Найти в Дзене

МРТ принцип работы, режимы T1, T2, Flair, DWI⁠⁠

Магнитно-резонансная томография (МРТ) — это современный метод диагностики, который позволяет получать детальные изображения внутренних органов и тканей тела без использования ионизирующего излучения. Принцип работы МРТ основан на явлении ядерного магнитного резонанса (ЯМР). Вот основные этапы и принципы работы: МРТ широко используется в диагностике заболеваний головного и спинного мозга, суставов, органов брюшной полости и малого таза, а также в онкологии. В магнитно-резонансной томографии (МРТ) визуализация тканей зависит от выбранного режима сканирования: T1, T2, FLAIR и DWI . Каждый режим подчеркивает определенные характеристики тканей, что позволяет лучше дифференцировать патологии. Вот основные особенности визуализации тканей в каждом режиме: Выбор режима зависит от клинической задачи и предполагаемой патологии. https://t.me/MME_SurgeryRadiolodgy https://vk.com/club223629464 https://boosty.to/mme_surgery_radiology
Оглавление

Магнитно-резонансная томография (МРТ) — это современный метод диагностики, который позволяет получать детальные изображения внутренних органов и тканей тела без использования ионизирующего излучения. Принцип работы МРТ основан на явлении ядерного магнитного резонанса (ЯМР). Вот основные этапы и принципы работы:

1. Магнитное поле

  • Аппарат МРТ создает мощное постоянное магнитное поле, обычно с помощью сверхпроводящего магнита. Это поле выравнивает протоны в атомах водорода, которые в большом количестве содержатся в воде и жирах организма.

2. Радиочастотные импульсы

  • Пациента помещают в магнитное поле, после чего на исследуемую область направляются радиочастотные импульсы. Эти импульсы "возбуждают" протоны, заставляя их отклоняться от своего первоначального положения.

3. Резонанс и релаксация

  • Когда радиочастотный импульс прекращается, протоны начинают возвращаться в исходное положение, выделяя энергию в виде радиоволн. Этот процесс называется релаксацией. Разные ткани организма релаксируют с разной скоростью.

4. Регистрация сигналов

  • Специальные датчики в аппарате МРТ улавливают радиоволны, испускаемые протонами. Эти сигналы обрабатываются компьютером, который преобразует их в изображения.

5. Формирование изображения

  • На основе полученных данных компьютер строит трехмерные изображения внутренних структур организма. Врач может анализировать срезы тканей в различных плоскостях.

Преимущества МРТ:

  • Высокая детализация мягких тканей (мозг, мышцы, связки, хрящи).
  • Отсутствие ионизирующего излучения.
  • Возможность получения изображений в любой плоскости.

Ограничения:

  • Длительность процедуры (от 15 минут до часа).
  • Не подходит для пациентов с металлическими имплантатами или кардиостимуляторами.
  • Высокая стоимость оборудования и обслуживания.

МРТ широко используется в диагностике заболеваний головного и спинного мозга, суставов, органов брюшной полости и малого таза, а также в онкологии.

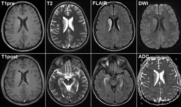
В магнитно-резонансной томографии (МРТ) визуализация тканей зависит от выбранного режима сканирования: T1, T2, FLAIR и DWI . Каждый режим подчеркивает определенные характеристики тканей, что позволяет лучше дифференцировать патологии. Вот основные особенности визуализации тканей в каждом режиме:

1. Режим T1:

  • Жировая ткань: Яркая (гиперинтенсивная).
  • Мозговое вещество: Серое вещество темнее, чем белое.
  • Спинномозговая жидкость (СМЖ): Темная (гипоинтенсивная).
  • Мышцы и паренхиматозные органы: Промежуточная интенсивность сигнала.
  • Кости и воздух: Темные (гипоинтенсивные).
  • Применение: Анатомическая визуализация, оценка кровоизлияний (в острой стадии), жировой ткани, контрастного усиления (например, при опухолях).

2. Режим T2:

  • Спинномозговая жидкость (СМЖ): Яркая (гиперинтенсивная).
  • Отек и воспаление: Яркие.
  • Мозговое вещество: Белое вещество темнее, чем серое.
  • Жировая ткань: Темнее, чем на T1.
  • Применение: Выявление патологий с повышенным содержанием воды (отек, воспаление, опухоли, инфаркты).

3. Режим FLAIR (Fluid-Attenuated Inversion Recovery):

  • Спинномозговая жидкость (СМЖ): Подавлена (темная), что позволяет лучше видеть патологии рядом с СМЖ.
  • Отек и воспаление: Яркие.
  • Мозговое вещество: Аналогично T2, но с подавлением сигнала от СМЖ.
  • Применение: Выявление очаговых изменений вблизи желудочков мозга (например, при рассеянном склерозе, ишемических изменениях, энцефалите).

4. Режим DWI (Diffusion-Weighted Imaging):

  • Ограничение диффузии: Области с ограниченной диффузией (например, при ишемии) выглядят яркими (гиперинтенсивными).
  • Спинномозговая жидкость (СМЖ): Темная (гипоинтенсивная).
  • Нормальные ткани: Промежуточная интенсивность сигнала.
  • Применение:
    Ранняя диагностика ишемического инсульта (в течение нескольких минут после начала).
    Выявление абсцессов, опухолей с высокой клеточностью (например, лимфомы).
    Оценка диффузных изменений в белом веществе мозга.

Примеры клинического использования:

  • Инсульт: DWI — лучший режим для ранней диагностики ишемии.
  • Опухоли: T1 с контрастом — для оценки структуры и границ опухоли; T2 и FLAIR — для выявления перифокального отека.
  • Рассеянный склероз: FLAIR — для выявления очагов демиелинизации.
  • Абсцессы: DWI — для дифференциации абсцессов от других образований.

Выбор режима зависит от клинической задачи и предполагаемой патологии.

https://t.me/MME_SurgeryRadiolodgy

https://vk.com/club223629464

https://boosty.to/mme_surgery_radiology