Добавить в корзинуПозвонить
Найти в Дзене

Асцит. Действительно ли после удаления жидкость скапливается ещё быстрее?

Асцит – это скопление свободной жидкости в брюшной полости. Чаще всего асцитическая жидкость в большом количестве скапливается в брюшной полости у пациенток с диагнозом рак яичников, но массивный асцит может быть при любом распространенном онкологическом заболевании, в случае опухолевого метастатического поражения брюшной полости. Причины асцита: - избыточная продукция жидкости в брюшной полости, которая наблюдается при опухолевом поражении; - блокировка лимфатического оттока от брюшины (брюшина – это тонкая внутренняя выстилка, покрывающая органы брюшной полости); - снижение уровня белка в крови. Чем опасен асцит? Небольшое количество асцитической жидкости не представляет какой-либо опасности для пациента. Но если жидкость скапливается в очень большом количестве в замкнутом пространстве брюшной полости, она начинает сдавливать желудок и кишечник, что затрудняет питание, пищеварение и дефекацию. При этом пациент даже после небольшого количества пищи ощущает чувство переполнения желудка

Асцит – это скопление свободной жидкости в брюшной полости.

Чаще всего асцитическая жидкость в большом количестве скапливается в брюшной полости у пациенток с диагнозом рак яичников, но массивный асцит может быть при любом распространенном онкологическом заболевании, в случае опухолевого метастатического поражения брюшной полости.

Причины асцита:

- избыточная продукция жидкости в брюшной полости, которая наблюдается при опухолевом поражении;

- блокировка лимфатического оттока от брюшины (брюшина – это тонкая внутренняя выстилка, покрывающая органы брюшной полости);

- снижение уровня белка в крови.

Чем опасен асцит? Небольшое количество асцитической жидкости не представляет какой-либо опасности для пациента. Но если жидкость скапливается в очень большом количестве в замкнутом пространстве брюшной полости, она начинает сдавливать желудок и кишечник, что затрудняет питание, пищеварение и дефекацию. При этом пациент даже после небольшого количества пищи ощущает чувство переполнения желудка и тошноту. Из-за постоянного сдавления кишечника существует угроза развития кишечной непроходимости. Ещё одним опасным осложнением асцита является дыхательная недостаточность, вызванная сдавлением нижних отделов легких.

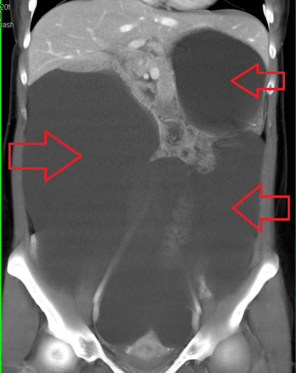
Красные стрелки указывают на жидкость, занимающую на представленной компьютерной томографии большую часть брюшной полости. Печень и селезенка отдавлены жидкостью кверху, в этой ситуации также происходит компрессия нижних долей легких, может возникнуть дыхательная недостаточность.
Красные стрелки указывают на жидкость, занимающую на представленной компьютерной томографии большую часть брюшной полости. Печень и селезенка отдавлены жидкостью кверху, в этой ситуации также происходит компрессия нижних долей легких, может возникнуть дыхательная недостаточность.

Что делать при асците? Небольшой асцит можно успешно лечить с помощью высокобелковой диеты и грамотно подобранной комбинации мочегонных препаратов. Массивный (напряженный) асцит необходимо эвакуировать с помощью прокола брюшной полости и установки временного дренажа. Процедура дренирования брюшной полости проводится под местной анестезией и занимает всего около 15 минут.

Красными стрелкам обозначена асцитическая жидкость, желтая стрелка указывает на легкое, зеленая на петли тонкого кишечника, буквально плавающие в жидкоси
Красными стрелкам обозначена асцитическая жидкость, желтая стрелка указывает на легкое, зеленая на петли тонкого кишечника, буквально плавающие в жидкоси

Действительно ли после удаления жидкость скапливается ещё быстрее? Да, это действительно правда, поскольку асцитическая жидкость представляет из себя не воду в чистом виде, а сложный раствор, содержащий большое количество белка. Белок обладает очень важным свойством задерживать жидкость в сосудистом русле. После удаления большого объема асцитической жидкости организм теряет много белка, который в обязательном порядке нужно восполнить. Если этого не сделать, то из сосудистого русла в брюшную полость по градиенту концентрации поступит ещё больше белка и новая асцитическая жидкость появится ещё быстрее.

-4

Однако, если после удаления асцитической жидкости пациенту внутривенно прокапать белковые растворы и рекомендовать высокобелковую диету, то утраченный с асцитической жидкостью белок будет восполнен и новая жидкость не будет скапливаться быстрее.

_____________________________________

Вячеслав Лисовой, врач-онколог. +7(915)050-85-81 (WhatsApp, Telegram)

Также Вам может быть интересно:

Наука
7 млн интересуются