Добавить в корзинуПозвонить
Найти в Дзене

Имплантация нижнего 6 зуба и коронка из диоксида циркония

Доброго времени суток, друзья! Одна из самых частых ситуаций на приёме у хирургов - имплантологов и ортопедов это установка импланта в область отсутствующего 6-го зуба и его дальнейшее протезирование. Ситуация «до»: Утерян объём десны. Его мы восстановили за счёт пересадки десневого трансплантата из области бугра верхней челюсти. Фото сразу после установки имплантата, формирователя и десневой пластики: Через 2,5 месяца выкрутил формирователь: Сняли слепки и на следующем посещении поработали с десной и установил коронку (сначала с временным синим материалом) : И финальное посещение со сформированной десной: Такой объём десны и правильная форма прорезывания улучшает долгосрочный прогноз функционирования имплантата и коронки на нём. Постоянная фиксация: Зуб на имплантате выглядит очень естественно. Пациент доволен, пользуется новым зубом😊 , а это самое главное! P.s. 🔹Срок реабилитации 3 месяца 🔹Количество посещений: 5 🔹Имплантат Straumann blt roxolid 4.1*10 🔹Коронка диоксид

Доброго времени суток, друзья!

Одна из самых частых ситуаций на приёме у хирургов - имплантологов и ортопедов это установка импланта в область отсутствующего 6-го зуба и его дальнейшее протезирование.

Ситуация «до»:

Утерян объём десны. Его мы восстановили за счёт пересадки десневого трансплантата из области бугра верхней челюсти.

Фото сразу после установки имплантата, формирователя и десневой пластики:

-2

Через 2,5 месяца выкрутил формирователь:

-3

Сняли слепки и на следующем посещении поработали с десной и установил коронку (сначала с временным синим материалом) :

-4

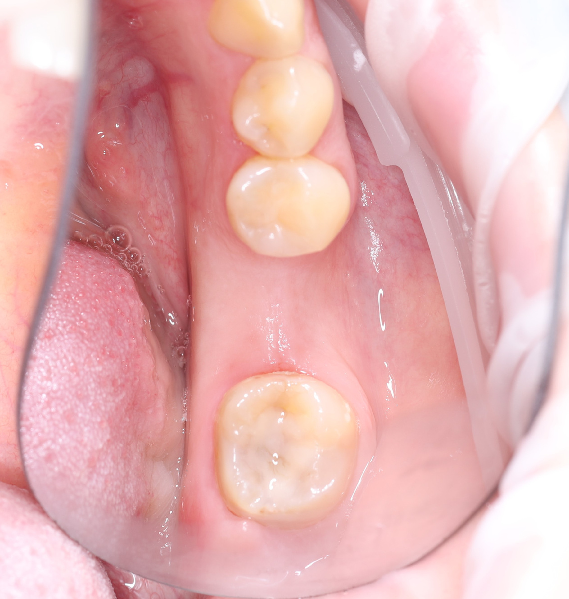
И финальное посещение со сформированной десной:

-5

Такой объём десны и правильная форма прорезывания улучшает долгосрочный прогноз функционирования имплантата и коронки на нём.

Постоянная фиксация:

-6

Зуб на имплантате выглядит очень естественно.

Пациент доволен, пользуется новым зубом😊 , а это самое главное!

P.s.

🔹Срок реабилитации 3 месяца

🔹Количество посещений: 5

🔹Имплантат Straumann blt roxolid 4.1*10

🔹Коронка диоксид циркония

Спасибо, что проявили интерес к публикации!

________________________________________

Ставьте лайк👍.

Подписывайтесь на канал. ✅

Всем здоровья!

P.s. пишите свои мнения и вопросы в комментариях📝

С уважением, доктор Ижмукóв

Виталий Владимирович.

_________________________________________

Контактная информация:

+79370634232