Найти в Дзене
Radiology Hub

Центральный венозный катетер (ЦВК): визуализация на снимках

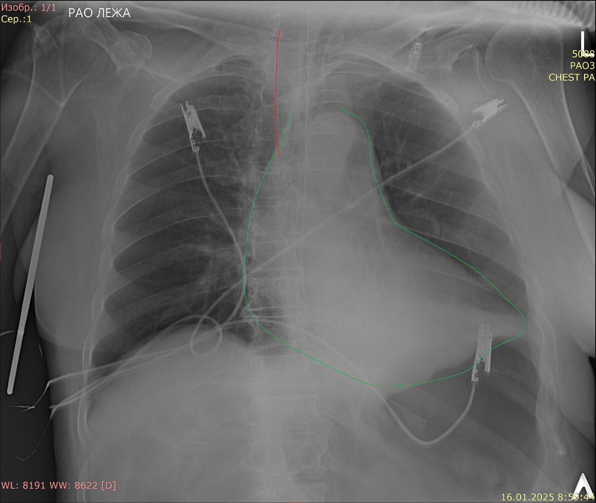
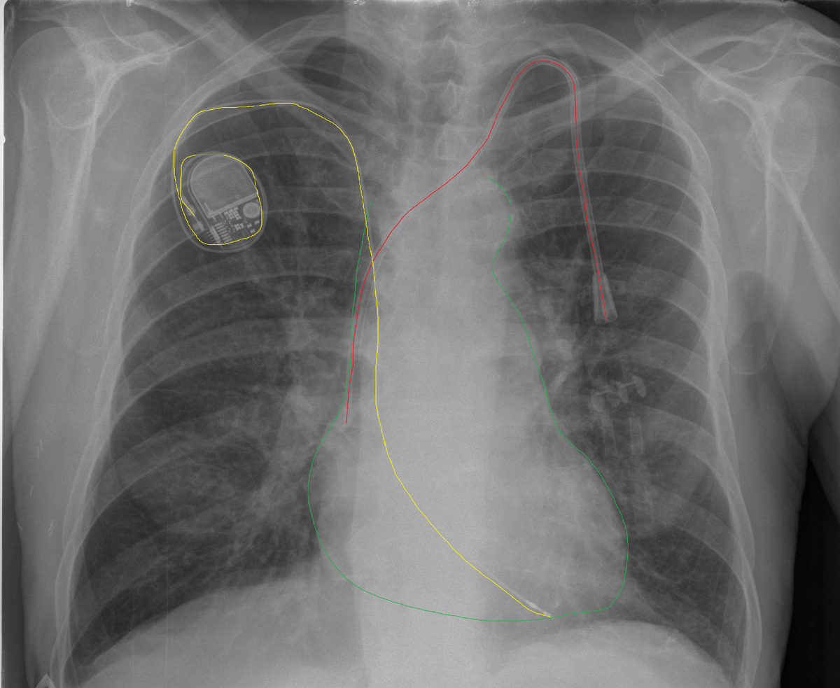
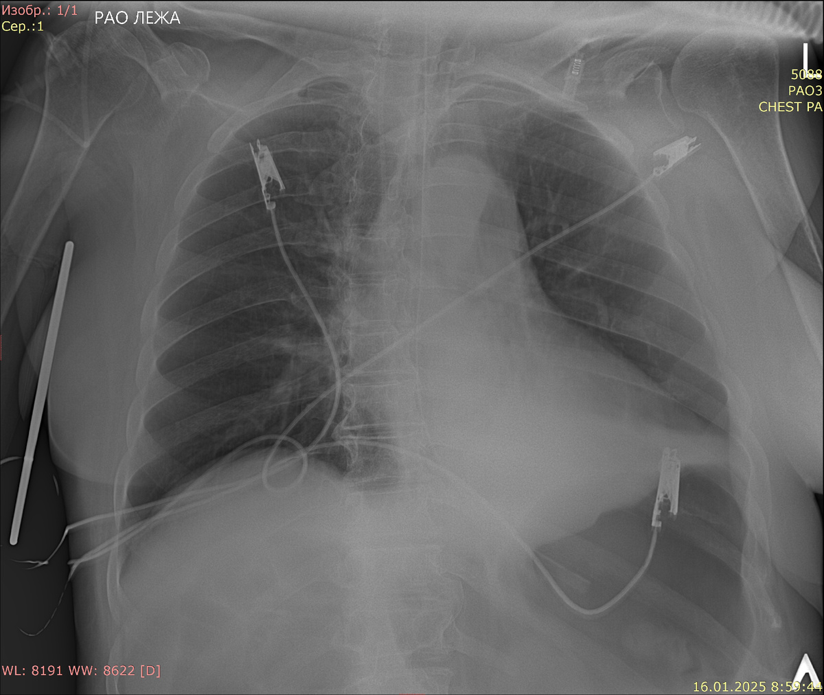
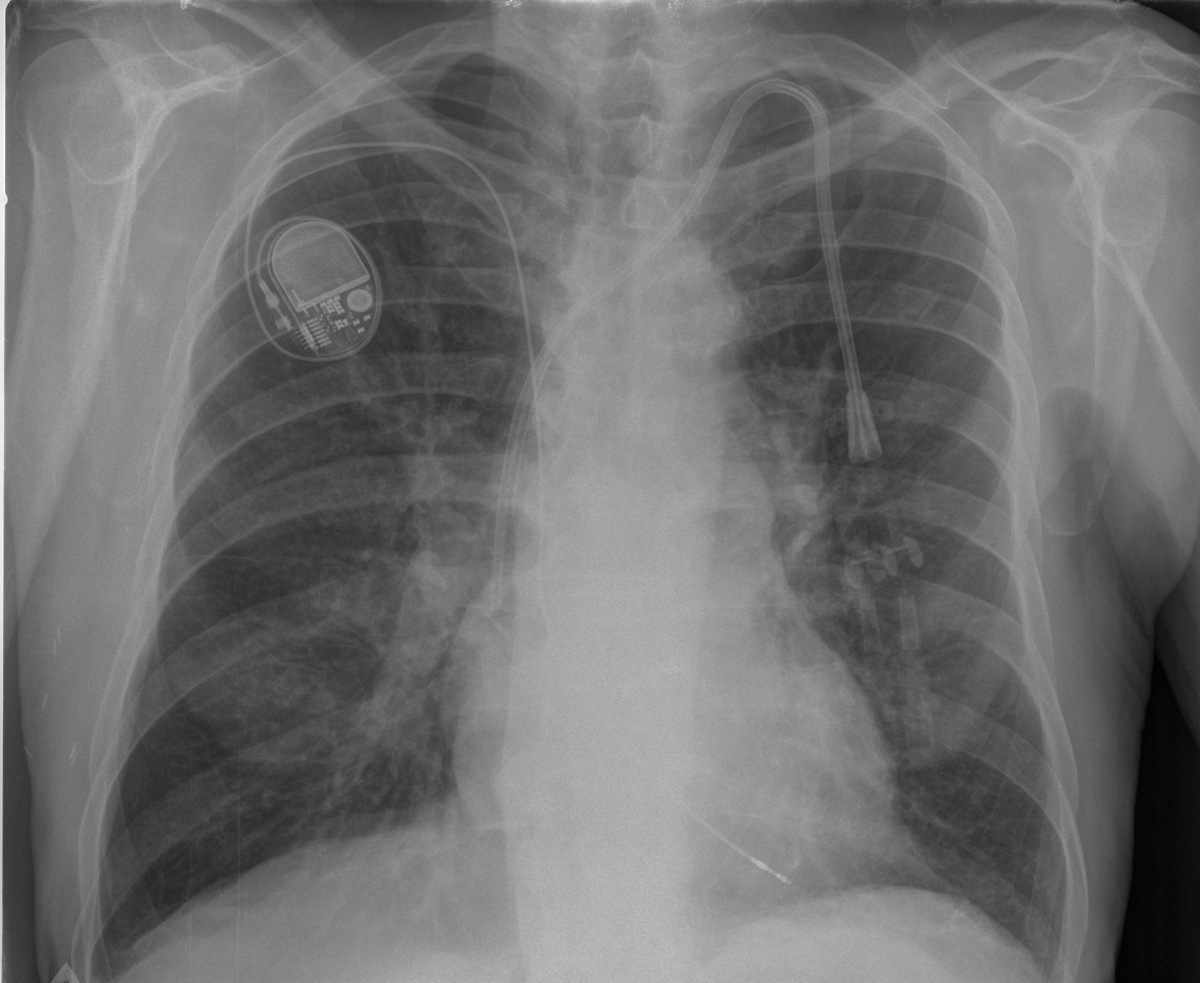
Центральные венозные катетеры (ЦВК) играют ключевую роль в современных медицинских практиках, обеспечивая доступ к центральной венозной системе для различных терапевтических и диагностических процедур. Однако правильная установка и последующая визуализация ЦВК имеют первостепенное значение для предотвращения осложнений и обеспечения эффективного лечения. В этом контексте рентгенография становится незаменимым инструментом для оценки положения катетера и обнаружения возможных ассоциированных осложнений. На рентгеновских снимках ЦВК визуализируются как тонкие линейные структуры, которые могут проходить от места введения (например, яремной или подключичной вены) до правого предсердия, где они должны правильно размещаться для обеспечения оптимального функционирования. Ключевыми аспектами, на которые врачи обращают внимание при интерпретации рентгенограмм, являются: Важно отметить, что регулярный мониторинг и периодическая рентгенография катетеров являются стандартной практикой в отделениях

