Добавить в корзинуПозвонить
Найти в Дзене
MY ORT

Исправляю прикус подростку за 16 месяцев

Что делать, если у ребенка выступают клыки или зубы растут неровно? У подростков часто возникает данная проблема и ее на самом деле необходимо решать, поскольку в будущем это может повлиять на здоровье зубочелюстной системы. Сегодня, я, врач-ортодонт, гнатолог расскажу историю 14-летней пациентки, с которой мы всего за 16 месяцев обрели красивую улыбку благодаря современным брекет-системам. Ко мне, как к врачу-ортодонту, гнатологу обратилась девушка 14 лет с жалобой на выступающие клыки. При осмотре полости рта мне стало понятно, что есть нарушение положения клыков, и чтобы это исправить, необходимо было провести ортодонтическое лечение для коррекции прикуса. Клыки не только создавали эстетический дискомфорт, но и могли привести к проблемам с прикусом в будущем. После осмотра полости рта и снимка КТ, я предложила установить самолигирующую брекет-систему Damon Q2. В данном клиническом случае она обеспечит комфортное и регулируемое перемещение зубов. Отмечу, что в подростковом возрасте
Оглавление

Что делать, если у ребенка выступают клыки или зубы растут неровно? У подростков часто возникает данная проблема и ее на самом деле необходимо решать, поскольку в будущем это может повлиять на здоровье зубочелюстной системы.

Сегодня, я, врач-ортодонт, гнатолог расскажу историю 14-летней пациентки, с которой мы всего за 16 месяцев обрели красивую улыбку благодаря современным брекет-системам.

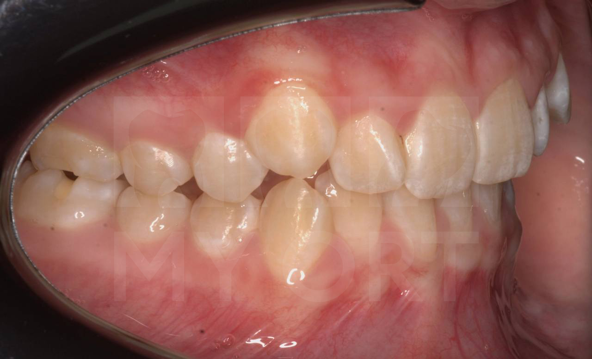
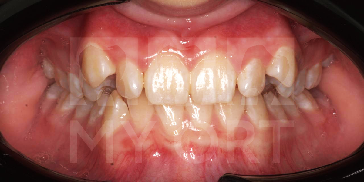
Улыбка пациентки ДО

Улыбка пациентки ДО ортодонтического лечения
Улыбка пациентки ДО ортодонтического лечения

Жалобы пациентки и первичная консультация

Ко мне, как к врачу-ортодонту, гнатологу обратилась девушка 14 лет с жалобой на выступающие клыки. При осмотре полости рта мне стало понятно, что есть нарушение положения клыков, и чтобы это исправить, необходимо было провести ортодонтическое лечение для коррекции прикуса. Клыки не только создавали эстетический дискомфорт, но и могли привести к проблемам с прикусом в будущем.

Какое лечение я выбрала?

После осмотра полости рта и снимка КТ, я предложила установить самолигирующую брекет-систему Damon Q2. В данном клиническом случае она обеспечит комфортное и регулируемое перемещение зубов. Отмечу, что в подростковом возрасте костные структуры ещё податливы и это дает возможность эффективно использовать брекет-систему для исправления аномалий.

Почему я выбрала именно брекет-систему Damon Q2

1. В первую очередь это комфорт для пациента. Damon Q2 уменьшает трение, и делает лечение более комфортным.

2. Эта система позволяет достичь результатов быстрее.

3. Брекеты Damon Q2 компактного размера и минималистичны в дизайне, а это важно для подростков.

Как проходило лечение

Лечение я проводила в несколько этапов:

1. Установила брекет-систему на обе челюсти.

2. Использовала эластические тяги для коррекции соотношения зубных рядов.

3. Использовала накладки для улучшения перекрытия в переднем отделе.

Пациентка посещала меня раз в 4-6 недель для активации брекет-системы.

Результаты лечения

В результате проведённого ортодонтического лечения мы добились правильного соотношения между зубами верхней и нижней челюсти справа и слева, хорошего перекрытия в передней части, исчезновения выступающих клыков.

Лечение заняло у нас 16 месяцев. Пациентка не нарушала моих рекомендаций, приходила на все активации без пропуска, что, конечно, повлияло на успешное лечение.

Улыбка пациентки ДО/ПОСЛЕ

Пациентка осталась довольна результатом, а эстетика улыбки и функциональность прикуса стала намного лучше.

-4

Заключение

Я и моя пациентка довольны результатом, ее запрос был выполнен. Девушка ушла домой с красивой и здоровой улыбкой.

Мои пожелания: Будьте здоровы и берегите свои зубы!

Пишите в комментарии, как проходило ортодонтическое лечение в вашем случае, какие были результаты, довольны ли вы ими. Отправляйте свои истории, будет интересно почитать.

Автор статьи: Тюленёва (Соколова) Александра Викторовна - врач-ортодонт, гнатолог.