Найти в Дзене
vatolin_orthopro

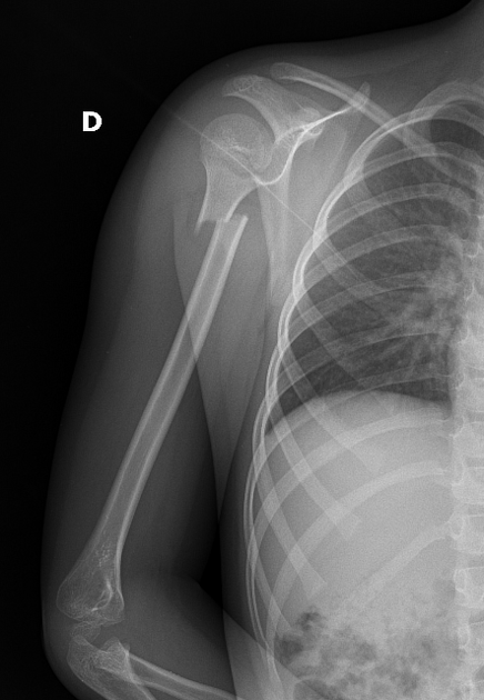
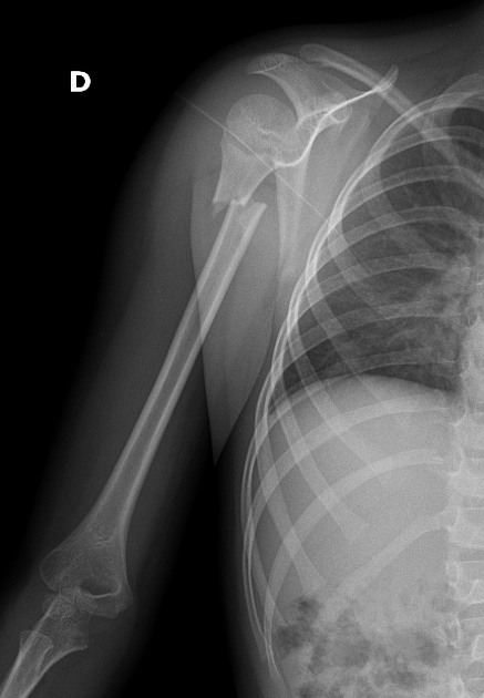
⚡Проксимальный перелом плечевой кости⚡

Данные Пациента Возраст: 6 лет Пол: Женский ❗❗Такие переломы достаточно редкие в данном возрасте ❗❗ Обычно переломы такого типа лечат консервативно. Переломы в проксимальной части плеча могут сочетаться с вывихом в плечевом суставе, особенно у детей. #ргснимок

Данные Пациента

Возраст: 6 лет

Пол: Женский

❗❗Такие переломы достаточно редкие в данном возрасте ❗❗

Обычно переломы такого типа лечат консервативно.

-2

Переломы в проксимальной части плеча могут сочетаться с вывихом в плечевом суставе, особенно у детей.

#ргснимок