Добавить в корзинуПозвонить
Найти в Дзене

Закладывать привычки гигиены нужно в детстве

Дети любую информацию впитывают как губки. Мы учим их считать, читать, завязывать шнурки. Ничего страшного, что моторный навык сформируется только к подростковому возрасту. Важна привычка. Так же и с гигиеной полости рта. Но есть проблема: маленькому человеку сложно объяснить, почему ему нужно чистить зубы. Лучше, чтобы домашняя гигиена была для него игрой. Выгоняйте кариозных монстров, устраивайте во рту пенную ванну, пускайте пузыри из зубной пасты – ребенок должен радоваться чистке. Не менее важен положительный пример родителей. Если Вы каждое утро и вечер отправляетесь в ванную, чтобы методично очистить зубы и межзубные промежутки, ребенок запомнит посыл. Когда он вырастет, у него не будет вопросов «почему» и «зачем». Как и взрослым, детям требуется профессиональная гигиена полости рта. Гигиенист учит правильно пользоваться зубной щеткой и выполнять необходимые движения. Но даже обученного ребенка нужно контролировать. Хотя бы раз в день заглядывайте в полость рта и проверяйте, все

Дети любую информацию впитывают как губки. Мы учим их считать, читать, завязывать шнурки. Ничего страшного, что моторный навык сформируется только к подростковому возрасту. Важна привычка. Так же и с гигиеной полости рта.

Но есть проблема: маленькому человеку сложно объяснить, почему ему нужно чистить зубы. Лучше, чтобы домашняя гигиена была для него игрой. Выгоняйте кариозных монстров, устраивайте во рту пенную ванну, пускайте пузыри из зубной пасты – ребенок должен радоваться чистке.

unsplash.com (фотограф – Willo Team)
unsplash.com (фотограф – Willo Team)

Не менее важен положительный пример родителей. Если Вы каждое утро и вечер отправляетесь в ванную, чтобы методично очистить зубы и межзубные промежутки, ребенок запомнит посыл. Когда он вырастет, у него не будет вопросов «почему» и «зачем».

Как и взрослым, детям требуется профессиональная гигиена полости рта. Гигиенист учит правильно пользоваться зубной щеткой и выполнять необходимые движения. Но даже обученного ребенка нужно контролировать. Хотя бы раз в день заглядывайте в полость рта и проверяйте, все ли получилось вычистить. Помогайте, если ребенок не справился.

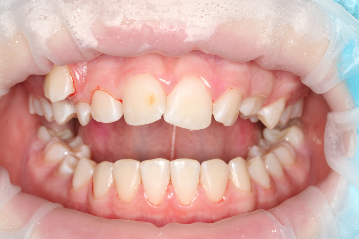
Наш клинический случай

Что провели: гигиену полости рта в сменном прикусе (еще не все молочные зубы выпали).
Цель гигиены: пациент будет лечиться у ортодонта. Важно провести чистку и обучение до начала ортодонтического лечения – тогда ребенок сможет полноценно ухаживать за полостью рта. После снятия конструкции у него не будет множества кариесов.
Сколько посещений: для чистки – один визит. Контроль домашней гигиены – через пару недель или на приеме у ортодонта.

Кто выполнил чистку: Бегларян Лилит Камоевна.

Ортодонтическое лечение: Хасаева Милана Азаматовна.

__________________________________

Если статья была полезной для Вас, подписывайтесь и ставьте лайки. Рады любым комментариям, на все стараемся отвечать.

Хотите почистить зубы и получить консультацию специалиста? Приходите, осмотры у нас бесплатные.

__________________________________

Телефоны для записи:

+7 (495) 120-34-44 (городской)

+7 (991) 603-40-31 (привязаны WhatsApp и Telegram).

Наш сайт: stom-perovo.ru (там можно оставить заявку на консультацию).