Найти в Дзене
Два Дантиста

Как решается проблема несостоятельных зубов на одной из челюстей?

В клинику «Два Дантиста» обратился пациент с жалобой на зубы верхней челюсти, которые утратили свои функции и эстетический внешний вид. Для восстановления такой клинической ситуации все зубы верхней челюсти были удалены и был применен протокол все на 4. Этапы этой операции безболезненны и позволяют практически сразу вернуться к привычной жизни с восстановленным зубным рядом. Установка имплантатов В передней части челюсти устанавливаются 2 имплантата вертикально и параллельно друг другу, в дистальной части, где расположены коренные зубы, устанавливаются 2 имплантата под углом до 45 градусов. Вживляемые под углом имплантаты имеют особую конструкцию, благодаря которой протез закрепляется прямо и обходит важные анатомические структуры челюсти. Установка временного протеза Облегченный адаптационный протез, состоящий из 10-12 коронок, может устанавливаться сразу после имплантации или в течение нескольких дней после. В данном клиническом случае временный протез пациенту установили на 3 день

В клинику «Два Дантиста» обратился пациент с жалобой на зубы верхней челюсти, которые утратили свои функции и эстетический внешний вид.

Для восстановления такой клинической ситуации все зубы верхней челюсти были удалены и был применен протокол все на 4. Этапы этой операции безболезненны и позволяют практически сразу вернуться к привычной жизни с восстановленным зубным рядом.

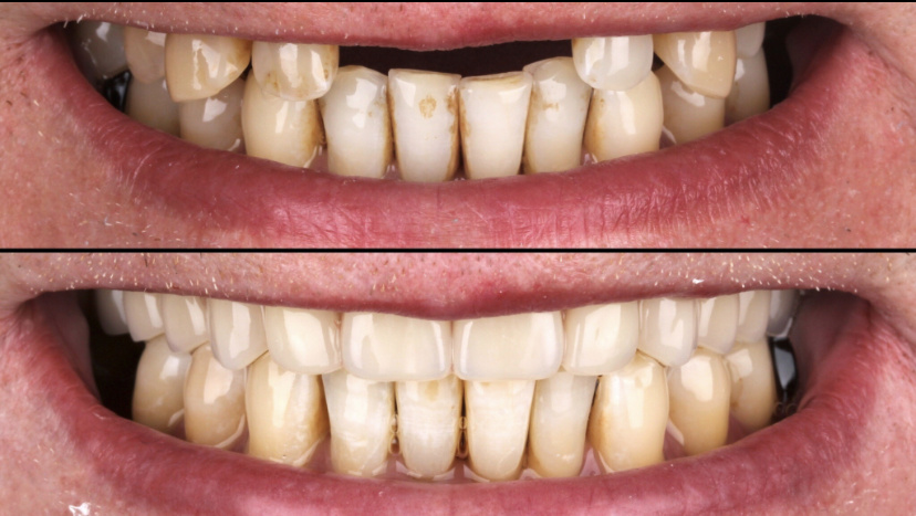
До/после лечения
До/после лечения

Установка имплантатов

В передней части челюсти устанавливаются 2 имплантата вертикально и параллельно друг другу, в дистальной части, где расположены коренные зубы, устанавливаются 2 имплантата под углом до 45 градусов. Вживляемые под углом имплантаты имеют особую конструкцию, благодаря которой протез закрепляется прямо и обходит важные анатомические структуры челюсти.

Установка временного протеза

Облегченный адаптационный протез, состоящий из 10-12 коронок, может устанавливаться сразу после имплантации или в течение нескольких дней после. В данном клиническом случае временный протез пациенту установили на 3 день после операции. 

Установка постоянного протеза

Постоянный протез устанавливают после полного приживления имплантатов (через пол года или год), заменяя временный протез. При его изготовлении используют надежные и долговечные материалы. Конструкция состоит из искусственной десны — делается из акрила, и зубного ряда — керамических единиц. Выбор таких современных материалов и соблюдение правильной гигиена полости рта обеспечивают долгий срок службы протезов.

В итоге имплантации в полости рта размещается фиксированный и прочно закрепленный мост, который абсолютно не доставляет человеку никакого дискомфорта и остается с человеком на всю жизнь.

Несъемные протезы максимально точно соответствуют естественным зубам, благодаря чему улыбка выглядит привлекательно и естественно.

Записаться в клинику «Два Дантиста» можно через сайт или по тел. 8 (812) 223-43-29