Найти в Дзене
Radiology Hub

Разбор случая #2

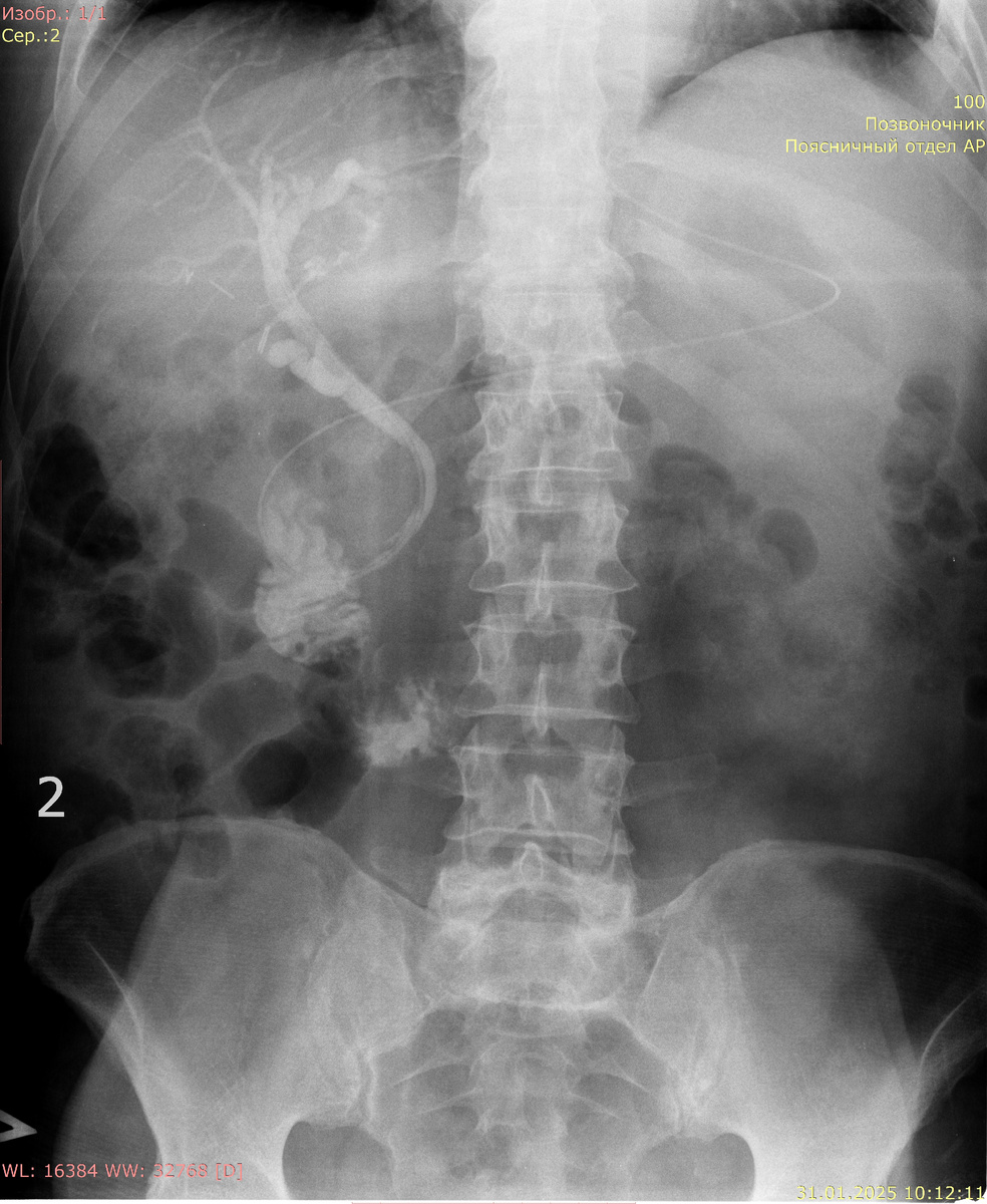
НБД (назобилиарное дренирование) — это медицинская процедура, которая используется для обеспечения оттока желчи и других жидкостей из печени или желчного пузыря. Обычно она применяется в случаях, когда естественный отток затруднён по причинам, таким как желчнокаменная болезнь, опухоли, воспалительные процессы или после хирургических вмешательств. Контрастом выполнились внутри- и внепеченочные протоки. Диаметр холедоха около 6 мм, дефектов не обнаружено. Тени металлических клипс в проекции пузырного протока. Контраст поступает в ДПК.
Заключение: состояние после холецистэктомии. Дефектов не обнаружено.

НБД (назобилиарное дренирование) — это медицинская процедура, которая используется для обеспечения оттока желчи и других жидкостей из печени или желчного пузыря. Обычно она применяется в случаях, когда естественный отток затруднён по причинам, таким как желчнокаменная болезнь, опухоли, воспалительные процессы или после хирургических вмешательств.

Описание

Контрастом выполнились внутри- и внепеченочные протоки. Диаметр холедоха около 6 мм, дефектов не обнаружено. Тени металлических клипс в проекции пузырного протока. Контраст поступает в ДПК.
Заключение: состояние после холецистэктомии. Дефектов не обнаружено.