Добавить в корзинуПозвонить
Найти в Дзене
Radiology Hub

Разбор случая #14

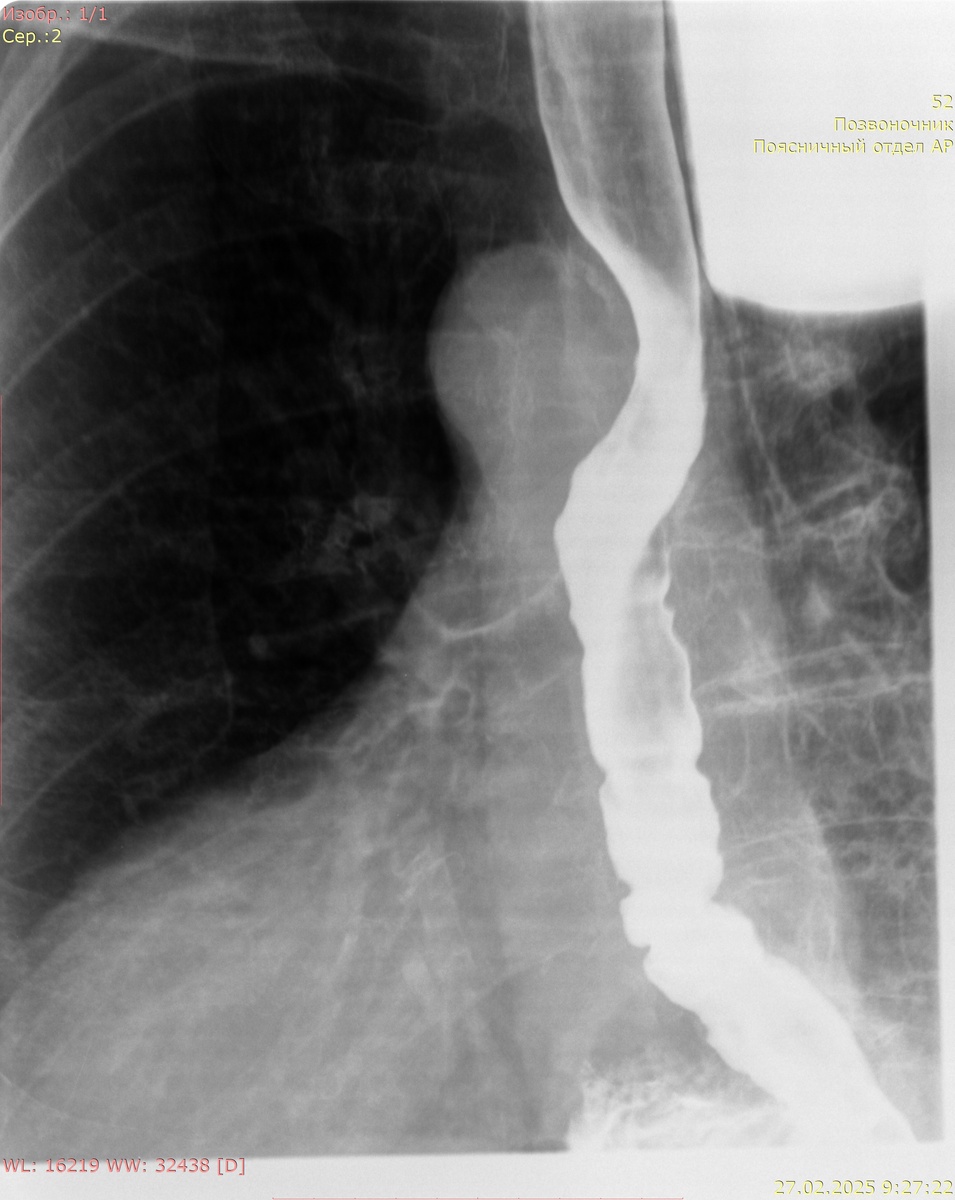
Рентгенография желудка с сульфатом Ва:
Кардиальный жом функционирует. Желудок не деформирован, объем обычный, смещаемость не нарушена. Контуры желудка ровные, отвесные, участков деформации не выявлено. Рельеф слизистой не изменен, складки не утолщены. Контраст своевременно поступает в ДПК. В положении стоя и лежа без натуживания определяется пролабирование кардиальных складок выше диафрагмы размерами 99 мм х 80 мм.
Заключение: картина фиксированной грыжи пищеводного отверстия диафрагмы 4 ст.
-2
-3
-4
-5

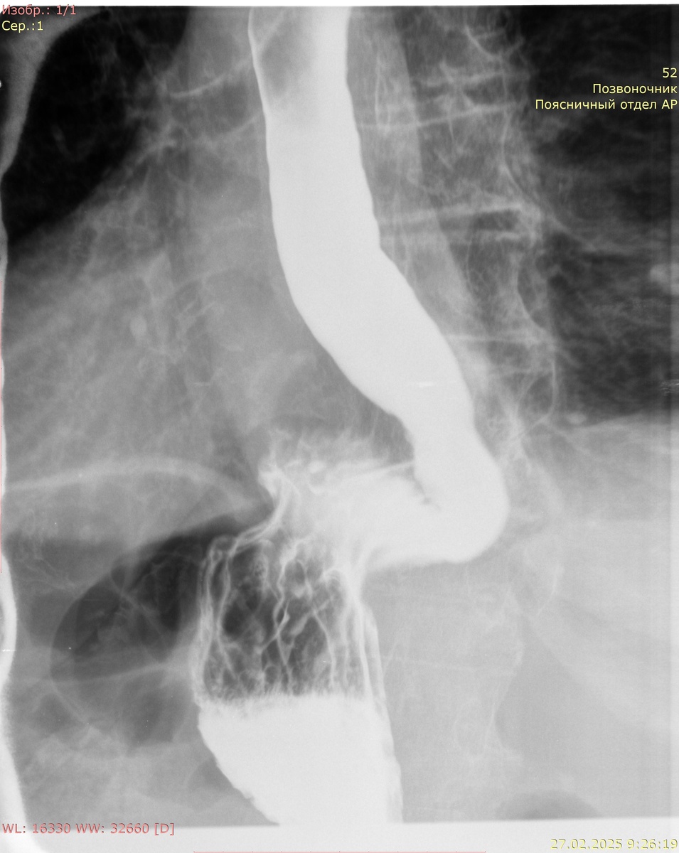
Рентгенография желудка с сульфатом Ва:

Кардиальный жом функционирует. Желудок не деформирован, объем обычный, смещаемость не нарушена. Контуры желудка ровные, отвесные, участков деформации не выявлено. Рельеф слизистой не изменен, складки не утолщены. Контраст своевременно поступает в ДПК. В положении стоя и лежа без натуживания определяется пролабирование кардиальных складок выше диафрагмы размерами 99 мм х 80 мм.

Заключение: картина фиксированной грыжи пищеводного отверстия диафрагмы 4 ст.