Добавить в корзинуПозвонить
Найти в Дзене

Брекеты и виниры: когда и зачем сочетают ортопедию с ортодонтией

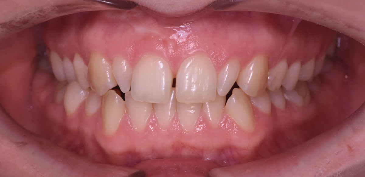
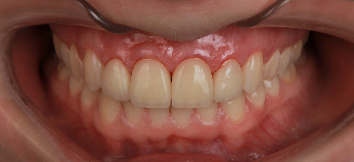
Часто к стоматологу обращаются с запросом сделать улыбку красивой. Обычно в понимании пациентов красивая улыбка — это ровные светлые зубы. Добиться такого результата возможно с помощью комбинирования двух методик: ортодонтического лечения на брекет-системе или элайнерах и последующей установки ортопедических реставраций виниров. В этой статье рассмотрим, почему установка виниров без предварительного ортодонтического лечения не всегда приносит ожидаемый пациентом результат, как правильно комбинировать эти методики и какие плюсы и минусы есть у такого комплексного подхода к эстетике улыбки. Рассказывает ведущий стоматолог-ортопед Екатерина Александрова. Для начала познакомимся с двумя методиками: Рассмотрим три причины в пользу установки виниров после ношения брекетов. Частый запрос на консультации стоматолога-ортопеда — красивая улыбка. Однако если у пациента имеется какая-либо патология прикуса, например, есть аномалии положения зубов или скученность зубного ряда, то даже после установ
Оглавление

Часто к стоматологу обращаются с запросом сделать улыбку красивой. Обычно в понимании пациентов красивая улыбка — это ровные светлые зубы. Добиться такого результата возможно с помощью комбинирования двух методик: ортодонтического лечения на брекет-системе или элайнерах и последующей установки ортопедических реставраций виниров. В этой статье рассмотрим, почему установка виниров без предварительного ортодонтического лечения не всегда приносит ожидаемый пациентом результат, как правильно комбинировать эти методики и какие плюсы и минусы есть у такого комплексного подхода к эстетике улыбки. Рассказывает ведущий стоматолог-ортопед Екатерина Александрова.

Для чего нужны брекеты и виниры

Для начала познакомимся с двумя методиками:

  • ортодонтическое лечение на брекет-системе или элайнерах нужно для коррекции различных аномалий прикуса или положения отдельных зубов;
  • ортопедическая реставрация винирами позволяет визуально изменить форму, размер и цвет зуба, закрыть сколы и трещины или незначительные промежутки между зубами.

Зачем сочетать брекеты и виниры

Рассмотрим три причины в пользу установки виниров после ношения брекетов.

Гармоничная улыбка

Частый запрос на консультации стоматолога-ортопеда — красивая улыбка. Однако если у пациента имеется какая-либо патология прикуса, например, есть аномалии положения зубов или скученность зубного ряда, то даже после установки виниров не удастся получить сильное преображение улыбки.

Дело в том, что виниры позволяют изменить цвет и немного скорректировать форму зуба. Но изменить позицию зубов с их помощью невозможно: это достигается только с помощью ортодонтического лечения. То есть ортодонтическое лечение перед установкой виниров необходимо для перемещения зубов, а виниры нужны для реставрации их формы и цвета.

Более точная ортопедическая коррекция

У пациентов, которые какое-то время живут с неправильным прикусом, появляется ещё одна проблема: зубы начинают стираться неравномерно. Часть зуба, которая получает большую нагрузку, стирается сильнее, а в другой части зуб может быть совсем не стёрт. Но из-за аномалий прикуса этого не видно.

После того, как проводится ортодонтическое лечение, позиция зубов меняется. Становятся очевидны все неровности и неравномерные дефекты на зубах.

Но стоматолог-ортодонт не может добавить пациенту отсутствующую ткань: это делают стоматолог-терапевт и стоматолог-ортопед. При этом терапевтические реставрации, то есть композиты, тоже могут быть эстетичными и естественными, но они, как правило, носят временный характер. Пломбировочный материал, из которого терапевт создаёт реставрации, механически менее прочный, чем керамика, и быстрее стирается.

