Добавить в корзинуПозвонить
Найти в Дзене
MY ORT

Исправление открытого прикуса. До-После

Чем опасна парафункция языка? Сегодня я - врач - ортодонт, гнатолог отвечу на этот вопрос и наглядно покажу случай пациентки, у которой возник открытый прикус как следствие парафункции языка. Ко мне на прием обратилась мама с девочкой (пациенткой) 13-ти лет. Девочке и маме не нравилось эстетическое состояние зубов, плюс ко всему были трудности с дикцией. На консультации мы провели осмотр полости рта, сделали снимок КТ и фотопротокол. Диагноз пациентки: открытый прикус как следствие парафункции языка (инфантильный тип глотания и прокладывание языка между передними зубами). После постановки диагноза я объяснил пациентке, что ей нужно лечение на брекет-системе, поскольку только оно будет эффективно, (мы выбрали самолигирующуюся брекет-систему) и составили план лечения. Почему мы выбрали самолигирующуюся брекет-систему? Она обеспечивает более комфортное и эффективное лечение благодаря меньшему трению и более быстрому перемещению зубов, занимает не много места во рту, зубной налет скаплив
Оглавление

Чем опасна парафункция языка? Сегодня я - врач - ортодонт, гнатолог отвечу на этот вопрос и наглядно покажу случай пациентки, у которой возник открытый прикус как следствие парафункции языка.

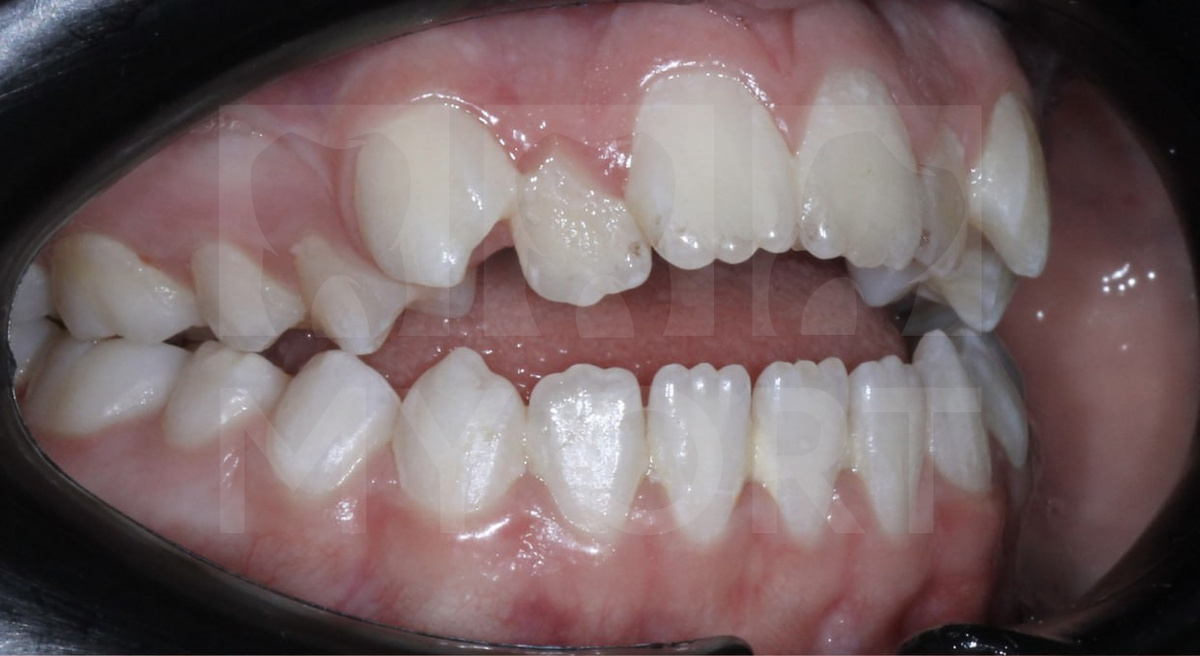
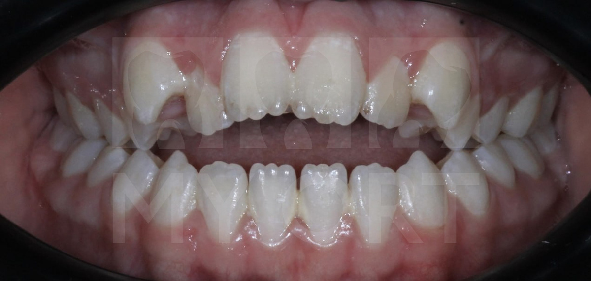
Ситуация ДО лечения
Ситуация ДО лечения

