Добавить в корзинуПозвонить
Найти в Дзене

Найден способ заставить иммунную систему атаковать раковые клетки

Онкологические заболевания остаются одной из главных угроз здоровью человека, и разработка новых эффективных методов лечения является одной из приоритетных задач современной медицины. В последние годы особый интерес вызывает терапия онколитическими вирусами, которые избирательно поражают раковые клетки, оставляя здоровые ткани неповрежденными. Однако, многие онколитические вирусы сталкиваются с проблемами безопасности внутривенного введения и недостаточной стимуляции иммунного ответа. Новое исследование, результаты которого опубликованы в рамках интервенционного клинического исследования, представляет революционный подход к лечению рефрактерного рака с использованием онколитического вируса ndv-gt, разработанного на основе принципа гиперострого отторжения. Этот инновационный вирус, созданный на базе вируса болезни Ньюкасла (ndv) с модифицированным свиным геном α1,3gt, демонстрирует уникальные свойства. Модификация гена α1,3gt позволяет вирусу эффективно вызывать гиперострое отторжение,

Схематическое изображение вируса болезни Ньюкасла. Вирус болезнь Ньюкасла является онколитическим вирусов. В нативном состоянии вызывает болезнь у птиц. Для человека он не патогенен. Может вызвать легкие недомогания и проходит быстро. Китайские ученые разработали рекомбинантный вирус болезни Ньюкасла со свиным геном α1,3GT (ndv-gt), вызывающий гиперострое отторжение.
Схематическое изображение вируса болезни Ньюкасла. Вирус болезнь Ньюкасла является онколитическим вирусов. В нативном состоянии вызывает болезнь у птиц. Для человека он не патогенен. Может вызвать легкие недомогания и проходит быстро. Китайские ученые разработали рекомбинантный вирус болезни Ньюкасла со свиным геном α1,3GT (ndv-gt), вызывающий гиперострое отторжение.

Онкологические заболевания остаются одной из главных угроз здоровью человека, и разработка новых эффективных методов лечения является одной из приоритетных задач современной медицины. В последние годы особый интерес вызывает терапия онколитическими вирусами, которые избирательно поражают раковые клетки, оставляя здоровые ткани неповрежденными. Однако, многие онколитические вирусы сталкиваются с проблемами безопасности внутривенного введения и недостаточной стимуляции иммунного ответа. Новое исследование, результаты которого опубликованы в рамках интервенционного клинического исследования, представляет революционный подход к лечению рефрактерного рака с использованием онколитического вируса ndv-gt, разработанного на основе принципа гиперострого отторжения.

Этот инновационный вирус, созданный на базе вируса болезни Ньюкасла (ndv) с модифицированным свиным геном α1,3gt, демонстрирует уникальные свойства. Модификация гена α1,3gt позволяет вирусу эффективно вызывать гиперострое отторжение, что является ключевым фактором в его механизме действия. Гиперострое отторжение усиливает иммунный ответ организма на раковые клетки, способствуя их уничтожению не только непосредственно вирусом, но и за счет активированной иммунной системы. Это существенно отличает ndv-gt от многих других онколитических вирусов, которые зачастую страдают от недостаточной иммуностимуляции.

Для оценки эффективности NDV-GT исследователи использовали модель рака печени у обезьян, созданную с помощью технологии crispr/cas9. Эта модель позволяет более точно воспроизводить развитие и прогрессирование опухолей у человека, чем традиционные модели на животных. Результаты доклинических исследований показали превосходную способность ndv-gt уничтожать опухолевые клетки при внутривенном введении. Важно подчеркнуть, что использование модели на нечеловеческих приматах значительно повышает надежность прогнозов и вероятность успешного перевода результатов в клиническую практику. Это особенно актуально для онколитических вирусов, где вопросы безопасности и эффективности имеют критическое значение.

В рамках интервенционного клинического исследования, зарегистрированного в Китайском реестре клинических исследований ВОЗ под номером chictr2000031980, была проведена оценка нового метода лечения на основе ndv-gt у 20 пациентов, страдающих рецидивирующим или рефрактерным раком. В отличие от стандартныого метода введения онколитического вируса в ткань опухоли, китайские ученые ввели модифицированный вирус ndv-gt внутривенно. Это исследование продемонстрировало впечатляющие результаты, которые могут иметь значительное влияние на подходы к лечению данного тяжелого заболевания.

Эффект от лечения достигнута в 90%, что свидетельствует о высокой реакции опухоли на данный вид терапии. Это особенно важно, учитывая, что пациенты страдали от метастатического рака восьми различных локализаций, что делает результаты еще более значимыми. Каждый из участников исследования имел от одного до двенадцати очагов метастазов, что указывает на сложность и запущенность их состояния.

Кроме того, результаты лечения оказались устойчивыми, и серьезные побочные эффекты не были зафиксированы. Это является крайне важным аспектом, так как многие традиционные методы лечения, такие как химиотерапия и радиотерапия, часто сопровождаются тяжелыми побочными эффектами, что значительно ухудшает качество жизни пациентов. Важно отметить, что в ходе исследования не было выявлено клинически значимых нейтрализующих антител, что указывает на низкую иммуногенность вируса. Это открывает возможности для многократного применения терапии без риска развития иммунного ответа, который мог бы снизить ее эффективность.

Среди участников исследования была отмечена полная ремиссия у одной пациентки с раком шейки матки, которая продлилась более шести месяцев. У остальных пациентов наблюдались случаи частичной ремиссии или стабилизации заболевания, которые продолжались от трех до тридцати шести месяцев. Более того, у некоторых пациентов метастазы не только стабилизировались, но и активно уменьшались, а в отдельных случаях полностью исчезали.

Эти данные свидетельствуют о том, что ndv-gt представляет собой безопасный и эффективный онколитический вирус, способный избирательно лизировать опухолевые клетки при внутривенном введении. Уникальный механизм действия, основанный на гиперостром отторжении и усилении иммунного ответа, открывает новые перспективы в лечении различных видов рака, включая рефрактерные формы. В отличие от традиционных методов химиотерапии, которые часто вызывают серьезные побочные эффекты и обладают ограниченной эффективностью в отношении рефрактерных опухолей, ndv-gt демонстрирует высокую селективность и минимальную токсичность для здоровых тканей.

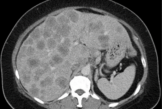
Вид метастазов в печени при проведении компьютерной томографии.
Вид метастазов в печени при проведении компьютерной томографии.

Дальнейшие исследования необходимы для расширения спектра показаний к применению NDV-GT и оптимизации лечебных режимов. Однако уже сейчас полученные результаты позволяют говорить о революционном прорыве в онкологии и открывают новые возможности для разработки более эффективных и безопасных методов лечения рака. Использование передовых технологий, таких как CRISPR/Cas9 и модели на нечеловеческих приматах, позволило значительно ускорить процесс разработки и оценки эффективности NDV-GT, приближая нас к созданию новых эффективных средств борьбы с этим опасным заболеванием. Успех этого исследования подчеркивает важность междисциплинарного подхода в разработке инновационных методов лечения онкологических заболеваний и перспективность использования онколитической вирусной терапии для улучшения качества жизни пациентов.

Источник: 1. Zhong L. и др. Hyperacute rejection-engineered oncolytic virus for interventional clinical trial in refractory cancer patients // Cell. Elsevier, 2025.