Добавить в корзинуПозвонить
Найти в Дзене

Случай 1 на миллион. Практика онколога.

В повседневной клинической практике врача-онколога преобладают заболевания, которые являются часто встречающимися и имеют хорошо изученную клиническую картину. К ним относятся преимущественно карцинома молочной железы, колоректальный рак, а также бронхопульмональные опухоли. Данные нозологические формы составляют основную массу и имеют четко отработанные алгоритмы диагностики и лечения. Однако небольшая часть онкологической патологии представлена редкими и атипичными формами злокачественных новообразований, встречаемость которых не превышает нескольких случаев на миллион населения в год. Эти клинические ситуации представляют особый интерес как с диагностической, так и с терапевтической точки зрения, поскольку требуют глубоких знаний и опыта. Пациентка 70 лет, в течение последних 6 месяцев стала отмечать боль в левом плече. Она носила постоянный тупой ноющий характер. Пациентка обращалась к хирургу, неврологу по месту жительства. Назначались курсы физиотерапии, иглоукалывание; все был
Оглавление

В повседневной клинической практике врача-онколога преобладают заболевания, которые являются часто встречающимися и имеют хорошо изученную клиническую картину. К ним относятся преимущественно карцинома молочной железы, колоректальный рак, а также бронхопульмональные опухоли. Данные нозологические формы составляют основную массу и имеют четко отработанные алгоритмы диагностики и лечения.

Однако небольшая часть онкологической патологии представлена редкими и атипичными формами злокачественных новообразований, встречаемость которых не превышает нескольких случаев на миллион населения в год. Эти клинические ситуации представляют особый интерес как с диагностической, так и с терапевтической точки зрения, поскольку требуют глубоких знаний и опыта.

Клинический случай

Пациентка 70 лет, в течение последних 6 месяцев стала отмечать боль в левом плече. Она носила постоянный тупой ноющий характер.

Пациентка обращалась к хирургу, неврологу по месту жительства. Назначались курсы физиотерапии, иглоукалывание; все было без видимого эффекта. Только курсовой прием НПВС давал временный положительный результат, но боль возвращалась вновь.

Ситуация круто изменилась, когда была выполнена компьютерная томография органов грудной клетки. По данным исследования было заподозрено образование средостения и пациентку сразу направили к онкологу.

В нашем центре была выполнена компьютерная томография грудной полости, брюшной полости и малого таза с внутривенным контрастированием. И вот, что мы увидели на снимках.

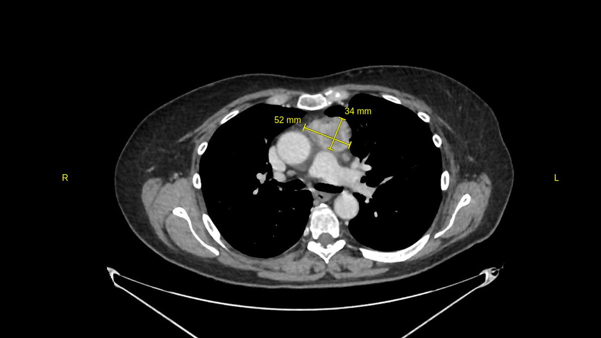
Новообразование переднего верхнего средостения на КТ
Новообразование переднего верхнего средостения на КТ
...в переднем верхнем средостении определяется объемное образование, неправильной округлой формы, без четких контуров, кистозно-солидной структуры, размерами до 52х34 мм в поперечнике и высотой до 45 мм...

В другой проекции опухоль выглядела так:

Та же ситуация в другой проекции
Та же ситуация в другой проекции

По результатам комплексного обследования данных за отдаленное метастазирование не было выявлено.

Поскольку опухоль была резектабельна, на первом этапе было принято решение об операции. В отделении торакальной онкологии выполнено удаление новообразования средостения с использованием видеоэндоскопических технологий.

Гистологическое исследование - Морфоиммуногистохимическая картина соответствует низкодифференцированному неороговевающему плоскоклеточному раку тимуса pT2 R0.

Установлен диагноз: Плоскоклеточный рак тимуса pT2N0M0 II ст.

Согласно клиническим рекомендациям, решением онкологического консилиума на втором этапе лечения назначено проведение химиотерапии с использованием препаратов платины.

Рак тимуса

Тимус (вилочковая железа) — центральный орган лимфопоэза, ответственный за дифференцировку Т-лимфоцитов и секрецию тимических гормонов (тимозин, тимопоэтин). Железа достигает максимальных размеров к началу полового созревания, после чего постепенно уменьшается, замещаясь жировой тканью, что частично объясняет снижение иммунитета в пожилом возрасте.

Строение тимуса
Строение тимуса

Опухоли тимуса - это редкое явление, а плоскоклеточный рак вообще эксклюзив.

Характерной особенностью данной патологии является агрессивное клиническое течение при относительно малых размерах первичного очага. Опухоль развивается из эпителиальных клеток тимуса и может иметь различную степень дифференцировки.

Частота встречаемости данного заболевания не превышает 0,1 случая на 100 000 населения в год. Средний возраст пациентов составляет 45-55 лет, гендерных различий в заболеваемости не выявлено. Особенностью данной патологии является то, что на ранних стадиях заболевание часто протекает бессимптомно, что затрудняет своевременную диагностику.

Заключение

Представленный клинический случай демонстрирует сложность диагностики редких форм рака тимуса. Успешное лечение таких пациентов возможно только при своевременном и комплексном подходе к диагностике, включающем современные методы визуализации. Данный случай подчеркивает важность междисциплинарного подхода в онкологии и необходимость постоянного повышения квалификации медицинского персонала в области редких онкологических заболеваний.

Здоровья Вам и вашим близким!

Друзья, подписывайтесь на канал, здесь будет много интересной и полезной информации!

_________________________________

Возможно Вам будет интересно: