Добавить в корзинуПозвонить
Найти в Дзене
Дневник эндоскописта

Полипы толстой кишки: что это, как обнаружить и что делать дальше

⚠️Что такое полипы?   Полипы — это доброкачественные образования на слизистой оболочке толстой кишки. Они похожи на небольшие «грибы» или «бугорки» и чаще возникают у людей старше 45 лет. Но не все полипы одинаковы: их тип определяет риск перерождения в рак. 💥Какие бывают полипы?   1. ✅Гиперпластические — самые безобидные. Редко становятся злокачественными.   2. ✅Аденоматозные (аденомы) — встречаются в 70% случаев. Имеют риск малигнизации (до 5-10% в зависимости от размера и типа).   3. ✅Зубчатые полипы — особенно SSA/P (sessile serrated adenoma/polyp). Могут трансформироваться в рак быстрее аденом.   4.✅ Ворсинчатые аденомы — наиболее опасные из-за высокого риска озлокачествления (до 40% при размере >2 см). ❗Важно!Чем крупнее полип и сложнее его структура, тем выше риск рака. 👉Почему появляются полипы?**   - Возраст: 90% случаев — у людей старше 45 лет.   - Наследственность: Семейный аденоматозный полипоз (САП) или синдром Линча увеличивают риск в десятки раз.   - Образ жизни👇:  

⚠️Что такое полипы?  

Полипы — это доброкачественные образования на слизистой оболочке толстой кишки. Они похожи на небольшие «грибы» или «бугорки» и чаще возникают у людей старше 45 лет. Но не все полипы одинаковы: их тип определяет риск перерождения в рак.

💥Какие бывают полипы?  

1. ✅Гиперпластические — самые безобидные. Редко становятся злокачественными.  

2. ✅Аденоматозные (аденомы) — встречаются в 70% случаев. Имеют риск малигнизации (до 5-10% в зависимости от размера и типа).  

3. ✅Зубчатые полипы — особенно SSA/P (sessile serrated adenoma/polyp). Могут трансформироваться в рак быстрее аденом.  

4.✅ Ворсинчатые аденомы — наиболее опасные из-за высокого риска озлокачествления (до 40% при размере >2 см).

❗Важно!Чем крупнее полип и сложнее его структура, тем выше риск рака.

👉Почему появляются полипы?**  

- Возраст: 90% случаев — у людей старше 45 лет.  

- Наследственность: Семейный аденоматозный полипоз (САП) или синдром Линча увеличивают риск в десятки раз.  

- Образ жизни👇:  

 - Диета с избытком красного мяса и недостатком клетчатки.  

 - Курение и алкоголь (особенно пиво и крепкие напитки).  

 - Ожирение и низкая физическая активность.  

👉Симптомы: когда бить тревогу?**  

Чаще полипы ❗не вызывают симптомов, но возможны:  

- Кровь в стуле или скрытая кровь (обнаруживается только тестами).  

- Изменение ритма дефекации (запоры, диарея).  

- Анемия без очевидной причины.  

🙏Совет:Не ждите симптомов! После 45 лет (или раньше при отягощенной наследственности) пройдите колоноскопию.

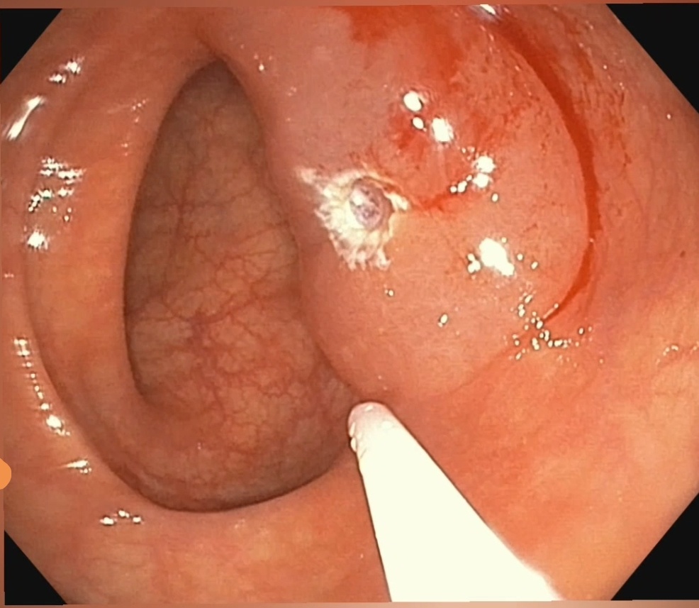
👉Как диагностируют полипы?  

🏷️Колоноскопия— «золотой стандарт»:  

- Позволяет осмотреть всю толстую кишку.  

- Удалить полип сразу во время процедуры (полипэктомия).  

Альтернативы (если колоноскопия невозможна):  

- КТ-колонография.  

- Анализ кала на ДНК (Cologuard).  

❗Важно!* Только гистология после удаления даст точный диагноз.

👉Лечение: как удаляют полипы?  

- Полипэктомия — удаление щипцами или петлей во время колоноскопии (для полипов до 1-2 см).  

- Эндоскопическая резекция или дисекция слизистой (EMR и ESD) — для крупных плоских образований. 

 

EMR - эндоскопическое электрохиругическая резекция
EMR - эндоскопическое электрохиругическая резекция

- Хирургическое удаление — при полипах с подозрением на рак или гигантских размерах.  

❗После удаления:Образец отправляют на гистологию. Это определит дальнейшую тактику.

👉Как часто наблюдаться после удаления?

Рекомендации Американского общества гастроинтестинальной эндоскопии (ASGE) и Европейского общества (ESGE):  

1. Гиперпластические полипы:  

  - Если в прямой/сигмовидной кишке и размер <1 см — повторная колоноскопия через 10 лет.  

2. 1-2 аденомы <1 см:  

  - Контроль через 5-7 лет.  

3. 3-10 аденом, аденомы >1 см или ворсинчатый компонент:  

  - Контроль через 3 года.  

4. Более 10 аденом, SSA/P >1 см или неполное удаление:  

  - Повторная колоноскопия через 1 год.  

5. Семейные синдромы (семейный аденоматозный полипоз, синдром Линча):  

  - Индивидуальный график, часто каждые 1-2 года. 

👉Профилактика: можно ли снизить риск?**  

- Диета: больше овощей, фруктов, цельнозерновых; меньше красного мяса и фастфуда.  

- Курение и алкоголь: отказ снижает риск на 20-30%.  

❗Главное:👇  

Полипы толстой кишки — это не приговор, а повод вовремя действовать. Регулярная колоноскопия спасает жизни: 90% рака можно предотвратить, если удалить предшествующие полипы. Не пропускайте скрининг, особенно если вам за 45 или в семье были случаи колоректального рака.  

✌️Здоровье вашего кишечника — в ваших руках. Доверяйте доказательной медицине!