Найти в Дзене
Radiology Hub

Разбор случая #8

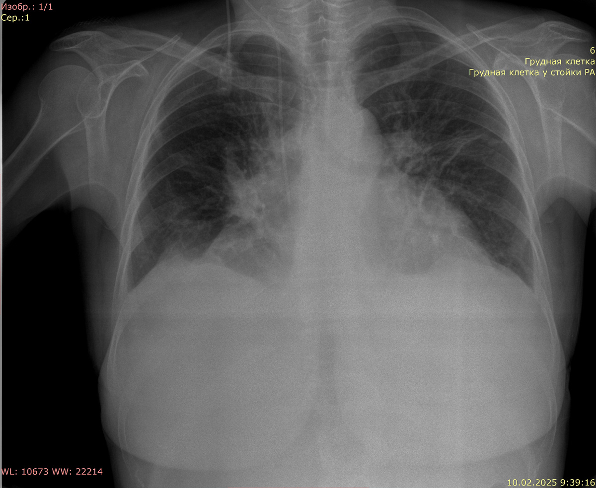
Рентгенография органов грудной клетки в прямой проекции:
Видимые дыхательные пути проходимы. Тень средостения не смещена, расширена за счет тени сердца. Корни легких четко не визуализируются. В среднем левом легочном поле линейный ателектаз. Справа в проекции корня облаковидное тяжистое образование. Синусы свободны. Костно-деструктивных изменений нет. Свободный газ не определяется. ЦВК справа, дистальный конец в проекции правого предсердия.
Заключение: плеврального выпота нет. Картина правосторонней прикорневой пневмонии (может быть прикорневым ателектазом - корреляция с клинико-лабораторными данными). ЦВК справа
После плевральной пункции
После плевральной пункции

Рентгенография органов грудной клетки в прямой проекции:

Видимые дыхательные пути проходимы. Тень средостения не смещена, расширена за счет тени сердца. Корни легких четко не визуализируются. В среднем левом легочном поле линейный ателектаз. Справа в проекции корня облаковидное тяжистое образование. Синусы свободны. Костно-деструктивных изменений нет. Свободный газ не определяется. ЦВК справа, дистальный конец в проекции правого предсердия.

Заключение: плеврального выпота нет. Картина правосторонней прикорневой пневмонии (может быть прикорневым ателектазом - корреляция с клинико-лабораторными данными). ЦВК справа