Найти в Дзене
Radiology Hub

Разбор случая #10

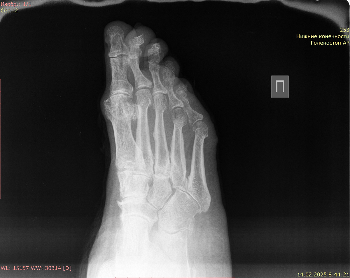
Рентгенография правой стопы в прямой и косой проекциях:
Аномалий развития не выявлено. Форма, размеры и структура костей стопы не изменены. Просветы суставных щелей в суставах стопы неравномерно сужены. Суставные поверхности уплотнены, в субхондральном слое остеосклероз. Оссификаты по краю суставных поверхностей. Костно-травматических и костно-деструктивных изменений не выявлено. Мягкие ткани без патологических рентгенопозитивных включений.
Заключение: артроз суставов правой стопы II-III степени по Келлгрену-Лоуренсу. Костно-травматических изменений не выявлено
-2

Рентгенография правой стопы в прямой и косой проекциях:

Аномалий развития не выявлено. Форма, размеры и структура костей стопы не изменены. Просветы суставных щелей в суставах стопы неравномерно сужены. Суставные поверхности уплотнены, в субхондральном слое остеосклероз. Оссификаты по краю суставных поверхностей. Костно-травматических и костно-деструктивных изменений не выявлено. Мягкие ткани без патологических рентгенопозитивных включений.

Заключение: артроз суставов правой стопы II-III степени по Келлгрену-Лоуренсу. Костно-травматических изменений не выявлено