Добавить в корзинуПозвонить
Найти в Дзене
Великий Хан

Москва, Зима, Гололёд, Травмопункт - а где в этой логической цепочке Собянин???

Вот интересно, в Питере публикуют статистику пострадавших от нерадивости городских чиновников в борьбе с гололёдом, а у сОБЯНИНА и К° во всём "тишь да благодать". Хотя в декабре 2024 газета "АиФ", содержащая за счёт бюджета города, немного приоткрыла завесу информации: В травмпункты Москвы зимой каждый год обращаются порядка 1,5 миллионов человек с различными травмами. Об этом aif.ru рассказал главный внештатный специалист по травматологи-ортопедии департамента здравоохранения Москвы, заместитель главного врача по травматологии и ортопедии ГКБ №31 им. Академика Г.М. Савельевой ДЗМ То есть, путем простых арифметических действий, можно установить, что; пусть это не только травмы от гололёда, но даже 10 тыс. пострадавших в день, это явный перебор (в Питере 119 человек за день)
Оглавление
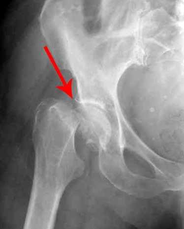
Перелом шейки бедра рентген.
Перелом шейки бедра рентген.

Вот интересно, в Питере публикуют статистику пострадавших от нерадивости городских чиновников в борьбе с гололёдом, а у сОБЯНИНА и К° во всём "тишь да благодать".

МэрЗские СМИ замалчивают эту статистику на фоне массового сокращения травмпунктов в Москве.

Хотя в декабре 2024 газета "АиФ", содержащая за счёт бюджета города, немного приоткрыла завесу информации:

-2
В травмпункты Москвы зимой каждый год обращаются порядка 1,5 миллионов человек с различными травмами. Об этом aif.ru рассказал главный внештатный специалист по травматологи-ортопедии департамента здравоохранения Москвы, заместитель главного врача по травматологии и ортопедии ГКБ №31 им. Академика Г.М. Савельевой ДЗМ

То есть, путем простых арифметических действий, можно установить, что;

каждый день зимы в травмпункты Москвы обращается более 16 600 человек,

пусть это не только травмы от гололёда, но даже 10 тыс. пострадавших в день, это явный перебор (в Питере 119 человек за день)

-3

! СОБЯНИН ! БИРЮКОВ ! ГДЕ НАДЛЕЖАЩАЯ РАБОТА ?????

-4