Добавить в корзинуПозвонить
Найти в Дзене

Пародонтит в области зубов 3.2 - 4.2

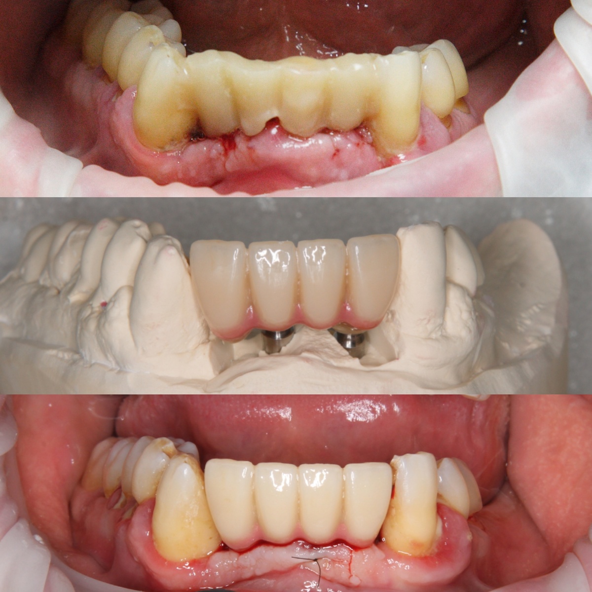
В одном интервью с пациентом, который лечится на брекетах, мы обсуждали общение с его ортодонтом. И он сказал очень интересную фразу "После 30 лет, кариес становится самой меньшей проблемой в полости рта" И я задумался, а ведь действительно. Чаще пациенты старшего поколения, обращаются ко мне именно с проблемами пародонта или отсутствия зубов. Кариес, как правило, мы лечим именно на этапе подготовки к протезированию. И коллаж я этот сделал не просто так. Перед Вами сейчас та зона, которая больше всего подвержена пародонтиту и убыли костной ткани. Три фактора, которые способствуют развитию заболевания в данной области 1. Выход протока слюнных желез 2. Тонкая костная стенка + самые слабые зубы в зубному ряду 3. Скученность. В данном кейсе пародонтит вызван был скученностью зубов в данной области, наличием камней и перегрузкой зубов. Причина почти у всех одинаковая, как и говорил ранее. Наша задача была следующая: Удалить зубы - Нарастить кость - Установить имплантаты - Эстети

В одном интервью с пациентом, который лечится на брекетах, мы обсуждали общение с его ортодонтом.

И он сказал очень интересную фразу

"После 30 лет, кариес становится самой меньшей проблемой в полости рта"

И я задумался, а ведь действительно.

Чаще пациенты старшего поколения, обращаются ко мне именно с проблемами пародонта или отсутствия зубов. Кариес, как правило, мы лечим именно на этапе подготовки к протезированию.

И коллаж я этот сделал не просто так.

-2

Перед Вами сейчас та зона, которая больше всего подвержена пародонтиту и убыли костной ткани.

Три фактора, которые способствуют развитию заболевания в данной области

1. Выход протока слюнных желез

2. Тонкая костная стенка + самые слабые зубы в зубному ряду

3. Скученность.

В данном кейсе пародонтит вызван был скученностью зубов в данной области, наличием камней и перегрузкой зубов.

Причина почти у всех одинаковая, как и говорил ранее.

Наша задача была следующая:

Удалить зубы - Нарастить кость - Установить имплантаты - Эстетично их спротезировать

Срок работы составлял примерно 6 месяцев.

Пациент часто встречается по работе с людьми и ему необходимо общаться, поэтому основной запрос был на то, чтобы на время лечения зубы были хотя бы визуально.

По КЛКТ мы выбрали менее поражённые парадонтитом зуб, им оказался зуб 3.1

Далее выбрали место для установки имплантатов. Это были позиции 3.2 и 4.2

Выбор был связан именно с возможностью сохранения кости в данной области и правильным распределением нагрузки.

Если бы мы установили имплантаты в области 3.2 и 4.2 (крайние), то получили мы точку перегрузки в центре и риск перелома моста или стенки имплантата

При варианте 3.1 и 4.1 (по середине) были риски получить атрофию кости между имплантатами.

Кстати, имплантаты были выбраны системы Ankylos.

(Если будут реакции на пост - расскажу чем они интересны)

Временный мост мы сделали по слепку-ключу с собственных зубов (первое фото). Опорные зубы были 3.3 и 4.3 (на них мы сделали лапки) + 3.1 (его мы обточили)

И конструкция выдержала свой срок.

Надеюсь, пациент остался доволен 😌

Если пост был интересен - ставьте реакции.