Найти в Дзене
vatolin_orthopro

Клинический случай

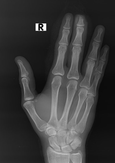
🚨 Разбор вчерашнего кейса! 🚨 Инструментальная травма на производстве. Данные о пациенте Возраст: 30 лет Пол: Мужчина У пациента выставлен диагноз СД 2 типа Обсуждение конкретного случая. Результаты соответствуют травматической поперечной ампутации кончика пальца третьей дистальной фаланги с повреждением кости и мягких тканей. ❗Травматическая ампутация дистальной фаланги часто происходит в результате несчастных случаев, приводящих к повреждению мягких тканей и потенциальному остеомиелиту, особенно у пациентов с диабетом❗ (Планирую проводить 1-2 раза в неделю такие разборы РГ снимков если вам это интересно ставьте 🔥)

🚨 Разбор вчерашнего кейса! 🚨

Инструментальная травма на производстве.

Данные о пациенте

Возраст: 30 лет

Пол: Мужчина

У пациента выставлен диагноз СД 2 типа

Обсуждение конкретного случая.

Результаты соответствуют травматической поперечной ампутации кончика пальца третьей дистальной фаланги с повреждением кости и мягких тканей.

-2

❗Травматическая ампутация дистальной фаланги часто происходит в результате несчастных случаев, приводящих к повреждению мягких тканей и потенциальному остеомиелиту, особенно у пациентов с диабетом❗

(Планирую проводить 1-2 раза в неделю такие разборы РГ снимков если вам это интересно ставьте 🔥)