Добавить в корзинуПозвонить
Найти в Дзене
MY ORT

Ортодонтическое лечение ребенка. Брекеты в 11 лет.

Представьте, что ваш ребенок стесняется улыбаться из-за неровных зубов. А что, если проблема не только в эстетике, но и в функциональных нарушениях, которые могут повлиять на здоровье в будущем?
Сегодня я врач-ортодонт, гнатолог расскажу Вам о случае своей маленькой пациентки, которая на протяжении двух лет упорно шла к здоровой и красивой улыбке, а поддерживала ее в этом семья! Ко мне на прием пришла мама с дочкой 11 лет. У девочки были неровные зубы на верхней и нижней челюсти, наблюдался недостаток места для прорезывания переднего зуба. После проведения клинического осмотра стало понятно, что у девочки маленькие верхняя и нижняя челюсти, при этом нижняя челюсть растёт быстрее верхней, а также наблюдался сильный дефицит места для зубов. После осмотра полости рта, снимка КТ стало ясно – в этом случае определенно будет лечение на брекетах. Пациентка проходила лечение на брекет-системе Damon Q с удалением премоляров на верхней и нижней челюстях. Это позволило вместить все зубы в кость и
Оглавление

Представьте, что ваш ребенок стесняется улыбаться из-за неровных зубов. А что, если проблема не только в эстетике, но и в функциональных нарушениях, которые могут повлиять на здоровье в будущем?
Сегодня я врач-ортодонт, гнатолог расскажу Вам о случае своей маленькой пациентки, которая на протяжении двух лет упорно шла к здоровой и красивой улыбке, а поддерживала ее в этом семья!

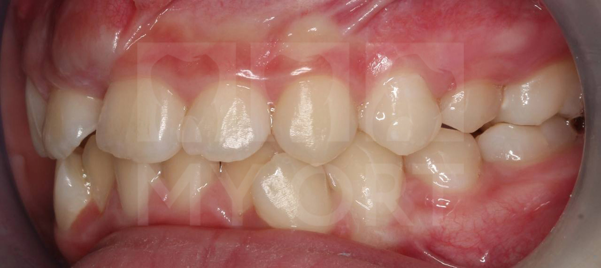
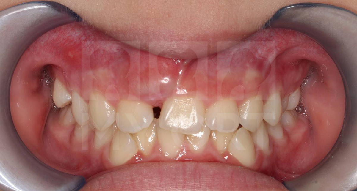
Фото пациентки ДО

Жалобы пациентки и первичная консультация

Ко мне на прием пришла мама с дочкой 11 лет. У девочки были неровные зубы на верхней и нижней челюсти, наблюдался недостаток места для прорезывания переднего зуба. После проведения клинического осмотра стало понятно, что у девочки маленькие верхняя и нижняя челюсти, при этом нижняя челюсть растёт быстрее верхней, а также наблюдался сильный дефицит места для зубов.

Какое лечение я выбрала?

После осмотра полости рта, снимка КТ стало ясно – в этом случае определенно будет лечение на брекетах.

Ортодонтическое лечение

Пациентка проходила лечение на брекет-системе Damon Q с удалением премоляров на верхней и нижней челюстях. Это позволило вместить все зубы в кость и создать функционально-грамотные соотношения между ними.

В процессе лечения я дополнительно использовала аппарат «кнопка Нанса». Он помог удерживать боковую группу зубов от перемещения, пока шло раскрытие места для переднего зуба, а также выравнивания сильной скученности зубов на верхней и нижней челюстях.

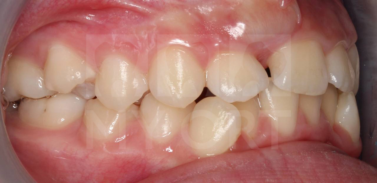
Результат работы

Лечение заняло 2 года, но каждый этап был тщательно спланирован и контролировался на регулярных осмотрах.

Мы получили отличный результат:

  1. правильные соотношения зубов справа и слева;
  2. хорошее перекрытие в переднем отделе;
  3. устранена скученность зубов;
  4. созданы функционально-грамотные соотношения челюстей;
  5. улыбка пациентки стала яркой, красивой и гармоничной.

Улыбка пациентки ДО/ПОСЛЕ

Мама и пациентка счастливы, они получили тот результат, за которым ко мне пришли. А я довольна, что могу видеть своих пациентов такими радостными.

Фотографии улыбки ДО
Фотографии улыбки ДО
Фотографии улыбки ПОСЛЕ
Фотографии улыбки ПОСЛЕ

Заключение

Современная ортодонтия может справиться даже с самыми сложными проблемами. Главное вовремя обратиться к специалисту.

Если вы заметили у своего ребенка неровные зубы или другие проблемы с прикусом, не откладывайте визит к ортодонту. Чем раньше начать лечение, тем проще и быстрее можно достичь идеального результата.

Будьте здоровы!

Автор статьи: Тюленёва (Соколова) Александра Викторовна - врач-ортодонт, гнатолог.