Найти в Дзене

Пластика правого мочеточника участком тонкой кишки

При онкологических заболеваниях органов малого таза часто проводится лучевая терапия, которая часто приводит к ряду необратимых осложнений со стороны соседних органов [1]. Поражение мочевого пузыря и мочеточников является наиболее опасным осложнением лучевой терапии. В облученных тканях возникают воспалительные реакции, изменения структуры сосудов, лейкоцитарная инфильтрация и др. Постлучевые изменения в стенке мочеточника приводят к его рубцеванию и образованию протяженной стриктуры [2]. В большинстве случаев это влечет за собой развитие гидроуретеронефроза, пиелонефрита и постепенную потерю функции почки. Единственным эффективным методом лечения этой сложной группы больных является хирургический, который заключается в реконструкции пораженного участка мочеточника жизнеспособными тканями из мочевыводящих путей или кишечника [3,4,8]. Вследствие протяженности постлучевых дефектов для их ликвидации чаще всего используется тонкокишечная пластика мочеточника. Женщина 41 года в плановом пор

При онкологических заболеваниях органов малого таза часто проводится лучевая терапия, которая часто приводит к ряду необратимых осложнений со стороны соседних органов [1]. Поражение мочевого пузыря и мочеточников является наиболее опасным осложнением лучевой терапии. В облученных тканях возникают воспалительные реакции, изменения структуры сосудов, лейкоцитарная инфильтрация и др. Постлучевые изменения в стенке мочеточника приводят к его рубцеванию и образованию протяженной стриктуры [2]. В большинстве случаев это влечет за собой развитие гидроуретеронефроза, пиелонефрита и постепенную потерю функции почки.

Единственным эффективным методом лечения этой сложной группы больных является хирургический, который заключается в реконструкции пораженного участка мочеточника жизнеспособными тканями из мочевыводящих путей или кишечника [3,4,8]. Вследствие протяженности постлучевых дефектов для их ликвидации чаще всего используется тонкокишечная пластика мочеточника.

Женщина 41 года в плановом порядке обратилась с жалобами на периодически возникающие тупые боли в поясничной области справа. Из анамнеза известно, что в 2014 году в одной из онкологических клиник г. Санкт- Петербурга больной была выполнена экстирпация матки с придатками, проведено два сеанса лучевой терапии по поводу рака шейки матки T2bN0M0.

Спустя несколько месяцев у пациентка появились боли. Однако нарушения уродинамики верхних мочевыводящих путей справа были выявлены только спустя 1,5 года.

Проведенное обследование выявило выраженное расширение чашечно-лоханочной системы правой почки и наличие протяженной стриктуры нижней трети правого мочеточника. На экскреторных урограммах функция левой почки удовлетворительная, справа выделение контраста резко замедлено, полостная система расширена.

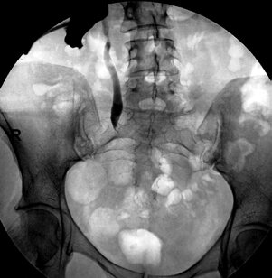
С целью декомпрессии верхних мочевыводящих путей и оценки функционального состояния почки первым этапом была выполнена перкутанная нефростомия справа. При антеградной пиелографии определялась протяженная стриктура тазового отдела правого мочеточника, который контрастировался до средней трети, контраст в мочевой пузырь не поступал (рис. 1).

Рис. 1. Антеградная пиелоуретерограмма справа больной В., 41 год. Протяженная стриктура нижней трети правого мочеточника
Рис. 1. Антеградная пиелоуретерограмма справа больной В., 41 год. Протяженная стриктура нижней трети правого мочеточника

Учитывая сохранную функцию правой почки, протяженность стриктуры, лучевую терапию в анамнезе и отсутствие заболеваний желудочно-кишечного тракта, было принято решение о проведении реконструктивнопластической операции - замещение правого мочеточника сегментом подвздошной кишки.

