Добавить в корзинуПозвонить
Найти в Дзене
Radiology Hub

Свободный газ в брюшной полости: диагностика, причины

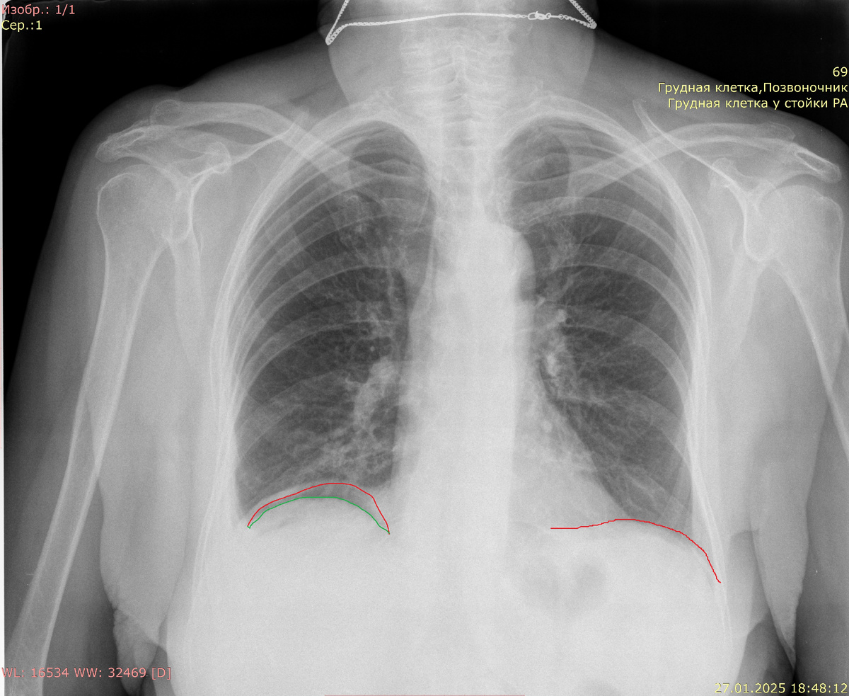
Свободный газ в брюшной полости является значимым диагностическим признаком, который часто используется в рентгенологических исследованиях для оценки состояния пациентов и выявления различных заболеваний. Этот симптом, как правило, ассоциируется с острыми абдоминальными состояниями и может свидетельствовать о наличии перфорации органов, перитонита или других серьезных патологий. При перфорации полого органа, такого как кишечник или желудок, воздух может накапливаться под диафрагмой, что визуализируется на рентгенограммах в виде пузырьков газа. Эта находка обычно указывает на необходимость неотложной хирургической помощи, так как она может сигнализировать о высокой степени угрозы для жизни пациента. На рентгенологических изображениях свободный газ проявляется как области с пониженной плотностью, чаще всего расположенные под правым или левым куполом диафрагмы. Это связано с анатомическими особенностями расположения органов в брюшной полости, где газ имеет тенденцию подниматься к верхним
Оглавление

Свободный газ в брюшной полости является значимым диагностическим признаком, который часто используется в рентгенологических исследованиях для оценки состояния пациентов и выявления различных заболеваний. Этот симптом, как правило, ассоциируется с острыми абдоминальными состояниями и может свидетельствовать о наличии перфорации органов, перитонита или других серьезных патологий.

Визуализация свободного газа

При перфорации полого органа, такого как кишечник или желудок, воздух может накапливаться под диафрагмой, что визуализируется на рентгенограммах в виде пузырьков газа. Эта находка обычно указывает на необходимость неотложной хирургической помощи, так как она может сигнализировать о высокой степени угрозы для жизни пациента. На рентгенологических изображениях свободный газ проявляется как области с пониженной плотностью, чаще всего расположенные под правым или левым куполом диафрагмы. Это связано с анатомическими особенностями расположения органов в брюшной полости, где газ имеет тенденцию подниматься к верхним участкам.

Диафрагма красная, верхний край печени зеленый. Между ними газ - симптом "серпа".

Современные методы диагностики

Для более точной диагностики свободного газа в брюшной полости велика важность дополнительных методов визуализации, таких как компьютерная томография (КТ). Этот метод позволяет детально оценить объем и источник газа, а также состояние окружающих тканей и наличие сопутствующих патологий. КТ-исследование может подтвердить наличие свободного газа и помочь в выявлении его источника, что существенно влияет на выбор тактики лечения.

Причины возникновения свободного газа

Причиной появления свободного газа в брюшной полости могут быть различные факторы. Наиболее распространенные из них включают перфорацию полых органов, которая может возникнуть вследствие травмы, язвенной болезни, новообразований или воспалительных процессов. Другие возможные причины могут включать хирургические вмешательства, при которых может произойти неконтролируемый выход газа в брюшную полость, а также заболевания, связанные с нарушением целостности стенок кишечника.

Заключение

Таким образом, свободный газ в брюшной полости служит важным диагностическим признаком в практике рентгенологии. Он требует внимательного анализа со стороны медицинского персонала и может стать отправной точкой для оказания оперативной медицинской помощи. Важно учитывать, что наличие свободного газа не является самодостаточным диагнозом; его необходимо рассматривать в контексте клинической картины и дополнительного обследования пациента.