Центральные венозные катетеры (ЦВК) играют ключевую роль в современных медицинских практиках, обеспечивая доступ к центральной венозной системе для различных терапевтических и диагностических процедур. Однако правильная установка и последующая визуализация ЦВК имеют первостепенное значение для предотвращения осложнений и обеспечения эффективного лечения. В этом контексте рентгенография становится незаменимым инструментом для оценки положения катетера и обнаружения возможных ассоциированных осложнений.

На рентгеновских снимках ЦВК визуализируются как тонкие линейные структуры, которые могут проходить от места введения (например, яремной или подключичной вены) до правого предсердия, где они должны правильно размещаться для обеспечения оптимального функционирования. Ключевыми аспектами, на которые врачи обращают внимание при интерпретации рентгенограмм, являются:

  1. Положение катетера: Идеальное расположение ЦВК синдрома осуществляется вблизи передней стенки правого предсердия. Рентгенограмма позволяет врачу убедиться, что кончик катетера находится в правильной области, что минимизирует риск тромбообразования и травмирования сосудов.
  2. Оценка состояния сосудов: Рентгеновские снимки также используются для визуализации вен, в которые вводился катетер. Наличие признаков разрывов, тромбообразования или других изменений может быть замечено на этих изображениях. Это позволяет врачам принимать решения о необходимости дальнейшей терапии или вмешательства.
  3. Поиск осложнений: При изучении рентгенограмм можно выявить потенциальные осложнения, такие как пневмоторакс, который может возникнуть в результате травмы легких, или возможные крошечные воздушные эмболии, попадающие в венозное русло. Визуализируя органы, такие как легкие, врачи могут обнаружить аномалии, указывающие на необходимость немедленного вмешательства.
  4. Дополнительные технологии визуализации: С развитием медицинских технологий рентгенография с контрастными веществами, компьютерная томография (КТ) и магнитно-резонансная томография (МРТ) становятся все более распространенными методами для проверки расположения и состояния центральных венозных катетеров. Эти методы могут дать более детальную информацию о взаимодействии катетера с окружающими тканями и сосудами.

Важно отметить, что регулярный мониторинг и периодическая рентгенография катетеров являются стандартной практикой в отделениях интенсивной терапии и стационарах, чтобы гарантировать долгосрочную безопасность и эффективность терапии. Порядок установки и контроль за состоянием ЦВК включает внедрение строгих протоколов стерильности и обучение персонала, что позволяет минимизировать случаи осложнений, которые можно было бы легко обнаружить на ранних стадиях с помощью рентгенографии.

В заключении, рентгенография центральных венозных катетеров является критически важным методом визуализации, который обеспечивает надежное и точное отслеживание их состояния и положения. Эффективность и безопасность использования ЦВК напрямую зависят от правильной интерпретации рентгеновских снимков, что подчеркивает необходимость высокой квалификации медицинского персонала в этой области.

На этом все! Спасибо, что дочитали до конца. Пишите в комментариях, что вы можете дополнить по статье! А также пишите темы, которые вас интересуют!