Операция проводилась с использованием комбинированной анестезии с интубацией трахеи и ИВЛ. В послеоперационном периоде проводилась пролонгированная эпидуральная анальгезия, что позволило обеспечить адекватное анестезиологическое пособие в раннем послеоперационном периоде и стимулировать перистальтику кишечника.

Выполнена нижнесрединная лапаротомия. Выделен правый мочеточник, расширенный в верхней трети. Его стенка и окружающие ткани в средней и нижней третях были инфильтрированы и рубцово изменены. Мочеточник отсечен в пределах здоровых тканей. Мобилизация петлей тонкого кишечника, слепой и восходящей ободочной кишки сопровождалась техническими трудностями вследствие ранее перенесенной операции. Отступя 15 см от илеоцекального угла резецирован сегмент подвздошной кишки длиной 35 см.

Взятый трансплантат повернут слева направо в изоперистальтическом положении. Излишки кишечных петель в центральной части сегмента резецированы по Ballivet. В бессосудистой зоне брыжейки восходящей ободочной кишки сделано отверстие, через которое трансплантат проведен в область правого бокового канала. На интубаторе и стенте выполнены анастомозы кишечного сегмента с мочеточником и мочевым пузырем «конец в бок». Интубатор вместе с катетером Фолея выведен по уретре наружу. Установлены дренажи в область анастомозов, рана ушита послойно. Осложнений после операции не наблюдалось, рана зажила первичным натяжением. По результатам контрольной антеградной пиелографии установлено, что проходимость мочевых путей не нарушена, контраст свободно проходит по кишечному трансплантату, попадая в мочевой пузырь (рис. 2).

Рис. 2. Антеградная пиелоуретерограмма справа той же больной через 14 дней после операции. Проходимость мочеточника и кишечного трансплантата хорошая
Рис. 2. Антеградная пиелоуретерограмма справа той же больной через 14 дней после операции. Проходимость мочеточника и кишечного трансплантата хорошая

Послеоперационный период протекал без осложнений. Нефростомический дренаж был удален на 14-е сутки после операции. При контрольном обследовании через 1,5 месяца после операции электролитных и метаболических нарушений выявлено не было, функция правой почки удовлетворительная (рис. 3).

По данным проведенного осмотра мочевого пузыря, артифициального устья и замещенного мочеточника выявлено, что соустье кишечного трансплантата и мочевого пузыря удовлетворительное, кишечный трансплантат проходим беспрепятственно до зоны анастомоза. Мочеточниковый стент удален через 1,5 месяца.

Последствия лучевой терапии часто приводят к протяженным дефектам мочеточников и как следствие к невозможности восстановления проходимости верхних мочевыводящих путей за счет использования неизмененных уротелиальных тканей. Подобные осложнения до сих пор часто приводят к выполнению органоуносящих операций или обрекает пациента на существование с постоянными мочевыми дренажами [2]. Реконструктивные операции с использованием аутотрансплантатов - это единственный способ, позволяющий сохранить функцию почки и улучшить качество жизни пациента.

Многолетний мировой опыт показал, что тонкая кишка по своим свойствам наиболее близка к мочеточнику и способна к активной эвакуаторной деятельности.


В силу своей сложности и высокого риска послеоперационных осложнений кишечная пластика мочеточника остается редкой операцией. В клиниках, имеющих большой опыт подобных оперативных вмешательств, ранние и поздние послеоперационные осложнения при интестинальной пластике мочеточника составляют не менее 8% [6,7].

Таким образом, при подобных хирургических вмешательствах необходимы комплексный диагностический подход для минимизации рисков осложнений, тщательное планирования объема и этапности хирургического вмешательства, высококвалифицированная работа хирургов.

Выводы:

Кишечное замещение мочеточника является длительной и сложной операцией, позволяющей восстановить проходимость поврежденных мочевыводящих путей, сохранить функцию почки и улучшить качество и продолжительность жизни пациента. Реконструктивно-восстановительные операции с использованием кишечных трансплантатов целесообразно производить только в специализированных многопрофильных лечебных учреждениях.

*Имеются противопоказания. Требуется консультация специалиста.