Добавить в корзинуПозвонить
Найти в Дзене

У ребенка недостает зубов или, наоборот, их больше нормы – почему так? Что делать родителям

Природа совершенна и продумала даже мелочи. Каждому человеку дано 2 комплекта зубов: 20 молочных и 28-32 постоянных. Как шутят стоматологи, существует и третий комплект, но за него нужно заплатить. У некоторых детей количество зубов и в постоянном, и молочном прикусе отличается от среднестатистического количества, и тогда говорят о появлении сверхкомплектных зубах или первичной адентии. По каким причинам могут появляться лишние зубы или отсутствовать положенное количество зубов? Зубы, дублирующие друг друга, в стоматологии называют сверхкомплектными. Причем лишними могут быть как молочные, так и постоянные. Но если обратиться к статистическим данным, то чаще это именно постоянные зубы. Также данные показывают, что из всего числа аномалий отдельных зубов на долю сверхкомплектных приходится около 3-5% случаев. Чаще «лишними» оказываются резцы и клыки. Реже в число «лишних» входят зубы жевательной группы постоянного прикуса – премоляры. Причины появления сверхкомплектных зубов пока изуча
Оглавление

Природа совершенна и продумала даже мелочи. Каждому человеку дано 2 комплекта зубов: 20 молочных и 28-32 постоянных. Как шутят стоматологи, существует и третий комплект, но за него нужно заплатить.

У некоторых детей количество зубов и в постоянном, и молочном прикусе отличается от среднестатистического количества, и тогда говорят о появлении сверхкомплектных зубах или первичной адентии. По каким причинам могут появляться лишние зубы или отсутствовать положенное количество зубов?

Лишние зубы у детей

Зубы, дублирующие друг друга, в стоматологии называют сверхкомплектными. Причем лишними могут быть как молочные, так и постоянные. Но если обратиться к статистическим данным, то чаще это именно постоянные зубы. Также данные показывают, что из всего числа аномалий отдельных зубов на долю сверхкомплектных приходится около 3-5% случаев.

Чаще «лишними» оказываются резцы и клыки. Реже в число «лишних» входят зубы жевательной группы постоянного прикуса – премоляры.

Причины появления сверхкомплектных зубов пока изучаются, существуют лишь теории и научные исследования, но делать конкретные заявления пока рано. Одна из теорий говорит о том, что появление лишних зубов связано с эволюционными особенностями развития человека.

Челюсти наших предков были более массивными, с большим количеством зубов – от 32-х. С изменением рациона питания, внедрением кулинарной обработки пищи и столовых приборов количество зубов сократилось – для пережевывания пищи и поддержания жизни достаточно и существующих. И сегодня сверхкомплектные зубы считаются атавизмом.

-2

К слову, зубы мудрости – атавизм, и их появление совершенно необязательно. Отсутствие или появление зубов мудрости считается вариантом нормы. До сих в практике стоматологов встречаются пациенты не только с зубами мудрости, которые называют «восьмерками», но даже «девятками».

Назвать таких пациентов везунчиками – сложно, ведь прорезывания даже «восьмых зубов» в 98% сложное – для них нет места, что уж говорить о «девятках».

Изучая феномен появления сверхкомплектных зубов, врачи отметили, что они могут быть полноценными: иметь коронку, корень, правильное анатомическое строение. Или же это могут быть зубоподобные образования с отсутствием зон роста, корней с неправильной коронкой и даже аномалиями развития.

Сверхкомплектные зубы могут буквально срастаться с зубами основного комплекта. При этом они могут иметь особенности:

· неполноценные – выглядят как нарост;

· полноценные: зуб имеет свою пульповую камеру, зоны роста, отмечается участок, который позже станет корнем зуба.

Расположение сверхкомплектных зубов может быть разнообразным, но чаще они оказываются дистопированными, то есть прорезываются вне зубного ряда, провоцируя развитие патологий прикуса – челюсти неправильно смыкаются, что влияет на работу всех органов и систем, а также внешний вид малыша.

-3

Существует немало задокументированных клинических случаев появления сверхкомплектных зубов, причем они все необычны.

Например, у молодого человека из Саудовской Аравии сверхкомлектный зуб прорезался в полости носа. Придя на прием к ЛОР-у, пациент жаловался на упорные кровотечения, заложенность носа и нарушение дыхания. Только после тщательного эндоскопического исследования врачи смогли найти причину таких неприятных симптомов.

У мальчика из Индии стоматологи-хирурги удалили более 200 зубоподобных образований, которые не только имели разные размеры, но и стадии развития. Диагностирование столь огромного числа сверхкомплектных зубов произошло случайным образом. К слову, именно в Индии отмечается наибольшее число столь необычных клинических случаев – несколькими годами позднее, у подростка 15 лет было удалено чуть больше 100 зубоподобных образований.

Тактика в отношении «лишних» зубов

Тактика лечения в отношении сверхкомплектных зубов практически всегда едина и радикальна – это удаление. Но перед ним следует длительный этап исследований маленького пациента. Причем в этом исследовании могут принимать участие сразу несколько врачей стоматологической направленности.

