Добавить в корзинуПозвонить
Найти в Дзене
FROGGYMOUTH

Перекрестный прикус у ребенка и миофункциональное устройство FroggyMouth

Улучшение поперечной окклюзии у пациента после ношения только миофункционального аппарата FroggyMouth для миофункциональной реабилитации. По прошествии шести месяцев окклюзия нормализуется, что позволяет добиться результатов без использования съемных и несъемных ортодонтических аппаратов. Заказать аппарат FroggyMouth можно на сайте: www.froggymouth.ru Наши телефоны: +7 (968) 863-1240
+7 (968) 921-4543 Электронная почта: zakaz@ortho-flex.ru

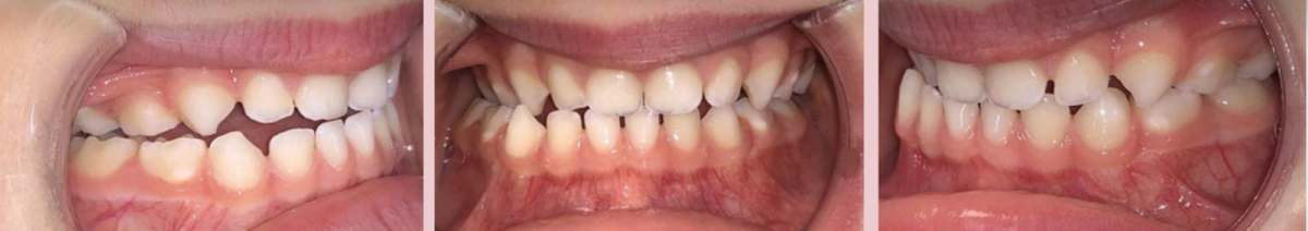
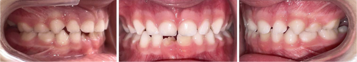
Клинический случай с использованием только FroggyMouth

Клинический случай Доктора Самама (Dr. Samama), Франция.
Клинический случай Доктора Самама (Dr. Samama), Франция.

Улучшение поперечной окклюзии у пациента после ношения только миофункционального аппарата FroggyMouth для миофункциональной реабилитации.

По прошествии шести месяцев окклюзия нормализуется, что позволяет добиться результатов без использования съемных и несъемных ортодонтических аппаратов.

После 6 месяцев ежедневного ношения FroggyMouth - 15 минут в день.
После 6 месяцев ежедневного ношения FroggyMouth - 15 минут в день.

Заказать аппарат FroggyMouth можно на сайте: www.froggymouth.ru

Наши телефоны: +7 (968) 863-1240
+7 (968) 921-4543

Электронная почта: zakaz@ortho-flex.ru