Добавить в корзинуПозвонить
Найти в Дзене

Лечение кариеса под микроскопом или почему так важно посещать стоматолога раз в полгода

Хотите сохранить красивую улыбку надолго? Секрет прост - не пропускайте плановые визиты к стоматологу. Раз в полгода специалист проверит состояние ваших зубов и выявит возможные проблемы на начальном этапе. В арсенале современной стоматологии есть эффективные методики, вам лишь надо вовремя посещать стоматологию. Высокоточная оптика открывает новые возможности диагностики в терапии кариеса. Такое оборудование позволяет обнаружить даже еле заметные изменения в структуре эмали на самой ранней стадии. Это помогает избежать такой сложной процедуры, как лечение пульпита, когда воспаление уже проникло в нервную ткань зуба. Благодаря 6-40 кратному увеличению, которое дает микроскоп, врач может заметить малейшие изменения в структуре зуба: Чем раньше обнаружено поражение, тем проще и быстрее от него избавиться, сохранив большую часть зубных тканей. Использование микроскопа дает врачу возможность рассмотреть структуру зуба на максимальном увеличении. Это помогает стоматологу определить точную о
Оглавление
Хотите сохранить красивую улыбку надолго? Секрет прост - не пропускайте плановые визиты к стоматологу. Раз в полгода специалист проверит состояние ваших зубов и выявит возможные проблемы на начальном этапе. В арсенале современной стоматологии есть эффективные методики, вам лишь надо вовремя посещать стоматологию.

Профилактика кариеса с помощью микроскопа

Высокоточная оптика открывает новые возможности диагностики в терапии кариеса. Такое оборудование позволяет обнаружить даже еле заметные изменения в структуре эмали на самой ранней стадии. Это помогает избежать такой сложной процедуры, как лечение пульпита, когда воспаление уже проникло в нервную ткань зуба.

Благодаря 6-40 кратному увеличению, которое дает микроскоп, врач может заметить малейшие изменения в структуре зуба:

  • начальные проявления кариеса в межзубных промежутках;
  • скрытый кариес под старыми пломбами и в местах прилегания коронок;
  • микротрещины эмали, которые могут привести к кариесу;
  • первые воспалительные процессы в пульпе зуба.

Чем раньше обнаружено поражение, тем проще и быстрее от него избавиться, сохранив большую часть зубных тканей.

Плюсы лечения кариеса под микроскопом

Использование микроскопа дает врачу возможность рассмотреть структуру зуба на максимальном увеличении. Это помогает стоматологу определить точную область поражения и выполнить филигранное лечение. Такой подход обеспечивает качественное восстановление зуба.

Микроскоп дает ряд преимуществ по сравнению с традиционным лечением:

  • мощное точечное освещение (75 000 люкс против 4000-5000 люкс у лампы);
  • возможность раннего обследования и лечение повреждения без задействования бормашины (лазер, ультразвук, технология Icon);
  • удобство при обработке сложных каналов и установке пломб;
  • повышенный комфорт для пациента (врач не нависает над пациентом, нет необходимости в отсасывании слюны).

Все это делает лечение под микроскопом одним из лучших методов. Он позволяет добиться идеального цвета и прилегания пломбы, укрепить зубные ткани, повысить их устойчивость к кислотам, не дать кариесу вновь возникнуть.

Как проходит микроскопическое лечение зуба

Весь процесс обычно проходит в несколько этапов и включает:

  1. Диагностика - врач внимательно смотрит на зубы, применяя микроскоп и специальные инструменты. Также он находит даже самые скрытые очаги кариеса.
  2. Препарирование - ликвидация тканей зуба, которые имеют повреждения. Под микроскопом стоматолог может точно узнать границы кариозной полости, сберечь здоровую эмаль и дентин.
  3. Восстановление - послойная укладка пломбировочного материала, точное воссоздание анатомической формы и рельефа зуба. Работа под многократным увеличением позволяет добиться лучшего результата.
  4. Полировка - финишная обработка реставрации, которая дарит ей естественный блеск и гладкость.

Применение микроскопа на каждом этапе обеспечивает высокую точность и качество работы стоматолога. Это особенно важно при лечении кариеса на раннем этапе, когда он еще незначителен и зуб можно спасти.

Лечение зубов в Казани в клинике S-LINE DENTAL: успешные примеры работ наших стоматологов

Каждый день наши врачи помогают пациентам вернуть здоровье и красоту улыбки. Мы хотим показать реальные примеры того, как современная стоматология решает различные проблемы с зубами.

