Найти в Дзене
Radiology Hub

Разбор случая #12

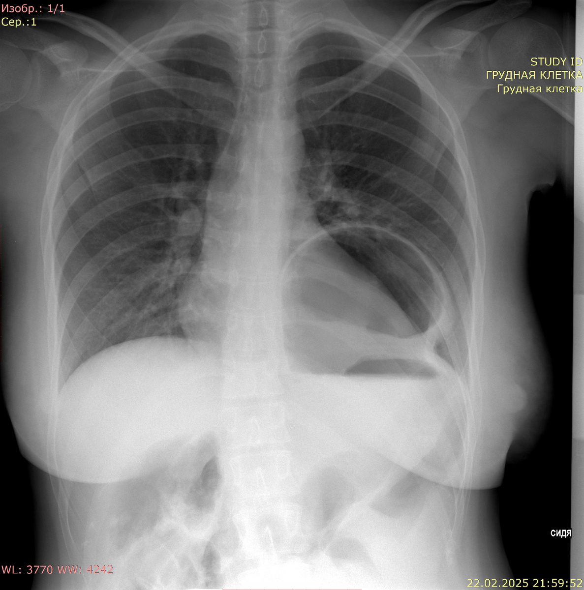
Рентгенография органов брюшной полости в прямой проекции:
В проекции грудной полости слева под куполом диафрагмы визуализируется желудок с уровнем "жидкость-газ", диаметр 10 см. Под куполами диафрагмы свободный газ не определяется.
Заключение: данных за свободный газ не получено. Картина может соответствовать диафрагмальной грыже (содержимое - желудок).
-2

Рентгенография органов брюшной полости в прямой проекции:

В проекции грудной полости слева под куполом диафрагмы визуализируется желудок с уровнем "жидкость-газ", диаметр 10 см. Под куполами диафрагмы свободный газ не определяется.
Заключение: данных за свободный газ не получено. Картина может соответствовать диафрагмальной грыже (содержимое - желудок).