Найти в Дзене
Самара Онлайн 24

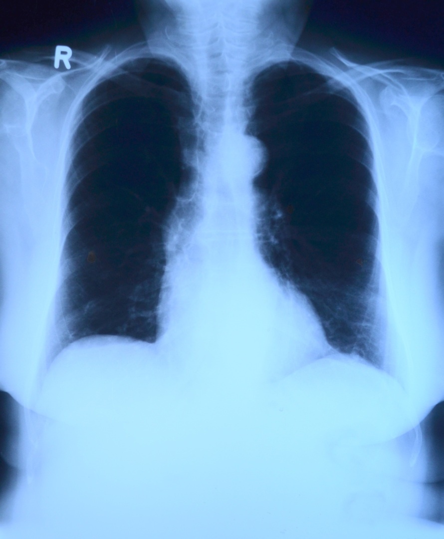
Не хуже профессиональных рентгенологов: ИИ обучили анализу снимков легких

В последние годы сфера медицинской диагностики переживает поистине революционные изменения, которые связаны со всё более широким применением систем искусственного интеллекта (ИИ), в частности, при анализе результатов рентгеноскопии лёгких. Алгоритмы, которые способны не только определять патологии, но и обосновывать такие решения - важный шаг на пути к тому, чтобы врачи всё больше доверяли ИИ. Один из подобных алгоритмов носит название ItpCtrl-AI. Целью его создания стало не только обнаружение отклонений от нормы на рентгеновских снимках, но и выдавать объяснения мотивировки выводов. Такое стало возможным благодаря использованию так называемого теплового экрана внимания. Он демонстрирует те зоны рентгеновского снимка, которые нуждаются в более тщательном изучении. Таким образом, ИИ учитывает индивидуальную специфику каждого снимка, что, в свою очередь, способствует повышению точности диагностики. В прозрачности работы есть не только технические, но и юридические аспекты. Врачи и их пац
   Фото с сайта pxhere.com
Фото с сайта pxhere.com

В последние годы сфера медицинской диагностики переживает поистине революционные изменения, которые связаны со всё более широким применением систем искусственного интеллекта (ИИ), в частности, при анализе результатов рентгеноскопии лёгких. Алгоритмы, которые способны не только определять патологии, но и обосновывать такие решения - важный шаг на пути к тому, чтобы врачи всё больше доверяли ИИ.

Один из подобных алгоритмов носит название ItpCtrl-AI. Целью его создания стало не только обнаружение отклонений от нормы на рентгеновских снимках, но и выдавать объяснения мотивировки выводов. Такое стало возможным благодаря использованию так называемого теплового экрана внимания. Он демонстрирует те зоны рентгеновского снимка, которые нуждаются в более тщательном изучении. Таким образом, ИИ учитывает индивидуальную специфику каждого снимка, что, в свою очередь, способствует повышению точности диагностики.

В прозрачности работы есть не только технические, но и юридические аспекты. Врачи и их пациенты должны знать, на основе чего ИИ базирует свои решения, что повысит степень доверия к нему. Сейчас учёные адаптируют ItpCtrl-AI для проведения анализа сложных изображений, использующихся в медицинской сфере, например, трёхмерных КТ-снимков.

Такие инструменты могут быть включены в программы ОМС. При использовании максимальной точности таких систем ИИ вероятность пропуска патологии составляет всего 0,02%, что является весьма многообещающим показателем для диагностики, сообщает Planet Today.