Найти в Дзене

Эностоз-компактный островок остеосклероза⁠⁠.

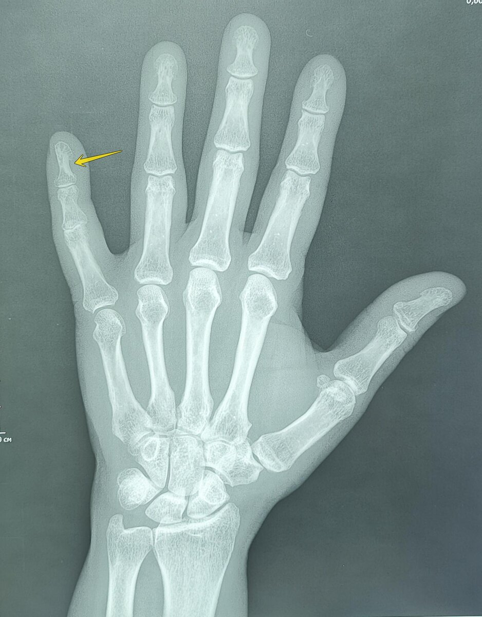
Эностоз, или костный островок, представляет собой доброкачественное образование в костной ткани, которое обычно обнаруживается случайно при рентгенологическом исследовании. -Компактный костный островок(эностоз) дистальной фаланги пятого пальца правой кисти. Основные рентгенологические признаки эностоза включают: Эностоз необходимо дифференцировать с другими образованиями костной ткани, такими как: Для уточнения диагноза могут быть использованы дополнительные методы визуализации, такие как КТ или МРТ. В сомнительных случаях может потребоваться биопсия. Варианты эностозов на КТ И МРТ. Эностоз лечения не требует, динамическое наблюдение за его размером, ростом/его отсутствием. Категория годности с диагнозом эностоз-по ст.10(Доброкачественные новообразования (кроме доброкачественных новообразований нервной системы и мозговых оболочек), новообразования in situ:),в) при наличии объективных данных без нарушения функции- А2-годен к военной службе. https://t.me/MME_SurgeryRadiolodgy https://vk.

Эностоз, или костный островок, представляет собой доброкачественное образование в костной ткани, которое обычно обнаруживается случайно при рентгенологическом исследовании.

-2
-3

-Компактный костный островок(эностоз) дистальной фаланги пятого пальца правой кисти.

Основные рентгенологические признаки эностоза включают:

  1. Очаговое затемнение:
    На рентгенограмме эностоз выглядит как четко очерченный очаг повышенной плотности (гиперденсивный) в костной ткани.
  2. Форма и контуры:
    Образование обычно имеет округлую или овальную форму.
    Контуры четкие, ровные, иногда могут быть слегка лучистыми или неровными, но без признаков агрессивного роста.
  3. Локализация:
    Эностоз может встречаться в любой кости, но чаще всего обнаруживается в губчатом веществе костей (например, в позвонках, тазовых костях, ребрах, длинных трубчатых костях).
  4. Размер:
    Размеры эностоза обычно небольшие (от нескольких миллиметров до 1-2 см), но могут варьироваться.
  5. Отсутствие деструкции окружающих тканей:
    Эностоз не вызывает разрушения окружающей костной ткани и не сопровождается периостальной реакцией.
  6. Стабильность:
    При динамическом наблюдении эностоз обычно не изменяется в размерах или растет очень медленно.
  7. Связь с костными трабекулами:
    Эностоз часто сливается с окружающими костными трабекулами, что создает характерный "лучистый" вид.
  8. Отсутствие мягкотканного компонента:
    Эностоз не сопровождается образованием мягкотканного компонента или внекостного распространения.

Дифференциальная диагностика

Эностоз необходимо дифференцировать с другими образованиями костной ткани, такими как:

  • Остеоид-остеома.
  • Остеобластные метастазы.
  • Склерозирующие дисплазии костей.

Для уточнения диагноза могут быть использованы дополнительные методы визуализации, такие как КТ или МРТ. В сомнительных случаях может потребоваться биопсия.

-4
-5
-6

Варианты эностозов на КТ И МРТ.

Эностоз лечения не требует, динамическое наблюдение за его размером, ростом/его отсутствием.

Категория годности с диагнозом эностоз-по ст.10(Доброкачественные новообразования (кроме доброкачественных новообразований нервной системы и мозговых оболочек), новообразования in situ:),в) при наличии объективных данных без нарушения функции- А2-годен к военной службе.

https://t.me/MME_SurgeryRadiolodgy

https://vk.com/club223629464

https://boosty.to/mme_surgery_radiology