Минимальное препарирование

Если у пациента есть небольшая скученность или какие-то аномалии положения отдельных зубов, стоматолог-ортопед может только за счёт ортопедии и правильного препарирования зубов создать более симметричный вариант улыбки. Но тогда доктору всегда приходится убирать намного больше собственных тканей зуба пациента.

В том случае, если проводится ортодонтическая подготовка, ортопед может минимально препарировать зубы и сохранять максимальное количество своих тканей. Без ортодонтической подготовки это, как правило, невозможно.

В чём сложность комбинирования методик

У комбинированного лечения нет недостатков, но есть определённые нюансы.

Комплексный план лечения

При сочетании брекетов и виниров план лечения пациента составляют сразу несколько специалистов: очень плотно работают ортопед и ортодонт. Стоматолог-ортопед планирует виниры или другие керамические реставрации, уже примерно понимая, как будет выглядеть конечный результат, иногда даже проводится предварительная техническая моделировка. Стоматолог-ортодонт планирует перемещения зубов под будущий макет работы, подготовленный ортопедом. То есть ортодонт адаптирует прикус пациента уже к будущему протезированию.

Необходимость завершения ортодонтического этапа

Соответственно, если пациент по каким-то причинам не может завершить ортодонтическое лечение, то и правильно установить виниры не получится. Ортопед не сможет закончить работу, так как установка реставраций планировалась под другой результат, который не был достигнут.

Окончательный эффект красивой ровной улыбки невозможен без кооперации врачей-стоматологов и тщательного соблюдения всех рекомендаций пациентом.

Как правильно совмещать методики

В данном случае лечение идёт по более сложному и длительному протоколу, потому что необходимо решение большего количества задач. Сначала проводится комплексное планирование лечения ортопедом и ортодонтом. Необходима тщательная диагностика — КТ и фотопротокол. Ортопед может планировать лечение, если у пациента нет суставной симптоматики, не нужно менять высоту прикуса и системно перемещать кости челюстей, то есть предстоит работать только в эстетической зоне.

Врач-ортопед планирует свою работу достаточно близко к конечному результату, но не на 100% точно, потому что предстоят ортодонтические перемещения зубов. Оптимальный с точки зрения точности вариант — это планирование лечения на элайнерах. Это удобнее, потому что на элайнерах можно спланировать setup — визуальный план ортодонтического лечения, позволяющий запланировать все перемещения зубов.

Чем точнее план, тем более точно ортопед понимает, что он получит на выходе ортодонтического лечения. Это позволяет ему оценить, сколько места нужно оставить для препарирования, и давать ортодонту указания по перемещению зубов вплоть до миллиметров. Это важно для того, чтобы максимально сохранить ткани зуба.

Насколько сильное препарирование потребуется перед установкой виниров — это очень индивидуальный вопрос. Бывают зубы с ярко выраженной анатомией, имеющие более выпуклые части: тогда приходится препарировать чуть больше. Если зуб имеет плохо выраженную анатомическую форму, то есть он более плоский, то препарирование ткани зуба минимально. Ортопед всегда старается сделать процедуру минимально инвазивной, и ортодонтическая коррекция только помогает ему в этом.

Ортопед предлагает ортодонтическую коррекцию: что делать

Когда ортопед предлагает ортодонтическую коррекцию перед установкой реставраций, это абсолютно нормально. Точно так же нормально откладывать лечение восстановление эстетики винирами.

На самом деле это говорит о качественном комплексном подходе к лечению, при котором врач-ортопед пытается создать лучшие условия для протезирования, чтобы получить для пациента максимально возможный результат.

“Пациенты очень часто обращаются к нам с запросом эстетической коррекции и желанием быстро поправить улыбку. К сожалению, это далеко не всегда получается, потому что невозможно сделать красивую качественную работу на неподходящую клиническую ситуацию. В таком случае возможны два варианта: либо мы получим не тот результат, который пациент хотел бы в итоге видеть, либо мы сделаем это инвазивно, то есть будет сильное вторжение в ткани зуба. Поэтому комплексное лечение и сочетание ортодонтии с ортопедией — достаточно частая в клинической практике ситуация, позволяющая получить максимально предсказуемый, эстетичный и долговечный результат”, — ведущий стоматолог-ортопед Екатерина Александрова.