Добавить в корзинуПозвонить
Найти в Дзене

Исправление прямого прикуса: кейс врача-ортодонта OrthoLike

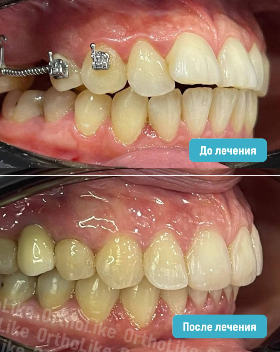
Прямой прикус – это тип окклюзии, который сопровождается полным или частичным перекрытием нижними зубами верхних. При этом боковая группа сохраняет контакт по ортогнатическому типу. Для кого-то этот тип прикуса является «идеальным», но он также имеет недостатки. Неправильный контакт между передними единицами провоцирует их стираемость, из-за чего снижается высота коронки и нарушается пропорция нижней трети. Также это может спровоцировать дисфункцию ВНЧС (височно-нижнечелюстного сустава), что в свою очередь станет причиной нарушения речи и процесса пережевывания пищи, формирования дискомфорта и головных болей. Прямой прикус до и после лечения Какой у вас тип прикуса? Проходили ли вы ортодонтическое лечение или вас полностью устраивает состояние зубочелюстной системы? Прямой прикус до и после лечения В клинику OrthoLike обратилась девушка, которая уже прошла этапы ортодонтического лечения, а именно было создано место под отсутствующие единицы. После этого пациентка решила полностью проле

Прямой прикус – это тип окклюзии, который сопровождается полным или частичным перекрытием нижними зубами верхних. При этом боковая группа сохраняет контакт по ортогнатическому типу. Для кого-то этот тип прикуса является «идеальным», но он также имеет недостатки. Неправильный контакт между передними единицами провоцирует их стираемость, из-за чего снижается высота коронки и нарушается пропорция нижней трети. Также это может спровоцировать дисфункцию ВНЧС (височно-нижнечелюстного сустава), что в свою очередь станет причиной нарушения речи и процесса пережевывания пищи, формирования дискомфорта и головных болей.

Прямой прикус до и после лечения

Какой у вас тип прикуса? Проходили ли вы ортодонтическое лечение или вас полностью устраивает состояние зубочелюстной системы?

-2

Прямой прикус до и после лечения

В клинику OrthoLike обратилась девушка, которая уже прошла этапы ортодонтического лечения, а именно было создано место под отсутствующие единицы. После этого пациентка решила полностью пролечиться, чтобы получить не только хорошую дикцию, но и красивую гармоничную улыбку.

-3

Прямой прикус до и после лечения

До начала коррекции была выявлена выраженная скученность зубов. Девушка имела от природы крупные красивые зубы, однако им не хватало места в зубном ряду. Центральные резцы были слишком отклонены вперед. На представленных фото видно как при улыбке губа как будто «задирается». Это связано с тем, что зубы являются непосредственной поддержкой для нее.

-4

Прямой прикус до и после лечения

Также в полости рта не хватало некоторых единиц, при этом для них и не было места. Чтобы выполнить имплантацию, это место необходимо было создать. Кроме этого у пациентки была узкая зона улыбки, при которой зубы оголялись только до клыков.

-5

Прямой прикус до и после лечения

По результатам ортодонтического лечения мы смогли устранить скученность, исправили передний наклон центральных резцов и на фото «после» вы можете увидеть как теперь губа красиво ложится на зубы. При этом мы создали место под имплантацию отсутствующих единиц.

-6

Прямой прикус до и после лечения

Итоговые фото выполнены уже после протезирования. В результате лечения пациентка получила правильное перекрытие и шикарную красивую улыбку. Ортодонтия проводилась на металлических брекетах. Всего на коррекцию прикуса потребовался 1 год и 8 месяцев.

-7

Прямой прикус до и после лечения

Правильный прикус имеет большое значение для общего стоматологического здоровья. Он предотвращает износ зубов и их повреждение, а также минимизирует риск травм челюстей. Чтобы узнать состояние вашей зубочелюстной системы, оценить сложность имеющихся проблем и возможные варианты лечения записывайтесь в клинику OrthoLike на консультацию. Существует множество видов прикуса. Если есть сомнения в правильности окклюзии, возникли проблемы с жеванием или речью, не медлите с обращением к ортодонту.

-8

Прямой прикус до и после лечения

Записывайтесь на прием к врачу-стоматологу ортодонту Тамуне Туквадзе. Доктор уже более 5 лет исправляет прикус любой сложности с использованием брекетов и элайнеров, работает с высотой прикуса, положением нижней челюсти и патологиями ВНЧС (височно-нижнечелюстного сустава).

Всегда с заботой о Вашем здоровье и красоте.
Ждем на консультации +7 (499) 288-18-21
Если Вам понравилась статья, ставьте лайк и подписывайтесь на наш канал. Больше информации на нашем сайте https://ortholike.ru.