Добавить в корзинуПозвонить
Найти в Дзене
Parodoctor

Редкая анатомия - как "простой" зуб опытного терапевта обманул. Что такое C-shape каналы и почему их не распознал специалист по КТ

Всё начиналось как обыденное, рутинное перелечивание каналов. Да, зуб сложный и, по классике, сильно разрушенный - 7 нижняя. Но, зато, корень всего один! Терапевт и не думал такой простой материал выдавать мне в виде статьи. Случай должен был остаться в разделе "банальная работа". Как вы уже поняли, всё оказалось гораздо интересне... Это не ошибка, такая интересная анатомия у 7 нижних зубов встречается (редко). Хотя, привычным для нас является тот факт, что у моляров на нижней челюсти (6 и 7) по 2 корня. Ладно, с корнем разобрались. Один, так один. Но каналов-то сколько? Тоже один? Именно столько каналов (1) было обнаружено и обработано доктором, который лечил зуб ДО. И надо отдать ему должное - такое эндодонтическое лечение можно считать успешным. Жалоб у пациентки нет, ничего не беспокоит, кроме разрушенной коронковой части зуба. По рентгенологической картине наблюдаются незначительные периапикальные изменения. Фото до: Огромная пломба, состоящая из нескольких частей, друг на друга
Оглавление

Всё начиналось как обыденное, рутинное перелечивание каналов. Да, зуб сложный и, по классике, сильно разрушенный - 7 нижняя. Но, зато, корень всего один!

Терапевт и не думал такой простой материал выдавать мне в виде статьи. Случай должен был остаться в разделе "банальная работа". Как вы уже поняли, всё оказалось гораздо интересне...

Это не ошибка, такая интересная анатомия у 7 нижних зубов встречается (редко). Хотя, привычным для нас является тот факт, что у моляров на нижней челюсти (6 и 7) по 2 корня.

Ладно, с корнем разобрались. Один, так один. Но каналов-то сколько? Тоже один?

Именно столько каналов (1) было обнаружено и обработано доктором, который лечил зуб ДО. И надо отдать ему должное - такое эндодонтическое лечение можно считать успешным. Жалоб у пациентки нет, ничего не беспокоит, кроме разрушенной коронковой части зуба. По рентгенологической картине наблюдаются незначительные периапикальные изменения.

Фото до:

Снимок я слепила из того, что было - зуб 3.7 до лечения
Снимок я слепила из того, что было - зуб 3.7 до лечения

Огромная пломба, состоящая из нескольких частей, друг на друга установленных. Скололось что-то одно - замазали новым слоем. И так по кругу. Слеплено и ладненько.

Навеяло. Из открытых источников сети интернет
Навеяло. Из открытых источников сети интернет

Адгезия (прочное "прилипание") пломбы к пломбе не самая качественная история. Не убирая старые неизвестные пломбы, можно "проворонить" кариозный процесс. Что в этом случае и произошло.

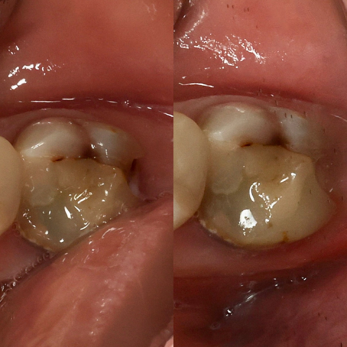
Пломбы убраны, кариес
Пломбы убраны, кариес

Не зуб, а сплошной кариозный монстр. Старые пломбы отваливались от касаний инструмента быстро и играючи. И предстала перед взором доктора проблема, о которой он и так знал.

Зуб депульпирован, цела лишь щёчная его стенка - показание к коронации ортопедической. Никаких сюрпризов.

Но это лишь пока...

План действий

  1. убрать кариес;
  2. восстановить стенки;
  3. выполнить повторную эндодонтию;
  4. восстановить культю под коронку с помощью СВШ Macro-lock;
  5. изготовить коронку.

