Добавить в корзинуПозвонить
Найти в Дзене
FROGGYMOUTH

КЛАСС III: Исправление переднего перекрестного прикуса у ребенка

Для устранения проблемы было проведено трёхмерное расширение верхней челюсти с использованием ортодонтического устройства. В дальнейшем, в связи с некорректным положением верхних клыков, потребовалось продолжить расширение. Для адаптации нижней челюсти к расширенной верхней челюсти было применено миофункциональное устройство FroggyMouth. Состояние пациентки значительно улучшилось, и теперь её дыхание через нос кажется более свободным. Прогресс в лечении можно оценить, просто наблюдая за изменениями в лице пациентки, даже если её глаза закрыты. Учитывая молодой возраст пациентки, целесообразно проследить динамику её состояния в течение нескольких лет. Заказать аппарат FroggyMouth можно на сайте: www.froggymouth.ru Наши телефоны: +7 (968) 863-1240
+7 (968) 921-4543 Электронная почта: zakaz@ortho-flex.ru
Клинический случай Доктора Бен Юнес-Узан, Франция.
Клинический случай Доктора Бен Юнес-Узан, Франция.

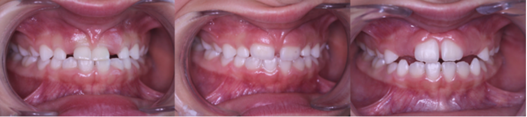
ЭТО КЛИНИЧЕСКИЙ СЛУЧАЙ III КЛАССА (ПЕРЕДНИЙ ПЕРЕКРЕСТНЫЙ ПРИКУС).

Для устранения проблемы было проведено трёхмерное расширение верхней челюсти с использованием ортодонтического устройства.

В дальнейшем, в связи с некорректным положением верхних клыков, потребовалось продолжить расширение.

Для адаптации нижней челюсти к расширенной верхней челюсти было применено миофункциональное устройство FroggyMouth.

-2

Состояние пациентки значительно улучшилось, и теперь её дыхание через нос кажется более свободным.

Прогресс в лечении можно оценить, просто наблюдая за изменениями в лице пациентки, даже если её глаза закрыты.

Учитывая молодой возраст пациентки, целесообразно проследить динамику её состояния в течение нескольких лет.

-3

Заказать аппарат FroggyMouth можно на сайте: www.froggymouth.ru

Наши телефоны: +7 (968) 863-1240
+7 (968) 921-4543

Электронная почта: zakaz@ortho-flex.ru