Найти в Дзене
Radiology Hub

Разбор случая #5

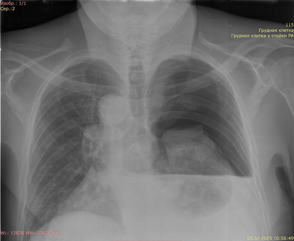
Рентгенография органов грудной клетки в прямой проекции:
Видимые дыхательные пути проходимы. Тень средостения смещена влево, не расширена. Корни легких четкие, структурные, не расширены. Правое легкое коллабировано на 2/3, аваскулярная зона справа до 100 мм. Горизонтальная гомогенная тень плеврального выпота справа до 3 м/р по среднеключичной линии. Усиление легочного рисунка в левом легком. Костно-деструктивных изменений нет. 
Заключение: правосторонний пневмоторакс. Правосторонний плевральный выпот

Рентгенография органов грудной клетки в прямой проекции:

Видимые дыхательные пути проходимы. Тень средостения смещена влево, не расширена. Корни легких четкие, структурные, не расширены. Правое легкое коллабировано на 2/3, аваскулярная зона справа до 100 мм. Горизонтальная гомогенная тень плеврального выпота справа до 3 м/р по среднеключичной линии. Усиление легочного рисунка в левом легком. Костно-деструктивных изменений нет. 

Заключение: правосторонний пневмоторакс. Правосторонний плевральный выпот