выполнения УЗИ органов брюшной полости по каким-либо другим причинам.

На какие группы можно разделить полипы?

Для упрощения понимания разделим полипы на:

  1. Доброкачественные:

- псевдоопухоли (псевдополипы – холестериновые, холестероз ЖП, воспалительные полипы ЖП (как вторичные изменения на фоне ЖКБ или на фоне хронического воспаления), гамартомы, смешанные полипы; гиперплазия – аденоматозные полипы, аденомиоматоз, лимфоидные; гетеротопия – желудочная, кишечная, панкреатическая, печеночная; паразитарные и гранулематозные полипы);

- опухоли (мезенхимальные – гемангиомы, липомы, лейомиомы, фибромы, нейрофибромы, зернистоклеточные опухоли, аденомы – папиллярные, непапиллярные)

2. Злокачественные: аденокарцинома, метастатические и др.

Какой самый распространенный вид полипов?

Самый распространенный вид полипа – холестериновые полипы желчного пузыря, которые представляют собой очаговую форму холестероза желчного пузыря. Они образуются из-за накопления жиров в стенке органа, чаше липопротеидов низкой плотности (ЛПНП).

Холестероз желчного пузыря – диффузное (т.е. распространенное) или очаговое накопление в стенке желчного пузыря жиров.

Существуют различные формы холестероза: сетчатая, полипозная, сетчато-полипозная; по распространенности – тотальная и очаговая.

😟 Какими симптомами проявляются полипы желчного?

Кстати, в названии статьи уже есть некоторая подсказка. В большинстве случаев они бессимптомные. Но некоторые формы полипов в редких случаях могут проявляться болями в правом подреберье, симптомами диспепсии, их сочетанием.

🔎Как их можно диагностировать?

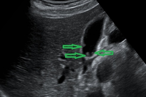
1. УЗИ органов брюшной полости без/с контрастированием (для оценки кровотока в полипе), что является стандартным методом диагностики. Этот способ подходит для оценки динамики роста полипов.

Для холестериновых полипов характерно наличие эффекта реверберации («хвоста кометы») - утолщение стенки желчного пузыря позади наиболее крупных включений, отсутствие кровотока, чаще это множественные округлые или овоидные образования, не смещаемые при изменениях положения тела, без акустической тени.

-2

Злокачественные полипы на УЗИ чаще одиночные и имеют кровоток.

2. МРТ (магнитно-резонансная томография) / КТ (компьютерная томография).

3. Эндо УЗИ.

💊 Какое лечение будет получать пациент с полипами?

Чаще всего никакое. Будет рекомендоваться наблюдательная тактика. При этом рекомендуется контролировать массу тела (снижать ее, если она избыточна или если есть ожирение), добавить физическую активность при ее отсутствии, рациональное питание (может, например, предлагаться Средиземноморская диета).

Возможно назначение препаратов Урсодезоксихолевой кислоты на 3-6 месяцев под контролем УЗИ (при холестерозе).

Также при наличии болей в правом подреберье допустимо использование спазмолитиков.

Какие показания к хирургическому удалению желчного пузыря?

Да, к сожалению, полип отдельно удалить нельзя, его удаляют вместе с желчным пузырем.

  1. Если полип вырос более, чем на 2 мм за период наблюдения.
  2. Если размер полипа более 10 мм (из-за высокого риска стать злокачественным).
  3. Если пациент имеет симптомы, которые могут быть связаны с желчным пузырем и не объясняются какими-либо другими факторами.
  4. Если пациент имеет полип размером 6-9 мм и факторы риска (ФР) злокачественности полипа: возраст старше 60 лет, первичный склерозирующий холангит в анамнезе, азиатскую этническую принадлежность, полип на широком основании с очаговым утолщением стенки желчного пузыря > 4 мм.

🔸Какова периодичность наблюдения за полипами?

  1. Полип < 6 мм без ФР – не требует наблюдения.
  2. Полип < 6 мм с 1 и более ФР - УЗИ ОБП через 6 мес, 1, 2 года (если роста за 2 года нет, не требует дальнейшего наблюдения).
  3. Полип 6-9 мм без ФР – УЗИ ОБП через 6 мес, 1, 2 года (если роста за 2 года нет, не требует дальнейшего наблюдения).
  4. Полип 6-9 мм с 1 и более ФР – консультация хирурга, решение вопроса о проведении плановой холецистэктомии (ХЭ).
  5. Полип 10 мм - консультация хирурга, решение вопроса о проведении плановой ХЭ.
  6. Полип вырос на 2 мм за период наблюдения (между 2-мя УЗИ ОБП) - консультация хирурга, решение вопроса о проведении плановой ХЭ.
  7. Полип вырос до 10 мм – см. пункт 5.

Таким образом, мы рассмотрели важность регулярного наблюдения за полипами и обсудили различные методы диагностики и лечения.

☝️Помните, что своевременное обращение к специалисту может значительно снизить риски осложнений и улучшить качество вашей жизни.

Если у вас есть какие-либо вопросы или вы хотите дать обратную связь по поводу статьи, пожалуйста, оставляйте комментарии ниже.

Спасибо за внимание! Берегите себя и будьте здоровы!