Первые 4 пункта - работа терапевта.

Срез КТ до лечения:

Однокорневой 3.7 зуб
Однокорневой 3.7 зуб

Наблюдаем достаточно широкую пломбировку одного канала, какое-то незначительное ответвление (видно не на всех срезах) - корень заканчивается одним выходом.

Так сколько каналов-то? 1? Или 2? А, может, все 3?

Возможно, мы имеем дело с атипичным строением каналов, характерным для малой части нижних 7 зубов, которое называется С-шейп...

Классификация С-шейп каналов. Из открытых источников сети интернет
Классификация С-шейп каналов. Из открытых источников сети интернет

S-shape каналы

Они получили своё название благодаря характерной форме на поперечном распиле зуба. Такие каналы имеют лентовидное устье в виде дуги в 180 градусов и даже больше.

Считается, что данный тип строения возникает при разрушении эпителиального Гертвиговского влагалища при сращении щёчной или язычной поверхности корней.

На рисунке-классификации мы видим разнообразие С-шейп вариантов, в случае нашей пациентки - тип 3. Это означает, что каналы имеют 3 отдельных входа (вероятно, имеющие систему сообщения друг с другом), формируют в устье по форме букву "С", идут отдельно и сливаются в единую верхушку.

Один из самых сложных вариантов расположения каналов в нижних 7 зубах достался доктору!
Распломбированные каналы
Распломбированные каналы

Восстановление стенок врач отложил на потом - разрушение к уровню десны не критичное, изолировать зуб не сложно. Первоочерёдная задача - КАНАЛЫ.

На фото выше каналы уже распломбированы - они широки и чисты. А про фото "до" доктор позабыл - настолько был удивлён встречей с С-шейп анатомией. Таких зубов в его послужном списке было не мало, но вот 1.5 года обходилось без свиданий. Сбил зуб его с толку, вот и фотоаппарат был проигнорирован) Не страшно.

В С-шейп каналах апекслокатор (прибор для измерения длины) сбоит - работает не стабильно и показания выдаёт не всегда точные. Именно по этой причине первый рентгеновский снимок показал выход инструментов за верхушку аж на целых 2 мм (апекслокатор же утверждал, что всё по 0). Не стоит пренебрегать рентгенологическими снимками в начале лечения! Обработка каналов должна начинаться после подтверждения их рабочей длины. А не до того.

Распломбировка каналов, определение рабочей длины
Распломбировка каналов, определение рабочей длины

Со второй попытки определение длины закончилось успехом. Сделали ещё один прицельный снимок и убедились в этом. И началась рутина - смелая распломбировка, отмывка по классическим протоколам (обо всём этом уже неоднократно писали в ранних статьях). Инструментация, активация, ирригация.

Вроде бы, сюрпризам конец, но... Смущало то, что при обработке каналов, периодически, проскакивал лёгкий скрежет - то в одном канале, то в другом.

Фрагмент инструмента?

Скорее всего, так и есть. Но какое это имеет значение, если проходимость получена. Сам обломок не опасен, опасен факт того, что застрявший незванный гость блокирует просвет канала и обработку никак не провести. В канале останется органика микробная, что может привести к неутешительному результату лечения.

Достали - молодцы. Не достали, но обошли - тоже молодцы.

Каласепт
Каласепт

После завершения работы с каналами в 1 посещение доктор у устьевые части гидроокись кальция, закрывает доступ тефлоном и приступает к восстановлению стенок зуба. Такая незначительная смена этапности на прогноз лечения не повлияет, а обзор в такой сложной ситуации нужен был полноценный. Что и было организовано.

Матрицы
Матрицы

Дефект, хоть и наддесневой, но циркулярный - не часто встречающаяся в пракике ситуация. Для таких случаев отлично подходит матрицедержатель Тоффельмайера - на фото выше можно его разглядеть. В держатель устанавливается рулонная матрица, которая обжимает зуб с контролируемым заданным усилием и позволяет без особых сложностей восстановить утраченные стенки.