Жалобы и диагноз

Ко мне на прием обратилась мама с девочкой (пациенткой) 13-ти лет. Девочке и маме не нравилось эстетическое состояние зубов, плюс ко всему были трудности с дикцией.

На консультации мы провели осмотр полости рта, сделали снимок КТ и фотопротокол.

Диагноз пациентки: открытый прикус как следствие парафункции языка (инфантильный тип глотания и прокладывание языка между передними зубами).

После постановки диагноза я объяснил пациентке, что ей нужно лечение на брекет-системе, поскольку только оно будет эффективно, (мы выбрали самолигирующуюся брекет-систему) и составили план лечения.

Почему мы выбрали самолигирующуюся брекет-систему? Она обеспечивает более комфортное и эффективное лечение благодаря меньшему трению и более быстрому перемещению зубов, занимает не много места во рту, зубной налет скапливается намного реже, зубы болят меньше, визиты к врачу сокращаются, место в кресле уменьшается.

Параллельно моей пациентке требуется лечение у логопеда (миогимнастика для налаживания функции языка).

Давайте я теперь кратко поясню, что подразумевает за собой парафункция языка и открытый прикус.

Парафункция языка

Парафункция языка представляет собой отклонение в функционировании, тонусе и положении языка, которое обычно проявляется в детском возрасте. Если не предпринять меры для лечения, это состояние может сохраняться и в зрелом возрасте. При парафункции язык находится не в правильном положении (плотно прижимаясь к небу), а занимает другое положение, что приводит к нарушениям в глотании, дыхании и формировании прикуса.

Что такое открытый прикус?

Открытый прикус - аномалия прикуса, при которой зубы не смыкаются должным образом, что приводит к образованию зазора между зубами верхней и нижней челюсти. Это может затруднять жевание, вызывать проблемы с дикцией и в последствии приводить к нарушениям в работе височно-нижнечелюстного сустава.

Причины открытого прикуса

В данном случае причиной открытия прикуса стало неправильное положение языка, что называется инфантильным типом глотания. При таком глотании язык прокладывается между передними зубами, что мешает нормальному развитию челюстей и зубов. Парафункции языка могут возникать по разным причинам, включая привычки сосания пальца или длительное использование пустышки в детском возрасте.

Этап лечения

Лечение открытого прикуса потребовало комплексного подхода. Поэтому пациентка ходила на занятия с логопедом для коррекции инфантильного глотания и обучения правильному положению языка.

Коррекция проводилась при помощи эластических тяг.

Хочу отметить немаловажный фактор - пациентка ответственно носила эластические тяги, а это может способствовать уменьшению ортодонтического лечения, что в этом кейсе и получилось.
-3
-4

Результаты

Лечение заняло 14 месяцев. За это время мы смогли достичь значительных результатов. Открытый прикус был успешно исправлен, что не только улучшило внешний вид пациентки, но и восстановило нормальную функциональность зубочелюстной системы. Только посмотрите, какой результат у нас получился!

Заключение

Напишите в комментарии, как Вам результат? Если Вы проходите ортодонтическое лечение, делитесь своими примерами👉🏻

Автор статьи: Зинченко Илья Станиславович - врач-ортодонт, гнатолог.