Добавить в корзинуПозвонить
Найти в Дзене
Radiology Hub

Разбор случая #7

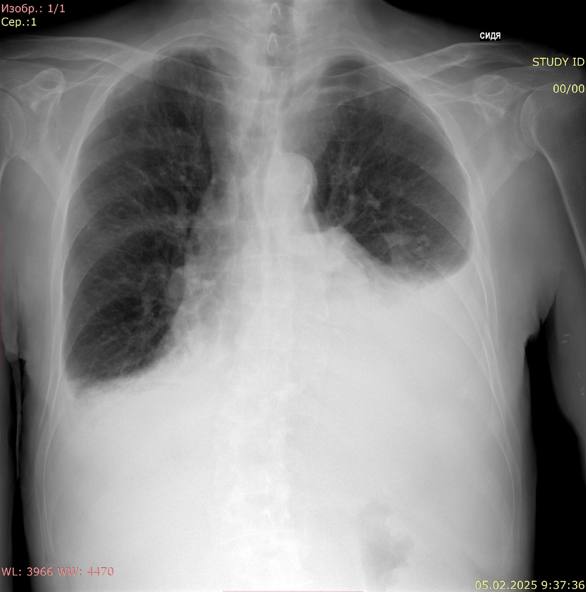
Рентгенография органов грудной клетки в прямой проекции, сидя Протокол:
Тень средостения не смещена, не расширена. Корни структурны, не расширены.  В легочных полях тени плеврального выпота (слева до 4-5 ребра, справа до 6-7 ребра). Свободного газа нет. Контуры диафрагмы четкие, ровные. Костно-деструктивных изменений не выявлено Заключение: Двусторонний плевральный выпот Рентгенография органов грудной клетки в прямой проекции:
Видимые дыхательные пути проходимы. Тень средостения не смещена, расширена. Корни легких четкие, структурные, не расширены. Очаговых и инфильтративных изменений в легких нет. Двусторонний минимальный (на уровне синусов) плевральный выпот. Слева в нижнем легочном поле аваскулярная зона до 35 мм. Костно-деструктивных изменений нет. 
Заключение: двусторонний минимальный плевральный выпот. Пневмоторакс слева.

Рентгенография органов грудной клетки в прямой проекции, сидя

Протокол:
Тень средостения не смещена, не расширена. Корни структурны, не расширены.  В легочных полях тени плеврального выпота (слева до 4-5 ребра, справа до 6-7 ребра). Свободного газа нет. Контуры диафрагмы четкие, ровные. Костно-деструктивных изменений не выявлено

Заключение: Двусторонний плевральный выпот

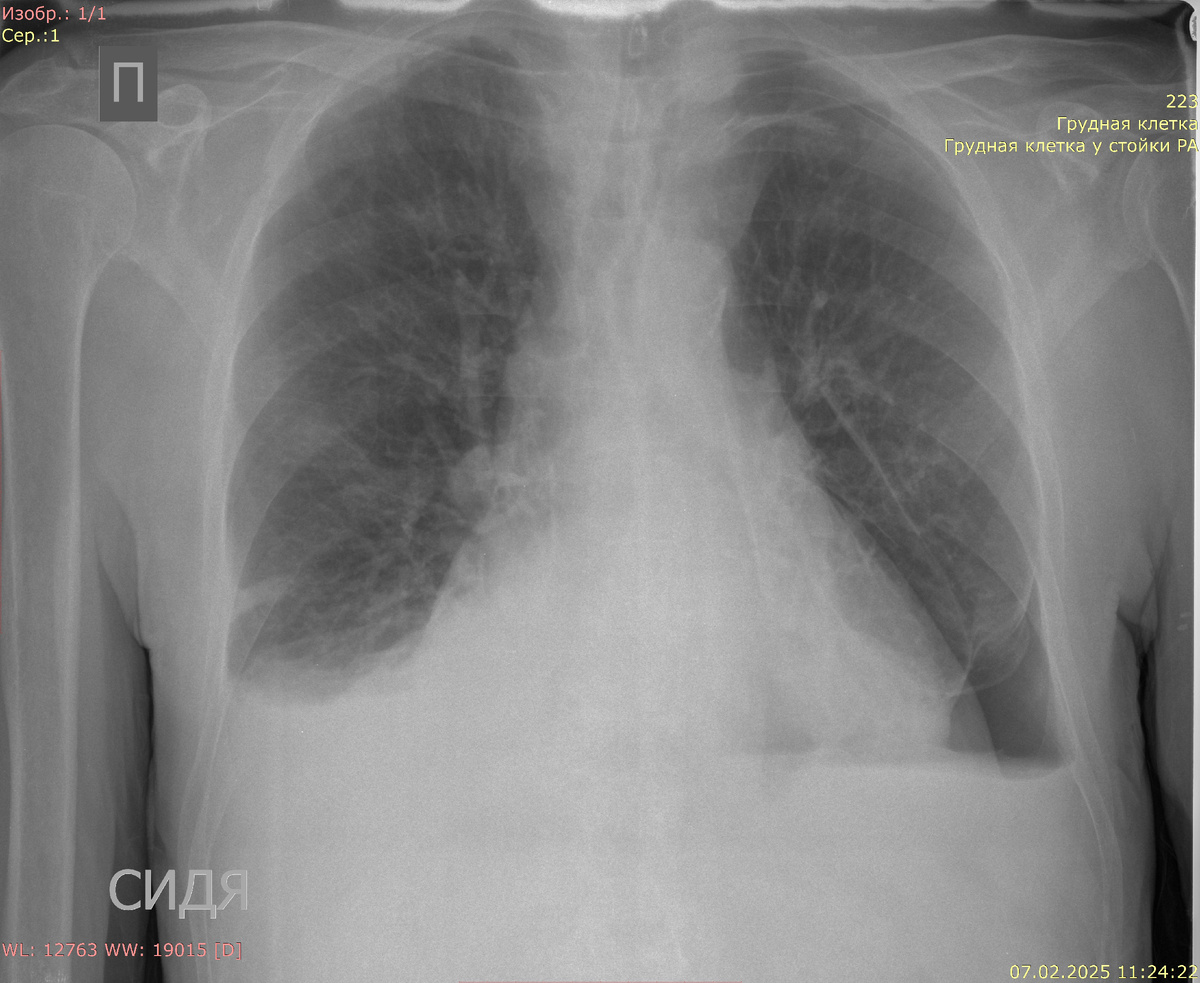
После лечения (плевральная пункция)

-2

Рентгенография органов грудной клетки в прямой проекции:

Видимые дыхательные пути проходимы. Тень средостения не смещена, расширена. Корни легких четкие, структурные, не расширены. Очаговых и инфильтративных изменений в легких нет. Двусторонний минимальный (на уровне синусов) плевральный выпот. Слева в нижнем легочном поле аваскулярная зона до 35 мм. Костно-деструктивных изменений нет. 

Заключение: двусторонний минимальный плевральный выпот. Пневмоторакс слева.