Добавить в корзинуПозвонить
Найти в Дзене
Leon

Трансплантация зубов - какой зуб удается имплантировать

Трансплантация зубов, также известная как зубная имплантация, представляет собой процесс замены отсутствующих зубов с использованием искусственных заменителей, которые имплантируются в кости челюсти. Современные технологии в стоматологии позволяют проводить процедуру имплантации с высокой степенью точности и успешности. Это решение может быть идеальным для людей, которые потеряли зубы вследствие травм, заболеваний или по другим причинам.
Основным материалом для зубных имплантатов является титан, благодаря его превосходной биосовместимости с костной тканью. Имплантаты из титана интегрируются в кость, создавая прочную и долговечную основу для установки короны, мостовидной конструкции или протеза. Сама процедура включает в себя несколько этапов: подготовительный, хирургический и реабилитационный. Подготовительный этап включает в себя диагностику, планирование и подготовку челюстной кости, если это необходимо. Реабилитационный этап позволяет пациенту адаптироваться к новому зубу и включае

Трансплантация зубов, также известная как зубная имплантация, представляет собой процесс замены отсутствующих зубов с использованием искусственных заменителей, которые имплантируются в кости челюсти. Современные технологии в стоматологии позволяют проводить процедуру имплантации с высокой степенью точности и успешности. Это решение может быть идеальным для людей, которые потеряли зубы вследствие травм, заболеваний или по другим причинам.

Основным материалом для зубных имплантатов является титан, благодаря его превосходной биосовместимости с костной тканью. Имплантаты из титана интегрируются в кость, создавая прочную и долговечную основу для установки короны, мостовидной конструкции или протеза. Сама процедура включает в себя несколько этапов: подготовительный, хирургический и реабилитационный. Подготовительный этап включает в себя диагностику, планирование и подготовку челюстной кости, если это необходимо. Реабилитационный этап позволяет пациенту адаптироваться к новому зубу и включает в себя период восстановления и регулярные визиты к стоматологу для оценки состояния имплантата.

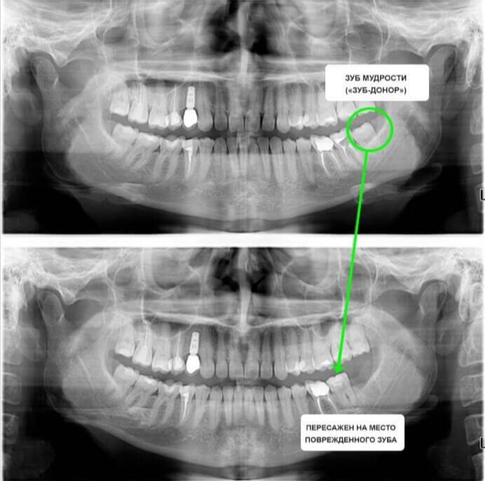
Как правило, лучше всего имплантировать зуб, который находится в зоне видимости, например, передние резцы или клыки, так как их потеря может существенно повлиять на эстетический вид и уверенность в себе. Кроме того, эти зубы играют важную роль в процессе пережёвывания пищи и в произношении ряда звуков. Однако современные технологии позволяют успешно восстанавливать и боковые зубы, что открывает возможность для полноценного жевания и распределения нагрузки на челюсть, предотвращая её деформацию.

Успех процедуры трансплантации зубов во многом зависит от состояния здоровья полости рта пациента, его общей медицинской истории и соблюдения всех предоперационных и послеоперационных рекомендаций стоматолога. Например, для лучшей интеграции имплантата важно отказаться от курения, которое может негативно влиять на процесс заживления. Правильная гигиена полости рта и регулярные визиты к стоматологу для контроля состояния имплантата также являются ключевыми факторами для обеспечения его долгосрочной успешности.

#ТрансплантацияЗуба #Стоматология #Имплантация #ЗубМудрости #ЗдоровьеЗубов #Ортопедия
#ЗубныеПроблемы #КлиникаСтоматологии #ЗубноеЛечение #Реабилитация #ГигиенаПолостиРта
#ЗаботаОЗубах #СтоматологическиеПроцедуры #Анестезия #ЗубнойКабинет