Восстановленные стенки зуба
Восстановленные стенки зуба

Коронковый герметизм обеспечен, стенки готовы.

Коронковый герметизм играет важнейшую роль! Идеально отмыли и обработали все каналы, провели сложнейшую работу и вишенкой на торте - тяп-ляп временную пломбу установили. А она, будь неладна, через пару дней того - покидает зуб. Что случается? А всё плохо, вся проделанная работа насмарку, ситуация ухудшается. Некоторые вообще оставляют зуб открытым, это вообще без комментариев...

Оставлять зуб открытым НЕЛЬЗЯ ни при каких обстоятельствах!

Временная цветная пломба
Временная цветная пломба

Цветной композит установлен, герметизм обеспечен, приём №1 окончен.

Работу можно было бы провести за 1 раз, но исходная ситуация не простая, да и время всё ышло - на очереди следующий пациент. Встречаемся через 5 дней.

Подсказка - пациентка после первой консультации сразу записалась на необходимое количество посещений, что бы не ждать каждого по 1.5 месяца. Запись у доктора плотная.

Второе посещение

Обломок инструмента в канале
Обломок инструмента в канале

Всё страшное и сложное в прошлом. Все счастливы!

Обезболивание, коффердам, повторные отмывки, активация и...

На сцену выходит он - обломок. Вальяжно выплывает из канала на свет.

Тот самый обломок, который действовал доктору на нервы своим скрежетом при обработке. Чаще всего фрагменты утраченных инструментов именно что вымываются, а не вытаскиваются каким-то иным образом. Работа по обхождению и извлечению фрагмента технически невероятно сложна и сопряжена с огромным количеством потенциальных осложнений.

Почему сразу не увидели обломок? Внутриканальный пломбировочный материал спрятал от всяческих глаз этот фрагмент, как и скрыл истинное количество каналов.

Пломбировка каналов C-shape
Пломбировка каналов C-shape

А вот и она - буква С! У доктора много слов в голове проносится, которые начинаются на эту букву))

Супер, счастье..)

Все 3 канала плотно запакованы, чистота да красота.

Пломбировка каналов C-shape
Пломбировка каналов C-shape

Всё плотненько, просматривается ход всех 3 каналов, сходящихся в 1 верхушке. Дело за малым - восстановить культю под коронку и отправить пациента к ортопеду.

Билдап со штифтом макролок
Билдап со штифтом макролок

Вывод

Случай интересен и не банален. Достаточно качественная диагностика до повторного вмешательста не показала нам полную картину реальности. Только приступив к лечению, сюрприз себя проявил. Доктор оценил 2 других зуба пациентки как более сложные, а этот же - легкотня и рутина. А в итоге всё перевернулось с ног на голову.

Повторная эндодонтия - сложнейшее дело. Ну, если мы говорим о настоящем перелечивании, а не о вошкании инструментами в каналах в хаотичном порядке.

100% гарантии на успех нет! И не будет - ни у кого и никогда. Задача врачей - бросить все свои усилия и подключить весь свой опыт, что бы уберечь пациента от имплантации (хотя я не против этой методики).

Если зуб не спасти - скажет об этом и не будет заниматься пустой работой. У нас в клинике отличнейшие имплантологи.

Больше нашей терапии в подборке:

Наша терапия | Parodoctor | Дзен
На вопросы отвечаем, работами делимся, обсуждаем всякое - в моём тг канале. Не тут! Почему люди продолжают в комментариях задавать вопросы и просят на них ответить - не ясно. Ведь я уже давным-давно пишу, что за ответами отправляться следует в телеграмм. У меня мало времени, я не мониторю Дзен.

С уважением, Лежачёва Наталия Александровна, хирург-пародонтолог и главный врач стоматологии Parodent, СПб.