Добавить в корзинуПозвонить
Найти в Дзене

Аномалия(мальформация) Арнольда-Киари 1(первого) типа

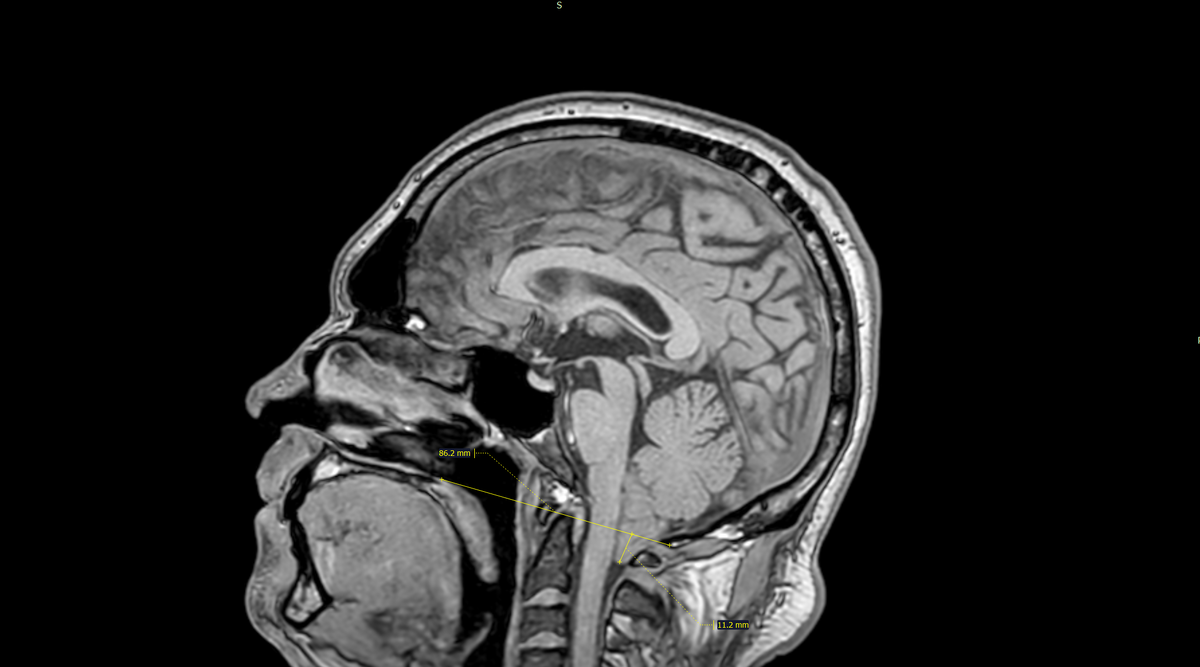
Это врожденное заболевание, при котором часть мозжечка (миндалины мозжечка) смещается вниз через большое затылочное отверстие (foramen magnum) в позвоночный канал. Это может приводить к сдавлению ствола головного мозга, нарушению циркуляции спинномозговой жидкости (ликвора) и появлению неврологических симптомов. Симптомы аномалии Арнольда-Киари I типа могут варьироваться в зависимости от степени смещения и сдавления структур мозга. У некоторых пациентов заболевание протекает бессимптомно и обнаруживается случайно при обследовании. Возможные симптомы включают: Лечение зависит от выраженности симптомов: Прогноз зависит от степени выраженности аномалии и своевременности лечения. При своевременной диагностике и адекватном лечении (особенно хирургическом) возможно значительное улучшение состояния и устранение симптомов. Однако в некоторых случаях симптомы могут сохраняться или прогрессировать. Смещение миндалин мозжечка ниже линии Чемберлена на 11мм.Заключение:Аномалия Арнольда-Киари 1 тип
Оглавление

Это врожденное заболевание, при котором часть мозжечка (миндалины мозжечка) смещается вниз через большое затылочное отверстие (foramen magnum) в позвоночный канал. Это может приводить к сдавлению ствола головного мозга, нарушению циркуляции спинномозговой жидкости (ликвора) и появлению неврологических симптомов.

Основные характеристики:

  • Смещение миндалин мозжечка ниже уровня большого затылочного отверстия (более чем на 5 мм).
  • Часто сочетается с сирингомиелией (образованием кист в спинном мозге).
  • Может быть врожденной или приобретенной (например, вследствие травмы или гидроцефалии).

Симптомы:

Симптомы аномалии Арнольда-Киари I типа могут варьироваться в зависимости от степени смещения и сдавления структур мозга. У некоторых пациентов заболевание протекает бессимптомно и обнаруживается случайно при обследовании. Возможные симптомы включают:

  1. Головные боли (особенно в затылочной области, усиливающиеся при кашле, чихании или физической нагрузке).
  2. Головокружение и нарушение координации.
  3. Слабость в конечностях.
  4. Нарушение чувствительности (онемение, покалывание в руках или ногах).
  5. Нарушение зрения (двоение в глазах, нистагм).
  6. Нарушение глотания и речи (дисфагия, дизартрия).
  7. Шум в ушах.
  8. Сирингомиелия (при наличии кист в спинном мозге) может вызывать дополнительные симптомы, такие как потеря чувствительности к боли и температуре, слабость в мышцах.

Лечение:

Лечение зависит от выраженности симптомов:

  1. Бессимптомное течение — наблюдение у невролога, регулярное проведение МРТ для контроля состояния.
  2. Консервативное лечение — при умеренных симптомах может включать:
    Обезболивающие препараты.
    Миорелаксанты.
    Физиотерапию.
  3. Хирургическое лечение — показано при выраженных симптомах или прогрессировании заболевания. Основная цель операции — декомпрессия структур мозга и восстановление циркуляции ликвора. Виды операций:
    Декомпрессия задней черепной ямки (удаление части затылочной кости и дуги первого шейного позвонка).
    Шунтирование (при наличии гидроцефалии или сирингомиелии).

Прогноз:

Прогноз зависит от степени выраженности аномалии и своевременности лечения. При своевременной диагностике и адекватном лечении (особенно хирургическом) возможно значительное улучшение состояния и устранение симптомов. Однако в некоторых случаях симптомы могут сохраняться или прогрессировать.

-2

Смещение миндалин мозжечка ниже линии Чемберлена на 11мм.Заключение:Аномалия Арнольда-Киари 1 типа.

В Расписании болезней отсутствует указание по поводу выше представленной аномалии. Следовательно освидетельствование будет осуществляться по сопутствующим неврологическим нарушениям, степени их выраженности.

https://t.me/MME_SurgeryRadiolodgy

https://vk.com/club223629464

https://boosty.to/mme_surgery_radiology