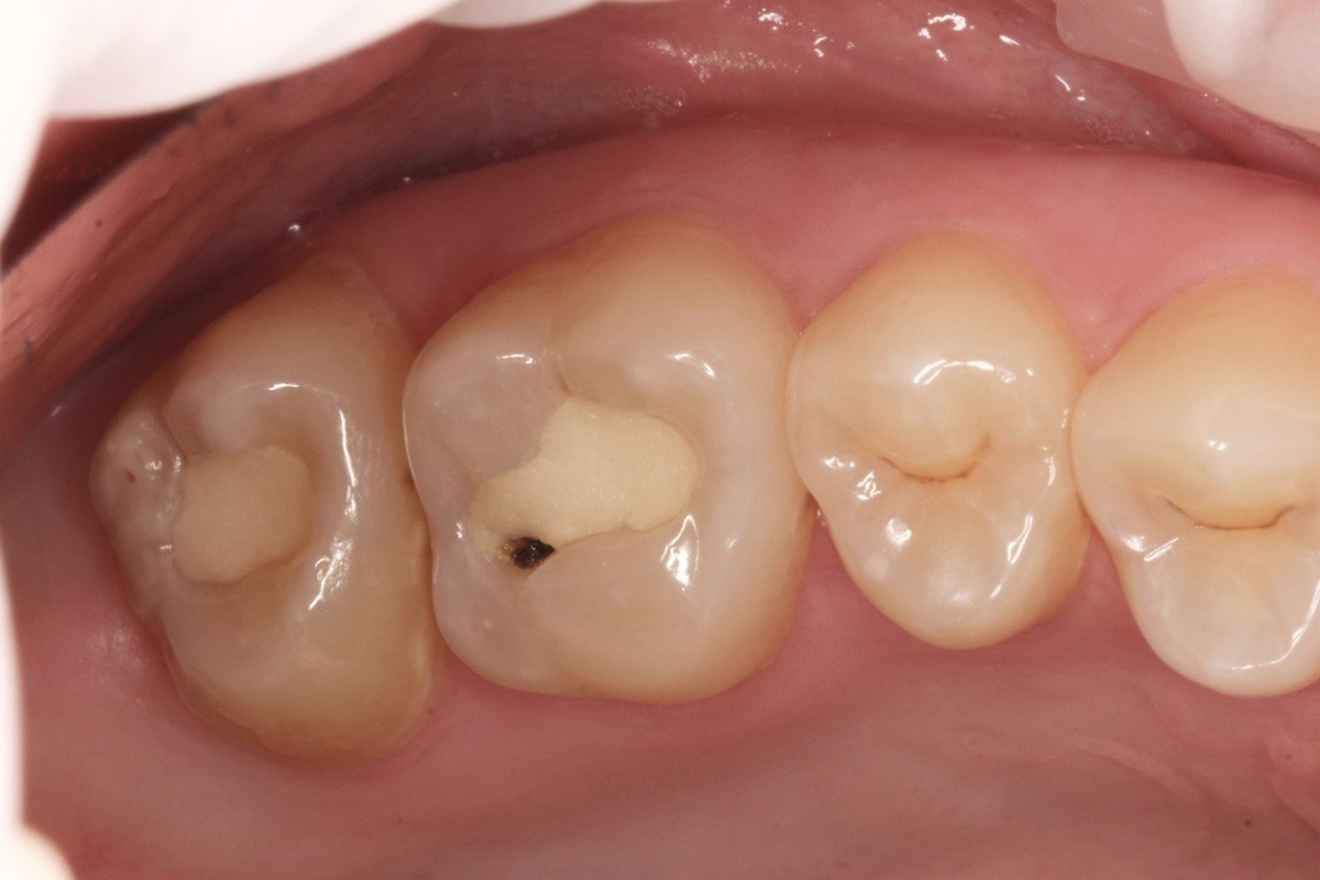
Случай 1. Пациентка 22 лет обратилась к стоматологу для профилактического осмотра перед установкой брекетов. Жалоб не было, однако врач обнаружил старую пломбу с нарушенным краевым прилеганием и скрытую кариозную полость на контактной поверхности соседнего зуба. Было проведено лечение кариеса под микроскопом с использованием адгезивного протокола и пломбировочного материала, точно имитирующего структуру зуба. Через 3 месяца на контрольном осмотре пациентка была довольна результатом.

Было
Было
В процессе лечения
В процессе лечения
Стало
Стало

Случай 2. Пациент пришел и пожаловался, что между зубами застревает пища. При осмотре мы нашли несостоятельную пломбу с нарушением герметичности. Стоматолог провел препарирование кариозной полости, восстановил зуб композитным материалом, используя матричную систему и адгезивный протокол. После тщательной полировки реставрация полностью вернула форму и функцию зуба.

На осмотре стоматолога
На осмотре стоматолога
В процессе лечения под микроскопом
В процессе лечения под микроскопом
В результате лечения
В результате лечения

Эти и многие другие случаи из практики показывают - лечение кариеса под микроскопом открывает новые возможности в стоматологии. Но не стоит забывать, что профилактика всегда лучше, чем лечение. Регулярно проверяйте зубы, чтобы сохранить их на долгие годы. Ведь даже самые современные технологии не заменят своевременной диагностики и гигиены полости рта. Записаться на профилактический осмотр или лечение кариеса в Казани можно прямо сейчас, в цифровой функциональной стоматологии S-LINE DENTAL кариес и другие заболевания зубов лечат только под микроскопом.