Найти в Дзене
Дом мамы Лисы

33 несчастья мамы Лисы. Всегда думала, что сломать кость трудно, но оказалось, что сложнее ее срастить

8 марта прошел месяц с очередного перелома: на прием к врачу ехала окрылённая, в надежде услышать хорошие новости. Добро пожаловать в дом мамы Лисы. В мире фриланса — я декан на статейном факультете, редактор, маркетолог и немного психолог. Здесь я домохозяйка, жена своего мужа, мама троих детей, кота, собаки и кучки растений, которые пытаются выжить на подоконниках и грядках. Не люблю писать о досуге, но зато с увлечением рассказываю о буднях. Мне нравится видеть хорошее в обычном, яркое в привычном и новое в скучном. Но что-то пошло не по плану. Перелом как был, так и остался. Не помогли в сращивании чудесные таблетки и щадящий режим. Хотя бы смещения удалось избежать. За месяц на рентгене почти никаких изменений. Хотя доктор с рентгенологом пытались поднять мне настроение, мол, да, перелом еще не сросся, но на снимке есть положительная динамика. Башмачок мой волшебный доктор сказал снять, ходить с опорой на пятку, пальцы далее фиксируем повязкой. Передний отдел начать нагружать

8 марта прошел месяц с очередного перелома: на прием к врачу ехала окрылённая, в надежде услышать хорошие новости.

Добро пожаловать в дом мамы Лисы. В мире фриланса — я декан на статейном факультете, редактор, маркетолог и немного психолог. Здесь я домохозяйка, жена своего мужа, мама троих детей, кота, собаки и кучки растений, которые пытаются выжить на подоконниках и грядках. Не люблю писать о досуге, но зато с увлечением рассказываю о буднях. Мне нравится видеть хорошее в обычном, яркое в привычном и новое в скучном.

Но что-то пошло не по плану. Перелом как был, так и остался. Не помогли в сращивании чудесные таблетки и щадящий режим. Хотя бы смещения удалось избежать.

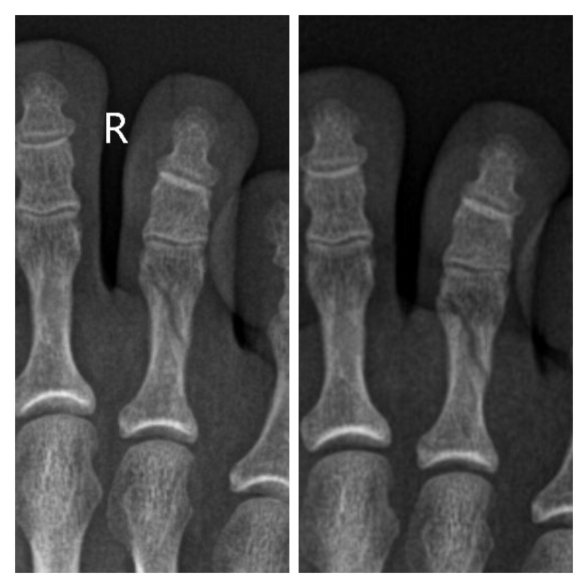
За месяц на рентгене почти никаких изменений. Хотя доктор с рентгенологом пытались поднять мне настроение, мол, да, перелом еще не сросся, но на снимке есть положительная динамика.

Вот так выглядит полный косой перелом пальца
Вот так выглядит полный косой перелом пальца

Башмачок мой волшебный доктор сказал снять, ходить с опорой на пятку, пальцы далее фиксируем повязкой. Передний отдел начать нагружать через две недели: по 5% в неделю. Классика.

Отметила, что даже без гипса кожа на поврежденной ноге трескается и облезает как у ящерицы. Раньше грешила на повязки...

В общем, буду ещё сдавать хитрые тесты на остеопороз. Категорически не нравится мне вся эта песня с хрупкостью костей, а заживление с каждым разом едем все медленнее.

Два дня хожу без моего верного башмачка. Медленно очень и неприятно, иногда даже больно. И страшно, постоянно кажется, что на ногу что-нибудь упадет или кто-нибудь прыгнет.

Хорошая новость в том, что палец у Миры хорошо заживает. А вы знали, что у зеленки по сравнению с йодом более долгий защитный эффект?

Ребята с папой где-то поймали сезонный вирус, я, как обычно, буду в замыкающих.

Рубрика:

Семья | Девятихвостый чертог | Дзен

Навеяно:

Об авторе и блоге: