Добавить в корзинуПозвонить
Найти в Дзене
Белка в позе

Дежурство с 13.02 на 14 .02.25(конец 90 часовой рабочей недели)

Здравствуйте🤝 В больнице скорой помощи никогда же нельзя расслабляться , особенно на приемнике. В любой момент может случится аврал, а может и не случится. В принципе тихая и спокойная смена , но после четырех немного , но начался движ. ******************* 9 часов до окончания 90 часовой недели Зашел парень, немного прихрамывает, назначили снимок бедра. –Проходите, раздевайтесь, освобождайтесь от брюк и ложитесь на стол ногами к двери, внесу данные и выйду к вам, –как обычно и заученно говорю. Вношу данные, а лаборант Уля, устав лежать в сестринской, решила со мной посидеть, вдруг и помочь чем. Заходит , слышу из процедурной ее звонкий голос: –Мужчина! Вы как легли? –Как сказали, так и лег!Ногами к двери! – Что это за поза? Я такой не знаю! Вернее знаю , но не в рентгенологии! –хохочет Ульяна.–она у нас любит попошлить немного. –Как он лежит? –интересуюсь у Ульяны , не отрываясь от компьютеров –Да на животе!) –Улька ! Ну скажи ему как лечь , да и все!Что ты смущаешь парня?! –А вдруг

Здравствуйте🤝

В больнице скорой помощи никогда же нельзя расслабляться , особенно на приемнике. В любой момент может случится аврал, а может и не случится.

В принципе тихая и спокойная смена , но после четырех немного , но начался движ.

*******************

9 часов до окончания 90 часовой недели

Зашел парень, немного прихрамывает, назначили снимок бедра.

–Проходите, раздевайтесь, освобождайтесь от брюк и ложитесь на стол ногами к двери, внесу данные и выйду к вам, –как обычно и заученно говорю.

Вношу данные, а лаборант Уля, устав лежать в сестринской, решила со мной посидеть, вдруг и помочь чем.

Заходит , слышу из процедурной ее звонкий голос:

–Мужчина! Вы как легли?

–Как сказали, так и лег!Ногами к двери!

– Что это за поза? Я такой не знаю! Вернее знаю , но не в рентгенологии! –хохочет Ульяна.–она у нас любит попошлить немного.

–Как он лежит? –интересуюсь у Ульяны , не отрываясь от компьютеров

–Да на животе!)

–Улька ! Ну скажи ему как лечь , да и все!Что ты смущаешь парня?!

–А вдруг ты ему сказала так лечь? –во всю веселится она

Взглядом пресекла веселье . Ох, дождется она у меня, престарелая куртизанка))

–Где именно болит? –интересуюсь у покрасневшего пациента , ибо в направлении не указано , верхнюю треть снять , нижнюю или на протяжении.

–Да вот тут, –обозначает область верхней трети пациент, –я три дня назад упал, а вчера мне девушка сказала , что у меня там сзади синяк.

Дааа, там не синяк, а синячище , большая гематома размером 15 на 8 сантиметров.

Вот девушка бы сразу на себе заметила гематому , просто покрутившись у зеркала. Очень мы любим это дело , посмотреться туда и покрутиться, а парень что? Ну , упал, если б не девушка , так бы и не знал.

Делаю два снимка, согласно жалобам и отсутствию указаний в направлении.Целые , конечно , косточки.

********************

Завозят каталку, женщина ,52 года. Не поверите, ее ударила распахнувшаяся дверь газели . Она обходила припаркованную газельку, а водитель , не увидев женщину, открыл заднюю дверь, не удержал, и дверь с маху толкнула женщину ,та полетела на землю.Мало того , что упав , ударилась головой, так дверь еще хорошо ее ударила по спине.

Привез ее , кстати, это несчастный водитель.Помог перекладывать на стол, всячески суетился о пострадавшей.

Снимали по стандарту, кости черепа , ОГК, шейный , грудной и поясничный отдел, и коленный сустав.

Каждый раз не удивляемся , что все цело!

Ну физика же обычная! Кто б из врачей ее помнил. Не будет при таких вводных данных ничего ,кроме ушибов, которые тоже болят, ну , максимум–мениск порвала.

Позже в приёмном покое вижу, как эта пациентка сидя уже, мило болтает с водителем)А еще позже, хромая и поддерживаемая водителем покидает приемник))Мило

********************

7 часов до окончания

Ребенка принесли , 50 недель.Девчушка весело подпрыгивает на руках мамы.

Конечно же , направление дали в регистратуре в обход осмотра врача.

–А что случилось? –спросил лаборант Палыч, которому достались сегодня все дети ,проходящие по нейро. Он уже злился на нерасторопность родителей и ворчал, что премию Дарвина все они заслужили.

–Ну , она стояла и упала.

–Упала как? Вперед, назад?

–Нет, на "мягкое место".

–А голова тут при чем?

–Да ей еще батарейка из пульта на голову упала , может , какое кrовоизлияние внутреннее случилось?

Все , что сказал интеллигентный Палыч за закрытой дверью является "непереводимой игрой слов" и приводится здесь не будет)

*********************

5 часов до окончания

Громкий и настойчивый стук в дверь, сидим , ждем , проверяем трезвость и зрение пациента или пациентки за дверью. О! Наконец! Дюнь-дюнь.

–Можно на снимок?

–Заходите!

–Сделайте уже , а то мне на работу надо.

–Ну , так идите тогда на работу!Пришли -то чего?

–А вдруг там перелом?

–Ну и какая вам работа тогда?

–Да я охранником работаю, у нас так и работают , у кого руки нет , у кого ноги. На кнопку -то жать, и так справляются.

Хм, первый раз слышу о таком агентстве , где наличие конечностей у сотрудников приветствуется ,но обязательным условием не является.

–А что , собственно говоря ,случилось с вами?

–Да мама довела!

–Что же так?

–Я ей стих написал, хотите почитаю? –с этими словами он вынул из кармана тетрадный листок, исписанный четким почерком.

Мои глаза невольно выхватывают верхние строчки на листке: "госпожа вы госпожа, так похожи на ежа"

🤦Вот это стих маме!

–Где же это, –бормочет пациент, что -то выискивая глазами в тексте, –А , вот нашел! Слушайте:"нам все это ни по чем, мы ударим кирпичом"! Вот!

–Ии?

–Ну я и ударил!

–Кирпичом?!

–Рукой!

–Кирпич?!

–Шкаф же!

Все это время я так и зависла с кассетой в руках, мозг перезагрузился)

–Так вы будете мне снимок делать?

–Что? А, да-да, конечно, торопитесь?

–Нет, на работу только завтра.

–Ну а нам тем более некуда торопиться , вся ночь впереди!

–О, здо́рово! А хотите , я вам про свою жизнь расскажу?

–Нет, –быстро отказываюсь, делаю снимки и отправляю пациента обратно .

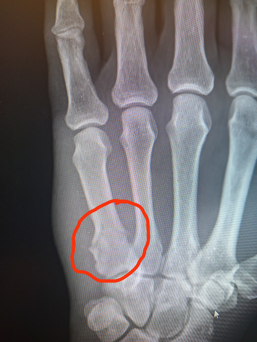
-2

Да , подломил пястную.

Чуть позже в кабинете травматолога, куда я заглянула за уточнением написанного в направлении.

–У вас перелом пятой пястной кости, –говорит врач чудно́му пациенту. –Нужно гипсовать, вы согласны?

–Ой, не знаю, –говорит, –мне надо посоветоваться , можно я маме позвоню, она моя путеводная звезда!

Ага , и еж и госпожа!

–Звоните, только быстро, –разрешает врач.

Судя по разговору , мать пациента сказала ему ,что нужно гипсовать.

–Ой , нет, я так не могу, мне нужно настроиться! –нервничает пациент.

В общем , подписал отказ и ушел. Мужчине 49 лет, если что.

Ранняя весна?

**********************

3 часа до окончания 90 часов

Каталка в приемнике, привезла пациента скорая, которую вызвали прямо к пивоварне.Пациент с дамой, только он лежит с рассеченным лбом , а она худо-бедно двигается, садится на стулья в коридоре и засыпает.

Поскольку пациент уже в приемнике вел себя неспокойно и несогласно, был сразу же прификсирован вязками там же, а потом его закатили ко мне на снимки.

–Таак, снимочки делать будем? –подхожу с кассетой к каталке.

Ответ мне был дан в форме невербального мата , путем демонстрации одного из пальцев.

Уговоры держать голову ровно тоже не помогли, пришлось "наряжаться" в фартук, брать с собой кнопку от экспонометра в процедурную и держать за челюсть голову пациента.

И, странное дело, он сам удерживал голову, никуда не наклоняя, в боковой укладке тоже полежал не шелохнувшись. Зря только наряжалась, хотя , как знать, если бы ушла в пультовую снимать –мог и смухлевать!

Вывезла, конечно , череп целый, так и оставили его привязанного на каталке спать, откатив в мотель. А дама его , опустошив содержимое желудка прямо на пол, тоже спала.

-3

*********************

2 часа до окончания 90 часов

Все , ноги мои отказались работать в обуви, пришлось искать выход из ситуации при отсутствии бахил.

Но , есть же шапочки!
Но , есть же шапочки!

Стало полегче.

Завозят на сидячей каталке пациента с перебинтованной головой. Медбрат подает направление.

–Вот, нужно исключить ЧМТ.

–Чтобы исключит МТ , нужно этот М иметь, а так на снимках только Ч!

–Ну , да!

–Что с вами приключилось?–уточняю у трясущегося , как цуцик, пациента.

–То-то, –сматерился он словом , равно обозначающим как падение, так и сумасшествие.

–А, ну хорошо!

–Я же говорил им, дать мне опохмелиться, –трясясь, жалуется пациент.

–Кому–им?

–Да нам- нам, –доносится из коридора в приоткрытую дверь кабинета.

Оказалось , что пациента сопровождают родители, ну и что , что мальчику 53 года и что он всего месяц как выписался из наркологической клиники.

Снимки сделала, сдала родителям на руки , велев ехать на ушивание раны в процедурную нейро.

**********************

Час! до окончания 90 часов

Завозят каталку с парнем , парню уже обработали рану на голове , перебинтовали , но снимки костей черепа все равно нужны.

–Что это на тебе? –интересуется санитарка приемника.

–Да ,шапочки! Люб, не поверишь, ноги отказались ходить в обуви, не вынесли !

Странным образом при назначении снимка только затылочной кости, числится за сочетанной травмой.

–Что случилось?

–Да , у друга на хате буhали! А его отец–старый "Эге-гей", ни с того ни с сего схватил доску и меня ей побил! Кстати, позвольте представиться, Яков Михайлович меня зовут!

–Ну , что , Яков Михайлович, снимки делать будем? Полежишь спокойно?

–Да я и посидеть могу, если надо.

О , вот это ценно , особенно при спецукладке , где нужно вывести затылочную кость.

Сидел в укладке двадцатишестилетний Яков Михайлович на "пятерку".

Потом долго и подробно рассказывал под запись полицейского в протокол , что жизнь несправедливая штука , раз всякие старые "эгегеи" мешают молодежи развлекаться и жить полной жизнью.

******************

Все, наконец-то мое время подходит к окончанию, переоделась , жду сменщицу, не идет. А раз не идет, то иду я будить засоню.

В коридоре смиренно сидят родители 53 -х летнего пациента , которого после ПХО (первичной хирургической обработки) забрали в кабинет КТ.

–А вы куда так поздно? –спрашивает мать пациента.

–Так , домой! Смена моя окончена!

–Может , вас подвезти? Мы на машине.

–Большое спасибо, но не нужно, я рядом живу, прогуляюсь заодно! Вы домой езжайте, все равно сына госпитализировали.

–Да , а как же, нам все надо узнать, когда прийти можно , что принести.

–Позвоните утром и узнаете.

–Нет , мы подождём.

**********************

Ушла на целых три дня выходных, точнее один отсыпной и два выходных, в понедельник прибуду.

И , обещаю , что никто мне не дозвониться с разными "неприличными "предложениями" выйти за кого-то)

Берегите себя!