-4

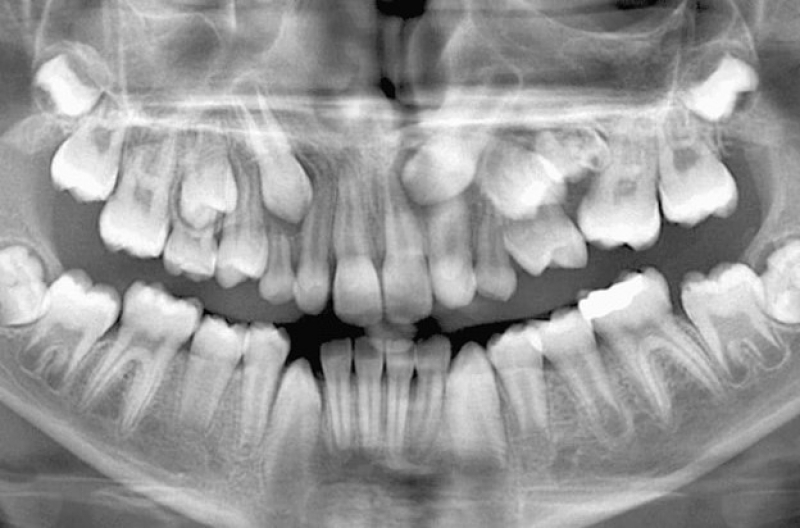
Главный метод исследования – рентгенография, КТ, которые позволяют изучать лишний зуб/ы. Главными критериями оценки будут:

· коронка зуба: ее форма, степень развития, отдельно стоящая или спаянная с другим зачатком зуба;

· корень. Напомним: молочные и постоянные зубы прорезываются в полости рта без корней, но на снимках можно заметить зону роста, что указывает на то, что зуб сможет стать полноценным и в полной мере выполнять все свои функции. На нём стоматолог может понять, какой зуб является комплектным, а какой лишним;

· степень развития сверхкомплектного зуба;

· правильность положения зачатка в челюсти.

Иногда «лишние» зубы полноценны и полностью выполняют предназначенные функции. Зуб может быть ретенированным, то есть выходить за пределы зубного ряда, что в последующем может стать причиной других изменений челюстно-лицевой области. Таким детям природа подарила 2-3 шанса сохранить один или несколько зубов.

После оценки состояния зуба и анализа данных исследований тактика лечения и необходимый объем хирургического вмешательства определяется индивидуально. Доктора решают, какой именно зуб подлежит удалению. Обычно это неполноценный или занимающий неправильное положение, который в прогнозируемом будущем может спровоцировать нежелательные последствия.

-5

Иногда именно сверхкомплектные зубы оставляют, так как они оказываются более полноценными и перспективными для дальнейшего состояния полости рта.

Для решения судьбы сверхкомплектных зубов необходимо длительное и тщательное обследование ребенка: рентгенография (прицельный снимок), ортопантомомграмма (панорамный снимок – для оценки состояния зачатков и их соотношения), стоматологические тесты, консультации нескольких врачей стоматологической специальности.

Родители должны понимать, что детям со сверхкомплектными зубами необходимо пристальное внимание со стороны стоматологов. Таких малышей ставят на диспансерный учет и проводят ряд профилактических процедур, направленных на профилактику патологий прикуса и других стоматологических заболеваний.

Если зубы отсутствуют

Кроме сверхкомплектных зубов у детей может регистрироваться и их недостаток. В стоматологии такое состояние называется первичной адентией. Родители могут ждать сколько угодно прорезывания зубика, но этого не происходит. Если говорить о такой картине в постоянном прикусе, то молочный зуб может остаться на своем месте и даже не шататься.

Нередко родители крайне удивлены, когда стоматолог не обнаруживает в полости рта взрослого ребенка постоянных зубов, а на их месте видит молочный или даже группу молочных зубов. Не профессионалу сложно различить постоянные и временные зубы.

Существует принципиальная разница между отсутствием зачатка зуба/ов и их отсутствием в полости рта. Иногда бывает, что существующий зуб по каким-либо причинам прорезаться не может.

-6

Чаще всего причиной нарушения прорезывания зубов является их неправильное расположение в толще челюсти, так же если зачаток является ретинированным и если он имеет повреждения и является неполноценным.

Ретинированные зубы можно простимулировать к прорезыванию. Стоматологические манипуляции позволяют помочь зубу занять правильное положение с последующим прорезыванием зубов.

Еще одной причиной отсутствия одного из зубов будет повреждение зачатка зуба. Причин может быть несколько:

· осложнения кариеса – периодонтит, когда в процесс воспаления вовлекается зачаток;

· повреждение зачатка в ходе эндодонтического лечения.

В сменном прикусе осложнения кариеса в виде пульпитов и периодонтитов крайне опасны и становятся причиной многочисленных осложнений, так как осложнения кариеса являются источником инфекции для организма малыша. В ходе научных исследований было доказано, что кариес и его осложнения могут провоцировать острые или обострения хронических болезней внутренних органов.

Иногда отсутствие зачатков постоянных зубов носит врожденный характер, в таком случае отсутствует сразу группа зубов. Данные показывают, что чаще это премоляры. Если говорить о причинах такого явления, их много, но для формирования такой особенности необходимо их сочетание:

-7

· наследственная предрасположенность;

· патологии беременности и осложнения, когда на процесс формирования и дифференцировки зачатков зубов действует какой-либо негативный фактор. Напомним: закладка молочных зубов происходит на 5-7 неделе беременности, постоянных – во втором триместре беременности;

· недостаток витамина D при беременности у матери. В ходе научных исследований было доказано, что дефицит этого витамина негативно отражается на состоянии зачатков зубов у плода и их последующем развитии;

· пороки и аномалии развития челюстно-лицевой области. Например, врожденная расщелина губы и неба.

За последние несколько десятков лет увеличилось число случаев появления сверхкомплектных зубов или же отсутствия зубов основного комплекта, причем как в молочном, так и постоянном прикусе. Несмотря на накопленные знания, ученые пока не могут сказать точно, по какой причине это происходит, пока существуют лишь теории.

В любом случае, независимо от причины, современные возможности медицины и стоматологии в частности позволяют решить любые задачи и восстановить нормальную работу всей челюстно-лицевой области.